首页 / 产品 / 抗体 / 一抗

Rabbit Polyclonal RIPK2 Antibody

  • 中文名: RIPK2抗体
  • 别    名: Receptor-interacting serine/threonine-protein kinase 2, CARD-containing interleukin-1 beta-converting enzyme-associated kinase, CARD-containing IL-1 beta ICE-kinase, RIP-like-interacting CLARP kinase, Receptor-interacting protein 2, RIP-2, Tyrosine-protei
货号: IPDX33581
Price: ¥1180
数量:
大包装询价

验证与应用

应用及物种
WB 1/1000 Human,Mouse,Rat
IF 咨询技术 Human,Mouse,Rat
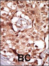
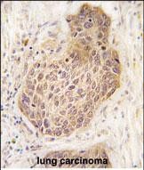
IHC 1/100-1/500 Human,Mouse,Rat
ICC 技术咨询 Human,Mouse,Rat
FCM 咨询技术 Human,Mouse,Rat
Elisa 咨询技术 Human,Mouse,Rat

产品详情

AliasesReceptor-interacting serine/threonine-protein kinase 2, CARD-containing interleukin-1 beta-converting enzyme-associated kinase, CARD-containing IL-1 beta ICE-kinase, RIP-like-interacting CLARP kinase, Receptor-interacting protein 2, RIP-2, Tyrosine-protein kinase RIPK2, RIPK2, CARDIAK, RICK, RIP2
Entrez GeneID8767
WB Predicted band size61.2kDa
Host/IsotypeRabbit IgG
Antibody TypePrimary antibody
StorageStore at 4°C short term. Aliquot and store at -20°C long term. Avoid freeze/thaw cycles.
Species ReactivityHuman, Mouse
ImmunogenThis RIPK2 antibody is generated from rabbits immunized with a KLH conjugated synthetic peptide between 458-488 amino acids from the C-terminal region of human RIPK2.
FormulationPurified antibody in PBS with 0.05% sodium azide.

+ +

参考文献

以下是关于RIPK2抗体的3篇参考文献的简要信息:

1. **文献名称**:*RIPK2 as a key regulator of NOD signaling and innate immunity*

**作者**:Windheim M et al.

**摘要**:该研究探讨了RIPK2在NOD1/2信号通路中的作用,通过特异性抗体验证其在炎症反应中的功能,证明其介导NF-κB和MAPK通路激活,促进细胞因子释放。

2. **文献名称**:*Antibody-based detection of RIPK2 in inflammatory bowel disease models*

**作者**:Tigno-Aranjuez JT et al.

**摘要**:利用RIPK2抗体在结肠炎小鼠模型中检测蛋白表达,发现RIPK2通过调控肠道上皮细胞凋亡加重炎症,提示其作为治疗炎症性肠病的潜在靶点。

3. **文献名称**:*Structural insights into RIPK2 kinase activation by ubiquitination*

**作者**:Hasegawa M et al.

**摘要**:通过免疫共沉淀(使用RIPK2抗体)解析RIPK2泛素化修饰对其激酶活性的影响,揭示其与XIAP的相互作用机制,为靶向药物设计提供依据。

以上文献均涉及RIPK2抗体的实验应用,涵盖信号通路、疾病模型及结构机制研究。

背景信息

**Background of RIPK2 Antibody**

Receptor-interacting protein kinase 2 (RIPK2) is a serine/threonine kinase belonging to the RIPK family, playing a pivotal role in innate immune signaling pathways. It acts as a key mediator in NOD1/NOD2 (nucleotide-binding oligomerization domain-containing protein 1/2)-dependent signaling, facilitating the activation of NF-κB and MAPK pathways in response to bacterial peptidoglycan components. RIPK2 also participates in regulating apoptosis, autophagy, and inflammatory responses, linking it to diseases like inflammatory bowel disease, rheumatoid arthritis, and cancer.

RIPK2 antibodies are essential tools for studying its expression, localization, and function in cellular and disease contexts. These antibodies enable detection of RIPK2 via techniques such as Western blotting, immunohistochemistry, and immunoprecipitation. Specificity and validation are critical, as RIPK2 shares structural homology with other kinases. Researchers use RIPK2 antibodies to explore its interaction with adaptor proteins (e.g., CARD9) and ubiquitin ligases (e.g., XIAP), as well as its phosphorylation status under stimuli like TNF-α or bacterial infection.

Recent studies highlight RIPK2 as a therapeutic target, with inhibitors in development for autoimmune and inflammatory disorders. Antibodies against RIPK2 aid in preclinical research, biomarker analysis, and mechanistic studies, advancing understanding of its dual roles in immunity and disease pathogenesis.

客户数据及评论

折叠内容

大包装询价

×