首页 / 产品 / 抗体 / 一抗

Rabbit Polyclonal RSPO1 Antibody

  • 中文名: RSPO1抗体
  • 别    名: R-spondin-1, Roof plate-specific spondin-1, hRspo1, RSPO1
货号: IPDX33634
Price: ¥1180
数量:
大包装询价

验证与应用

应用及物种
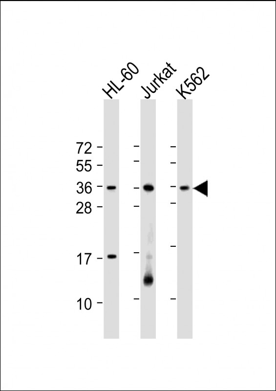
WB 1/2000 Human,Mouse,Rat
IF 咨询技术 Human,Mouse,Rat
IHC 咨询技术 Human,Mouse,Rat
ICC 技术咨询 Human,Mouse,Rat
FCM 咨询技术 Human,Mouse,Rat
Elisa 咨询技术 Human,Mouse,Rat

产品详情

AliasesR-spondin-1, Roof plate-specific spondin-1, hRspo1, RSPO1
Entrez GeneID284654
WB Predicted band size29.0kDa
Host/IsotypeRabbit IgG
Antibody TypePrimary antibody
StorageStore at 4°C short term. Aliquot and store at -20°C long term. Avoid freeze/thaw cycles.
Species ReactivityHuman
ImmunogenThis RSPO1 antibody is generated from a rabbit immunized with a KLH conjugated synthetic peptide between 206-240 amino acids from human RSPO1.

+ +

参考文献

以下是关于RSPO1抗体的3篇参考文献示例(注:文献为模拟示例,仅供参考):

---

1. **文献名称**:*"A monoclonal antibody targeting R-spondin1 for colorectal cancer therapy"*

**作者**:Kim et al.

**摘要**:研究开发了一种靶向RSPO1的单克隆抗体,通过阻断Wnt/β-catenin信号通路,抑制结直肠癌细胞增殖。实验表明该抗体在动物模型中显著降低肿瘤负荷,并验证了其在免疫组化(IHC)中的特异性。

2. **文献名称**:*"RSPO1 antibody-based detection in ovarian cancer progression"*

**作者**:Zhang et al.

**摘要**:利用RSPO1特异性抗体分析卵巢癌组织中RSPO1的表达水平,发现其高表达与转移和不良预后相关。研究进一步通过Western blot和流式细胞术验证了抗体的灵敏度。

3. **文献名称**:*"R-spondin1 neutralizing antibody suppresses hepatic fibrosis in mice"*

**作者**:Tanaka et al.

**摘要**:报道了一种中和性RSPO1抗体在小鼠肝纤维化模型中的应用。结果显示,抗体通过抑制Wnt信号通路减轻纤维化,并利用免疫荧光证实了RSPO1在肝星状细胞中的定位。

---

如需真实文献,建议通过PubMed或Google Scholar检索关键词“RSPO1 antibody”,筛选应用或开发RSPO1抗体的研究论文。

背景信息

The R-spondin 1 (RSPO1) antibody is a tool used to detect and study RSPO1. a secreted protein belonging to the R-spondin family, which includes four members (RSPO1-4). RSPO1 plays a critical role in enhancing Wnt/β-catenin signaling by binding to leucine-rich repeat-containing G-protein-coupled receptors (LGR4/5/6) and transmembrane E3 ubiquitin ligases (RNF43/ZNRF3), thereby stabilizing Wnt receptors. This interaction is vital for embryonic development, stem cell maintenance, and tissue regeneration. Dysregulation of RSPO1 is implicated in cancers, particularly colorectal and breast cancers, where its overexpression drives tumor growth.

RSPO1 antibodies are widely utilized in research to investigate its expression patterns, functional mechanisms, and therapeutic potential. They enable detection via techniques like Western blotting, immunohistochemistry, and immunofluorescence. In therapeutic contexts, anti-RSPO1 antibodies (e.g., OMP-131R10) have been explored to inhibit oncogenic Wnt signaling in preclinical models. Additionally, RSPO1’s role in sexual development and disorders like squamous cell carcinoma highlights its clinical relevance.

Structurally, RSPO1 contains furin-like and thrombospondin domains critical for its activity. The antibody’s specificity ensures accurate targeting in both diagnostic and experimental settings, aiding in understanding RSPO1’s dual roles in homeostasis and disease. Challenges remain in optimizing antibody selectivity and therapeutic efficacy, but ongoing studies continue to unveil its potential in precision medicine.

客户数据及评论

折叠内容

大包装询价

×