首页 / 产品 / 抗体 / 一抗

Rabbit Polyclonal TSC22D3 Antibody

  • 中文名: TSC22D3抗体
  • 别    名: TSC22 domain family protein 3, DSIP-immunoreactive peptide, Protein DIP, hDIP, Delta sleep-inducing peptide immunoreactor, Glucocorticoid-induced leucine zipper protein, GILZ, TSC-22-like protein, TSC-22-related protein, TSC-22R, TSC22D3, DSIPI, GILZ
货号: IPDX34690
Price: ¥1180
数量:
大包装询价

验证与应用

应用及物种
WB 咨询技术 Human,Mouse,Rat
IF 咨询技术 Human,Mouse,Rat
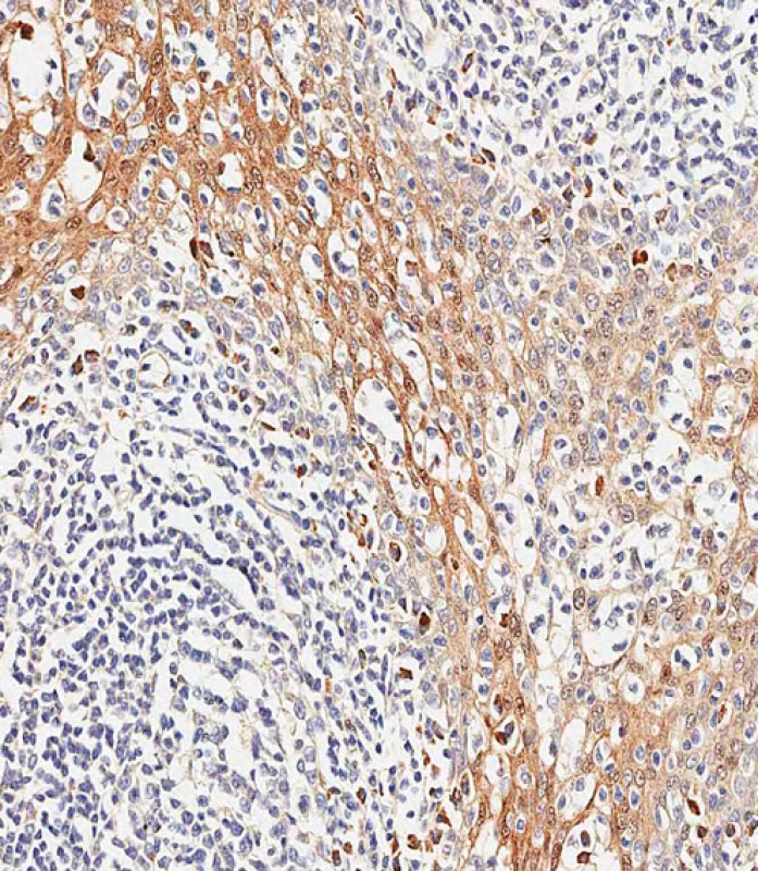
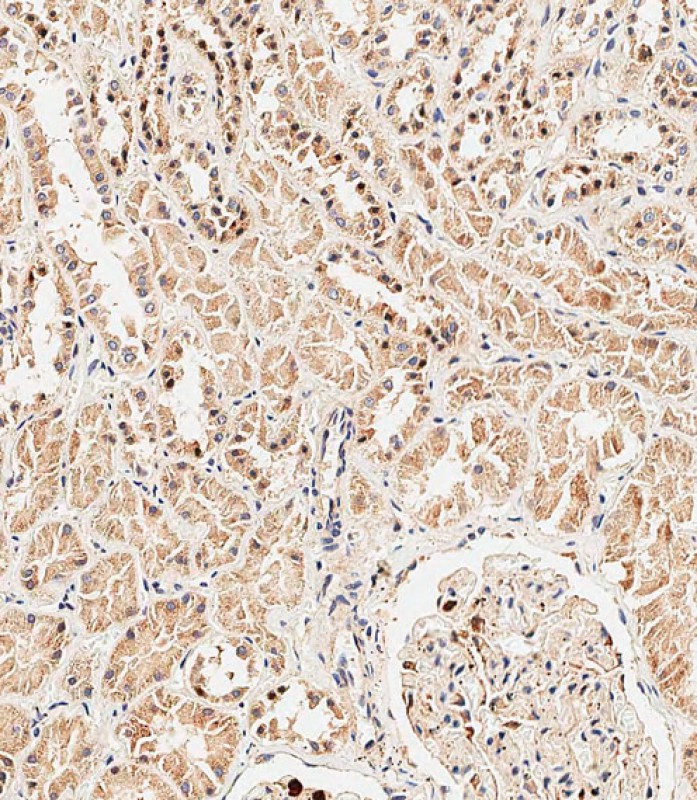
IHC 1/500 Human,Mouse,Rat
ICC 技术咨询 Human,Mouse,Rat
FCM 咨询技术 Human,Mouse,Rat
Elisa 咨询技术 Human,Mouse,Rat

产品详情

AliasesTSC22 domain family protein 3, DSIP-immunoreactive peptide, Protein DIP, hDIP, Delta sleep-inducing peptide immunoreactor, Glucocorticoid-induced leucine zipper protein, GILZ, TSC-22-like protein, TSC-22-related protein, TSC-22R, TSC22D3, DSIPI, GILZ
Entrez GeneID1831
WB Predicted band size14.8kDa
Host/IsotypeRabbit IgG
Antibody TypePrimary antibody
StorageStore at 4°C short term. Aliquot and store at -20°C long term. Avoid freeze/thaw cycles.
Species ReactivityHuman, Mouse, Rat
ImmunogenThis TSC22D3 antibody is generated from rabbits immunized with a KLH conjugated synthetic peptide between 62-91 amino acids from the Central region of human TSC22D3.
FormulationPurified antibody in PBS with 0.05% sodium azide.

+ +

参考文献

以下是关于TSC22D3抗体的3篇参考文献及其简要摘要:

1. **"Glucocorticoid-induced leucine zipper (GILZ) regulates TH17-mediated inflammation by suppressing the STAT3 signaling pathway"**

- **作者**: Cannarile L. 等人 (2016)

- **摘要**: 研究利用TSC22D3/GILZ抗体,通过Western blot和免疫荧光验证其在T细胞中的表达。发现GILZ通过抑制STAT3信号通路减轻TH17细胞介导的自身免疫性炎症,提示其作为炎症治疗的潜在靶点。

2. **"TSC22D3 deficiency promotes macrophage-mediated inflammation and exacerbates colitis in mice"**

- **作者**: Berrebi D. 等人 (2018)

- **摘要**: 通过构建Tsc22d3基因敲除小鼠,使用特异性抗体检测巨噬细胞中TSC22D3蛋白水平。结果表明,TSC22D3缺失导致巨噬细胞过度活化,加重实验性结肠炎,揭示了其在肠道免疫稳态中的作用。

3. **"TSC22D3 as a prognostic biomarker in hepatocellular carcinoma: Correlation with immune infiltration and chemotherapy response"**

- **作者**: Li X. 等人 (2021)

- **摘要**: 采用TSC22D3抗体进行肝癌组织免疫组化分析,发现其低表达与患者不良预后及化疗耐药相关。机制研究表明,TSC22D3通过调控PD-L1表达影响肿瘤微环境中的免疫细胞浸润。

**补充参考**:

4. **"Antibody validation for glucocorticoid-induced proteins: A case study on GILZ/TSC22D3"**

- **作者**: Bruscoli S. 等人 (2020)

- **摘要**: 系统评估了多种市售TSC22D3抗体的特异性,通过敲除/过表达实验验证抗体可靠性,为相关研究提供了抗体选择的技术标准。

以上研究均通过TSC22D3抗体探索其在疾病机制或诊疗中的应用,涵盖炎症、肿瘤及抗体技术验证领域。

背景信息

The TSC22D3 antibody is designed to target the TSC22 domain family protein 3 (TSC22D3), also known as glucocorticoid-induced leucine zipper (GILZ). This protein is a key mediator of glucocorticoid signaling and plays a critical role in regulating cellular stress responses, proliferation, and differentiation. TSC22D3 is widely expressed in immune cells, epithelial tissues, and certain cancer cells, where it modulates inflammatory pathways, apoptosis, and immune tolerance by interacting with transcription factors like NF-κB, AP-1. and the glucocorticoid receptor. Its involvement in immunosuppression and anti-inflammatory processes has linked it to autoimmune diseases, cancer progression, and metabolic disorders.

Antibodies against TSC22D3 are essential tools for studying its expression patterns, subcellular localization, and functional interactions in both physiological and pathological contexts. Researchers use these antibodies in techniques such as Western blotting, immunohistochemistry, and immunofluorescence to explore TSC22D3's role in glucocorticoid therapy responses, tumor microenvironment regulation, and immune cell modulation. Dysregulation of TSC22D3 has been implicated in diseases like rheumatoid arthritis, lupus, and colorectal cancer, making it a potential therapeutic target. The development and validation of specific TSC22D3 antibodies continue to advance our understanding of its dual roles in promoting cell survival under stress and suppressing excessive inflammation.

客户数据及评论

折叠内容

大包装询价

×