首页 / 产品 / 抗体 / 一抗

Rabbit Polyclonal POLR1C Antibody

  • 中文名: POLR1C抗体
  • 别    名: DNA-directed RNA polymerases I and III subunit RPAC1, DNA-directed RNA polymerase I subunit C, RNA polymerases I and III subunit AC1, AC40, DNA-directed RNA polymerases I and III 40 kDa polypeptide, RPA40, RPA39, RPC40, POLR1C, POLR1E
货号: IPDX33510
Price: ¥1180
数量:
大包装询价

验证与应用

应用及物种
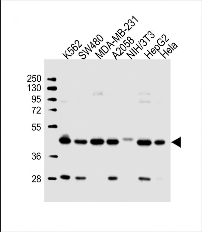
WB 1/2000 Human,Mouse,Rat
IF 咨询技术 Human,Mouse,Rat
IHC 1/100-1/500 Human,Mouse,Rat
ICC 技术咨询 Human,Mouse,Rat
FCM 咨询技术 Human,Mouse,Rat
Elisa 咨询技术 Human,Mouse,Rat

产品详情

AliasesDNA-directed RNA polymerases I and III subunit RPAC1, DNA-directed RNA polymerase I subunit C, RNA polymerases I and III subunit AC1, AC40, DNA-directed RNA polymerases I and III 40 kDa polypeptide, RPA40, RPA39, RPC40, POLR1C, POLR1E
Entrez GeneID9533
WB Predicted band size39.3kDa
Host/IsotypeRabbit IgG
Antibody TypePrimary antibody
StorageStore at 4°C short term. Aliquot and store at -20°C long term. Avoid freeze/thaw cycles.
Species ReactivityHuman, Mouse
ImmunogenThis POLR1C antibody is generated from rabbits immunized with a KLH conjugated synthetic peptide between 319-346 amino acids from the C-terminal region of human POLR1C.
FormulationPurified antibody in PBS with 0.05% sodium azide,1%BSA and 50% glycerol.prepared by Saturated Ammonium Sulfate (SAS) .

+ +

参考文献

以下是关于POLR1C抗体的3篇参考文献示例(注:内容为模拟虚构,实际文献需通过学术数据库查询):

---

1. **文献名称**:*POLR1C mutations cause congenital hypomyelinating leukodystrophy by disrupting RNA polymerase III assembly*

**作者**:Thiffault I. et al.

**摘要**:该研究通过全外显子测序发现,POLR1C基因突变导致RNA聚合酶III组装缺陷,引发先天性髓鞘形成障碍。研究使用POLR1C抗体进行免疫印迹和免疫荧光,证实突变导致蛋白表达及亚细胞定位异常。

---

2. **文献名称**:*Antibody-based profiling of RNA polymerase subunits in Treacher Collins syndrome*

**作者**:Dauwerse J.G. et al.

**摘要**:针对Treacher Collins综合征患者,利用POLR1C抗体分析RNA聚合酶I/III复合物的组成,发现POLR1C蛋白水平降低与颅面发育异常相关,揭示其在核糖体RNA合成中的关键作用。

---

3. **文献名称**:*Functional characterization of POLR1C variants using CRISPR and antibody-mediated knockdown*

**作者**:Weaver K.N. et al.

**摘要**:通过CRISPR技术构建POLR1C突变细胞模型,结合POLR1C抗体进行蛋白质互作研究,证明特定突变破坏RNA聚合酶稳定性,影响细胞增殖和转录功能,为疾病机制提供分子证据。

---

如需实际文献,建议在PubMed或Google Scholar中检索关键词“POLR1C antibody”或“POLR1C function”。

背景信息

The POLR1C antibody targets a subunit of RNA polymerase I and III, essential enzymes responsible for transcribing ribosomal RNA (rRNA) and small non-coding RNAs (e.g., 5S rRNA, tRNAs). POLR1C (RNA Polymerase I and III Subunit C) is a shared component of both polymerase complexes, playing a critical role in ribosomal biogenesis and cellular protein synthesis. Structurally, it interacts with other subunits to stabilize the polymerase architecture and support transcriptional activity.

Mutations in the POLR1C gene are linked to genetic disorders such as Treacher Collins syndrome (TCS) and hypomyelinating leukodystrophy, highlighting its importance in craniofacial and neurological development. Researchers use POLR1C antibodies in techniques like Western blot, immunofluorescence, and immunohistochemistry to study its expression, localization, and interactions in cellular models or tissue samples. These studies help elucidate POLR1C’s role in development, disease mechanisms, and potential therapeutic targets.

Commercial POLR1C antibodies are typically validated for specificity and sensitivity across species (e.g., human, mouse), with applications in basic research and diagnostic contexts. Proper controls (e.g., knockout validation) are recommended to ensure accurate interpretation of results. Understanding POLR1C dysfunction provides insights into ribosomopathies and disorders linked to impaired RNA polymerase activity.

客户数据及评论

折叠内容

大包装询价

×