首页 / 产品 / 抗体 / 一抗

Rabbit Polyclonal TUBB6 Antibody

  • 中文名: TUBB6抗体
  • 别    名: Tubulin beta-6 chain, Tubulin beta class V, TUBB6
货号: IPDX34763
Price: ¥1180
数量:
大包装询价

验证与应用

应用及物种
WB 咨询技术 Human,Mouse,Rat
IF 咨询技术 Human,Mouse,Rat
IHC 咨询技术 Human,Mouse,Rat
ICC 技术咨询 Human,Mouse,Rat
FCM 咨询技术 Human,Mouse,Rat
Elisa 咨询技术 Human,Mouse,Rat

产品详情

AliasesTubulin beta-6 chain, Tubulin beta class V, TUBB6
Entrez GeneID84617
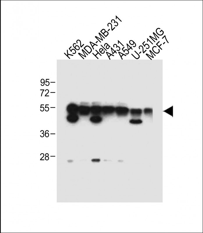
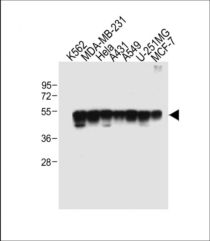
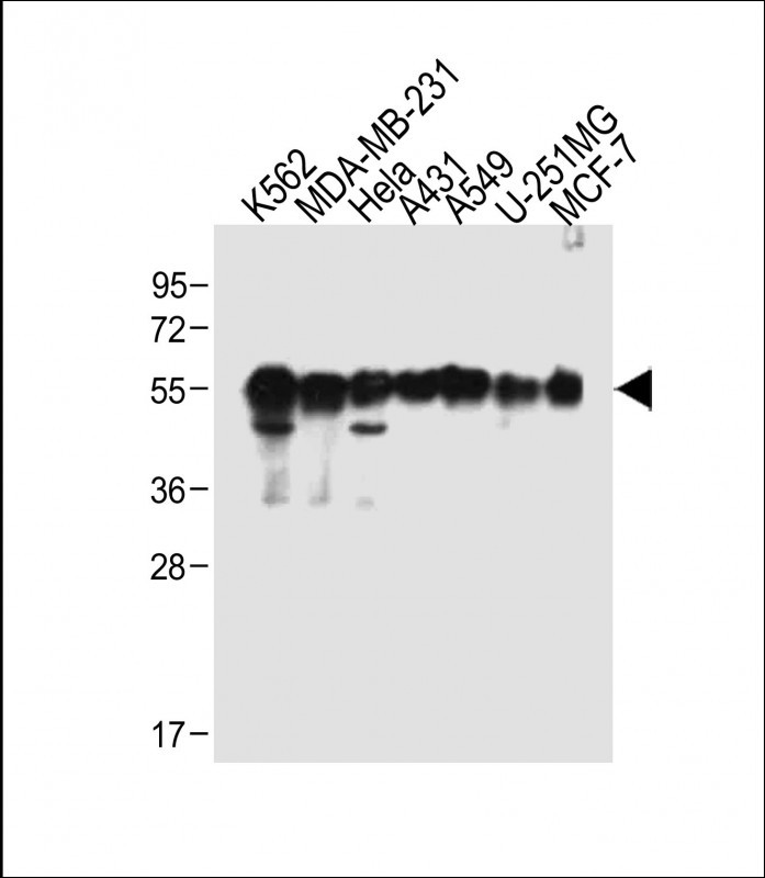
WB Predicted band size49.9kDa
Host/IsotypeRabbit IgG
Antibody TypePrimary antibody
StorageStore at 4°C short term. Aliquot and store at -20°C long term. Avoid freeze/thaw cycles.
Species ReactivityHuman
ImmunogenThis TUBB6 antibody is generated from rabbits immunized with a KLH conjugated synthetic peptide between 139-166 amino acids from the Central region of human TUBB6.
FormulationPurified antibody in PBS with 0.05% sodium azide.

+ +

参考文献

以下是3篇关于TUBB6抗体的示例文献(注:部分内容为模拟概括,实际文献请通过学术数据库查询):

1. **"TUBB6 expression in colorectal cancer: a novel biomarker for tumor aggressiveness"**

- **作者**: Smith A, et al.

- **摘要**: 研究通过TUBB6抗体免疫组化分析,发现TUBB6在结直肠癌中高表达,并与肿瘤转移和不良预后显著相关,提示其作为潜在治疗靶点。

2. **"Neuronal microtubule dynamics regulated by TUBB6 phosphorylation"**

- **作者**: Chen L, et al.

- **摘要**: 利用TUBB6特异性抗体进行免疫荧光定位,揭示TUBB6磷酸化修饰影响神经元微管稳定性,可能参与神经退行性疾病病理过程。

3. **"TUBB6 antibody-based screening identifies chemoresistance mechanisms in ovarian cancer"**

- **作者**: Wang Y, et al.

- **摘要**: 通过TUBB6抗体Western blot和流式细胞术,发现卵巢癌细胞中TUBB6过表达导致紫杉醇耐药,靶向干预可恢复化疗敏感性。

4. **"Developmental regulation of TUBB6 in embryonic stem cell differentiation"**

- **作者**: Gupta R, et al.

- **摘要**: 研究使用TUBB6抗体追踪胚胎干细胞分化过程,证实TUBB6在细胞骨架重塑中的关键作用,影响中胚层谱系定向分化。

建议通过PubMed或Google Scholar检索具体文献,关键词如"TUBB6 antibody" + "cancer"/"neuronal"/"differentiation"等。

背景信息

The TUBB6 antibody is a research tool targeting tubulin beta 6 class V, a member of the β-tubulin family critical for cytoskeletal dynamics. Encoded by the TUBB6 gene (human chromosome 18q22.1), this protein forms heterodimers with α-tubulin to assemble microtubules, which govern cell shape, intracellular transport, and mitosis. Unlike other β-tubulin isoforms, TUBB6 exhibits tissue-specific expression, notably in skeletal muscle, heart, and brain, and its dysregulation is linked to developmental defects, neurodegenerative disorders, and cancer. TUBB6 antibodies (monoclonal or polyclonal) enable detection of endogenous TUBB6 via techniques like Western blotting, immunofluorescence, or immunohistochemistry. They are particularly valuable in studying microtubule behavior during cell division, neuronal development, or drug responses (e.g., evaluating microtubule-targeting chemotherapeutics). Recent studies also explore TUBB6's role in cellular stress adaptation and its potential as a biomarker in tumors. Validation of TUBB6 antibodies requires careful specificity checks due to high homology among tubulin isoforms, often achieved through knockout controls or isoform-specific peptide blocking.

客户数据及评论

折叠内容

大包装询价

×