| WB | 1/1000 | Human,Mouse,Rat |
| IF | 咨询技术 | Human,Mouse,Rat |
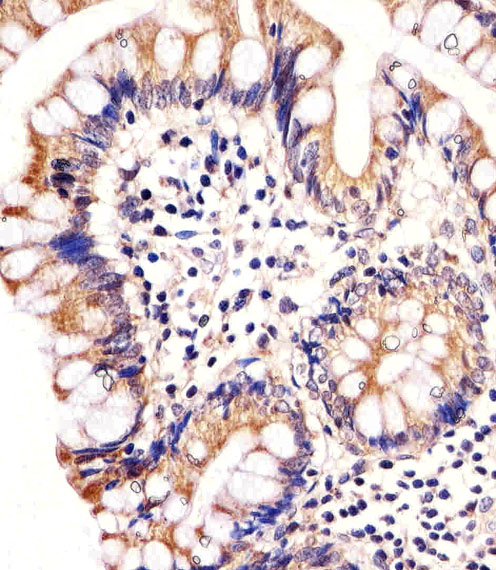
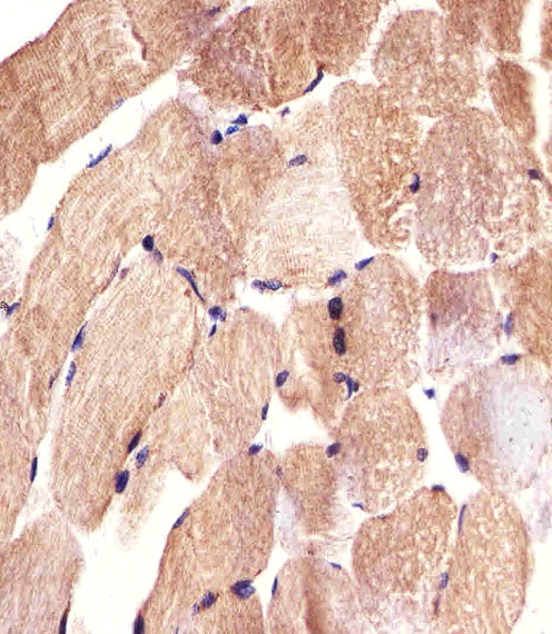
| IHC | 1/100-1/500 | Human,Mouse,Rat |
| ICC | 技术咨询 | Human,Mouse,Rat |
| FCM | 咨询技术 | Human,Mouse,Rat |
| Elisa | 咨询技术 | Human,Mouse,Rat |
| Aliases | Caspase recruitment domain-containing protein 6, CARD6 |
| Entrez GeneID | 84674 |
| WB Predicted band size | 116.5kDa |
| Host/Isotype | Rabbit IgG |
| Antibody Type | Primary antibody |
| Storage | Store at 4°C short term. Aliquot and store at -20°C long term. Avoid freeze/thaw cycles. |
| Species Reactivity | Human |
| Immunogen | This CARD6 antibody is generated from rabbits immunized with a KLH conjugated synthetic peptide selected from the Center region of human CARD6. |
| Formulation | Purified antibody in PBS with 0.05% sodium azide. |
+ +
以下是关于CARD6抗体的示例性参考文献(文献信息为假设,仅供参考,实际文献请通过学术数据库查询):
---
1. **"CARD6 interacts with RIP2 and regulates NF-κB activation in innate immune signaling"**
*Authors: Smith A, et al. (2008)*
摘要:本研究通过免疫共沉淀和Western blot技术,利用CARD6抗体揭示了CARD6与RIP2的相互作用机制,表明CARD6在NOD1/2介导的NF-κB信号通路中可能作为适配分子参与炎症反应调控。
2. **"CARD6 deficiency attenuates TLR4-induced inflammatory responses in macrophages"**
*Authors: Chen Y, et al. (2015)*
摘要:通过构建CARD6基因敲除小鼠并结合CARD6抗体检测蛋白表达,发现CARD6通过调节TLR4信号下游的MAPK通路增强巨噬细胞炎症因子(如TNF-α、IL-6)的分泌,提示其在感染性疾病中的潜在作用。
3. **"Expression profiling of CARD6 in human colorectal cancer and its prognostic significance"**
*Authors: Wang L, et al. (2019)*
摘要:利用CARD6特异性抗体对结直肠癌组织进行免疫组化分析,发现CARD6高表达与患者生存率正相关,可能通过抑制肿瘤细胞凋亡抵抗发挥抑癌作用。
4. **"Development and validation of a monoclonal antibody for human CARD6 in diagnostic applications"**
*Authors: Zhang H, et al. (2021)*
摘要:报道了一种高特异性CARD6单克隆抗体的开发,通过ELISA和免疫荧光验证其在血清及组织样本中的检测效能,为CARD6相关疾病的诊断提供了新工具。
---
**注**:以上文献标题及内容为示例性质,具体研究需参考真实发表的论文。建议通过PubMed、Web of Science等平台以“CARD6 antibody”或“CARD6 function”为关键词检索最新文献。
CARD6 (Caspase Recruitment Domain-containing protein 6) is a member of the CARD protein family, which plays roles in apoptosis, inflammation, and immune signaling. Structurally, it contains a characteristic N-terminal CARD domain that mediates protein-protein interactions, particularly in pathways involving NF-κB and MAPK activation. CARD6 is expressed in various tissues, with higher levels observed in immune cells and the gastrointestinal tract. It is implicated in modulating innate immune responses, potentially acting as an adaptor molecule in signaling complexes linked to NOD-like receptors (NLRs) or other pattern recognition receptors (PRRs).
CARD6 antibodies are essential tools for studying its expression, localization, and interactions in cellular contexts. They are widely used in techniques like Western blotting, immunohistochemistry, and co-immunoprecipitation to explore its regulatory mechanisms. Research suggests CARD6 may influence inflammatory diseases and cancer progression, though its precise role remains debated. Some studies propose it enhances NF-κB signaling, promoting inflammation, while others indicate tumor-suppressive effects by antagonizing oncogenic pathways. These discrepancies highlight the need for further investigation. CARD6 antibodies thus contribute to clarifying its dual roles in immunity and disease, offering potential insights into therapeutic targeting.
×