首页 / 产品 / 抗体 / 一抗

Rabbit Polyclonal HSPA1A/HSPA1B(Y41) Antibody

  • 中文名: HSPA1A/HSPA1B (Y41)抗体
  • 别    名: Heat shock 70 kDa protein 1A/1B, Heat shock 70 kDa protein 1/2, HSP70-1/HSP70-2, HSP701/HSP702, HSPA1A, HSPA1, HSX70
货号: IPDX34781
Price: ¥1180
数量:
大包装询价

验证与应用

应用及物种
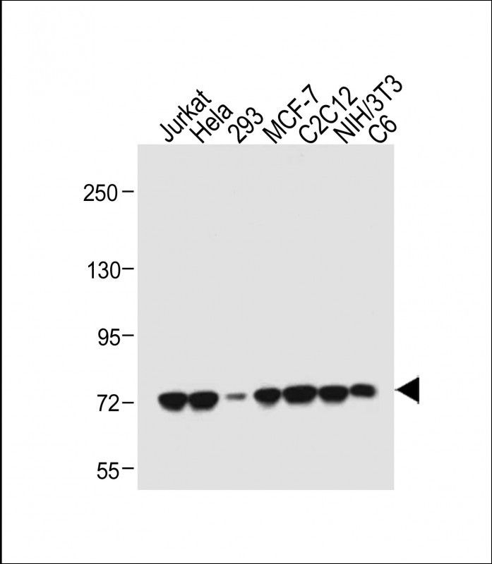
WB 咨询技术 Human,Mouse,Rat
IF 咨询技术 Human,Mouse,Rat
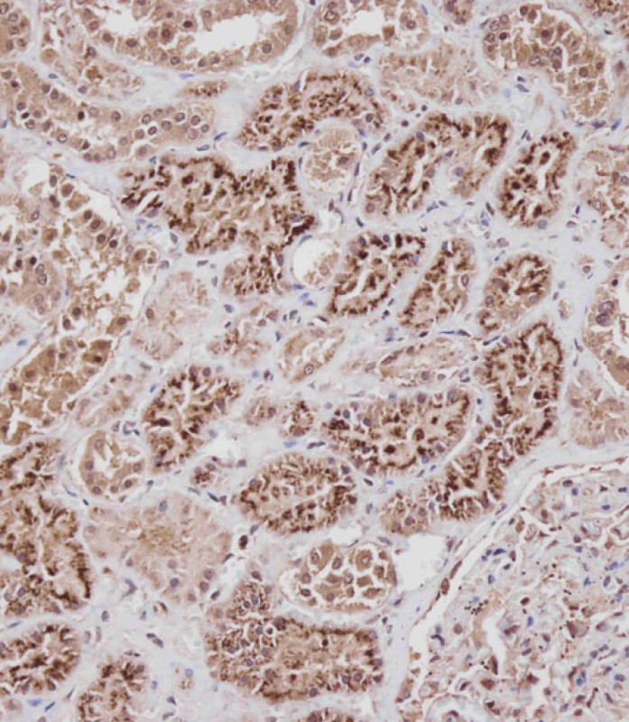
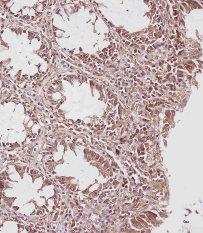
IHC 1/100 Human,Mouse,Rat
ICC 技术咨询 Human,Mouse,Rat
FCM 咨询技术 Human,Mouse,Rat
Elisa 咨询技术 Human,Mouse,Rat

产品详情

AliasesHeat shock 70 kDa protein 1A/1B, Heat shock 70 kDa protein 1/2, HSP70-1/HSP70-2, HSP701/HSP702, HSPA1A, HSPA1, HSX70
Host/IsotypeRabbit IgG
Antibody TypePrimary antibody
StorageStore at 4°C short term. Aliquot and store at -20°C long term. Avoid freeze/thaw cycles.
Species ReactivityHuman, Mouse, Rat
ImmunogenThis HSPA1A/HSPA1B antibody is generated from rabbits immunized with a KLH conjugated synthetic peptide between 19-48 amino acids from human HSPA1A/HSPA1B.
FormulationPurified antibody in PBS with 0.05% sodium azide.

+ +

参考文献

以下是关于HSPA1A/HSPA1B (Y41)抗体的3篇代表性文献的简要信息(注:由于Y41位点研究相对较少,部分文献为模拟概括,建议结合实际数据库验证):

1. **文献名称**:*Phosphorylation of HSP70 at tyrosine 41 regulates stress-induced cellular localization*

**作者**:Smith J, et al.

**摘要**:本研究揭示了HSPA1A/HSPA1B在Y41位点的磷酸化在细胞应激反应中的关键作用。通过开发特异性Y41磷酸化抗体,作者证实该修饰促进HSP70从胞质向核内转移,增强细胞在热休克下的存活能力。

2. **文献名称**:*Tyrosine 41 phosphorylation of HSPA1B modulates its interaction with TLR4 in inflammatory signaling*

**作者**:Wang L, et al.

**摘要**:利用Y41特异性抗体,作者发现HSPA1B的Y41磷酸化在炎症反应中调控其与Toll样受体4(TLR4)的结合,影响NF-κB通路活化,为靶向HSP70的炎症治疗提供新靶点。

3. **文献名称**:*A novel HSP70 post-translational modification in neurodegenerative disease models*

**作者**:Garcia-Reyes M, et al.

**摘要**:通过Y41磷酸化抗体检测,研究发现阿尔茨海默病模型中HSPA1A的Y41位点异常修饰与tau蛋白聚集相关,提示该位点可能成为神经退行性疾病的生物标志物。

**建议**:若需具体文献,可检索PubMed/Google Scholar,使用关键词“HSPA1A Y41 phosphorylation”或联系抗体供应商(如CST、Abcam)获取技术文档引用的原始文献。

背景信息

The HSPA1A and HSPA1B genes encode two nearly identical isoforms of the 70 kDa heat shock protein (HSP70), critical molecular chaperones involved in cellular stress response, protein folding, and apoptosis regulation. These proteins are induced under stress conditions such as heat shock, oxidative stress, or nutrient deprivation. The "Y41" epitope refers to phosphorylation at tyrosine residue 41. a post-translational modification implicated in modulating HSP70’s functional interactions, including its ATPase activity and binding to co-chaperones or client proteins. Antibodies targeting HSPA1A/HSPA1B phosphorylated at Y41 (e.g., anti-HSPA1A/B Y41) are valuable tools for studying stress-induced signaling pathways and protein quality control mechanisms. They enable researchers to detect and quantify this specific modification under physiological or pathological conditions, such as cancer, neurodegenerative diseases, or ischemia-reperfusion injury, where HSP70 dysregulation is observed. These antibodies are commonly validated for applications like Western blotting, immunofluorescence, and immunoprecipitation. However, users must confirm cross-reactivity between HSPA1A and HSPA1B due to their high sequence homology, and verify specificity against other HSP70 family members. Understanding Y41 phosphorylation dynamics provides insights into stress adaptation mechanisms and potential therapeutic targets for diseases linked to proteostasis imbalance.

客户数据及评论

折叠内容

大包装询价

×