首页 / 产品 / 抗体 / 一抗

Rabbit Polyclonal EGF Antibody

  • 中文名: EGF抗体
  • 别    名: Pro-epidermal growth factor, EGF, Epidermal growth factor, Urogastrone, EGF
货号: IPDX33039
Price: ¥1180
数量:
大包装询价

验证与应用

应用及物种
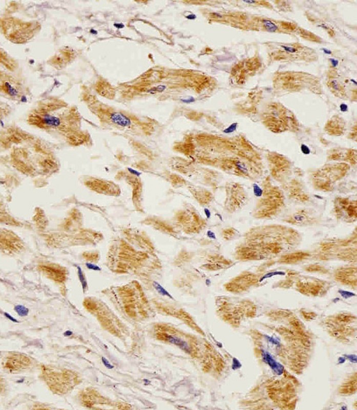
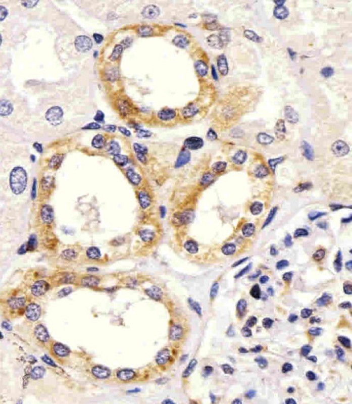
WB 1/1000 Human,Mouse,Rat
IF 咨询技术 Human,Mouse,Rat
IHC 1/100-1/500 Human,Mouse,Rat
ICC 技术咨询 Human,Mouse,Rat
FCM 咨询技术 Human,Mouse,Rat
Elisa 咨询技术 Human,Mouse,Rat

产品详情

AliasesPro-epidermal growth factor, EGF, Epidermal growth factor, Urogastrone, EGF
Entrez GeneID1950
WB Predicted band size134.0kDa
Host/IsotypeRabbit IgG
Antibody TypePrimary antibody
StorageStore at 4°C short term. Aliquot and store at -20°C long term. Avoid freeze/thaw cycles.
Species ReactivityHuman, Mouse
ImmunogenThis EGF antibody is generated from rabbits immunized with a KLH conjugated synthetic peptide between 690-720 amino acids from the Central region of human EGF.
FormulationPurified antibody in PBS with 0.05% sodium azide.

+ +

参考文献

以下是关于EGF抗体的3篇参考文献及其摘要概括:

---

1. **文献名称**:Cetuximab for the Treatment of Colorectal Cancer

**作者**:Jonker DJ, et al.

**摘要**:该III期临床试验(2007年发表于《新英格兰医学杂志》)比较了西妥昔单抗(抗EGFR单抗)联合最佳支持治疗与单独支持治疗在转移性结直肠癌患者中的效果。结果显示,西妥昔单抗显著延长患者总生存期,尤其对EGFR阳性且K-RAS野生型肿瘤患者有效,证实了EGFR靶向治疗的临床价值。

---

2. **文献名称**:Untangling the ErbB Signaling Network

**作者**:Yarden Y, Sliwkowski MX

**摘要**:这篇综述(2001年发表于《自然·分子细胞生物学评论》)系统解析了EGFR(ErbB1)及其家族成员的结构与功能,重点讨论了抗EGFR单克隆抗体(如西妥昔单抗)通过阻断配体结合、抑制受体二聚化来阻断下游信号通路,从而抑制肿瘤生长的分子机制,为抗体药物研发奠定理论基础。

---

3. **文献名称**:Panitumumab versus Cetuximab in Patients with Chemotherapy-Refractory Metastatic Colorectal Cancer

**作者**:Van Cutsem E, et al.

**摘要**:该III期临床试验(2007年发表于《临床肿瘤学杂志》)评估了全人源化抗EGFR抗体帕尼单抗在化疗失败的转移性结直肠癌患者中的疗效。结果显示,帕尼单抗显著延长无进展生存期,且免疫原性低于嵌合抗体西妥昔单抗,但皮肤毒性反应常见,提示需个体化权衡治疗利弊。

---

**补充说明**:上述文献涵盖了抗EGFR抗体的关键临床试验(Jonker和Van Cutsem研究)及机制综述(Yarden综述),涉及药物疗效、耐药机制(如K-RAS突变)及不同抗体特性(人源化vs嵌合抗体)。如需扩展,可纳入Wheeler等(2008)关于K-RAS突变与耐药的研究。

背景信息

Epidermal Growth Factor (EGF) antibodies are specialized proteins designed to target and neutralize EGF, a key signaling molecule involved in cellular processes like proliferation, differentiation, and survival. EGF binds to the epidermal growth factor receptor (EGFR) on cell surfaces, activating downstream pathways such as MAPK and PI3K/AKT, which are critical in tissue development and repair. However, dysregulated EGFR signaling is implicated in various pathologies, particularly cancers, where overexpression or mutations drive uncontrolled cell growth and metastasis.

EGF antibodies are primarily developed as therapeutic or diagnostic tools. Monoclonal antibodies (e.g., cetuximab, panitumumab) block EGFR activation, inhibiting tumor progression in cancers like colorectal and head/neck carcinomas. They may also be conjugated with drugs or radioactive isotopes for targeted therapy. In research, EGF antibodies serve as detection reagents in immunoassays (ELISA, Western blot) or immunohistochemistry to study EGFR expression patterns in tissues.

Challenges include resistance mechanisms, such as EGFR mutations or alternative pathway activation, prompting the development of combination therapies with chemotherapy or other biologics. Ongoing research explores bispecific antibodies and nanobody-based designs to enhance specificity and reduce side effects. Overall, EGF antibodies represent a cornerstone in precision medicine, bridging molecular insights with clinical applications.

客户数据及评论

折叠内容

大包装询价

×