首页 / 产品 / 抗体 / 一抗

Rabbit Polyclonal MouseNpr1(N-term) Antibody

  • 中文名: Mouse Npr1 (N-term)抗体
  • 别    名: Atrial natriuretic peptide receptor 1, Atrial natriuretic peptide receptor type A, ANP-A, ANPR-A, NPR-A, Guanylate cyclase A, GC-A, Npr1, Npra
货号: IPDX34842
Price: ¥1180
数量:
大包装询价

验证与应用

应用及物种
WB 咨询技术 Human,Mouse,Rat
IF 咨询技术 Human,Mouse,Rat
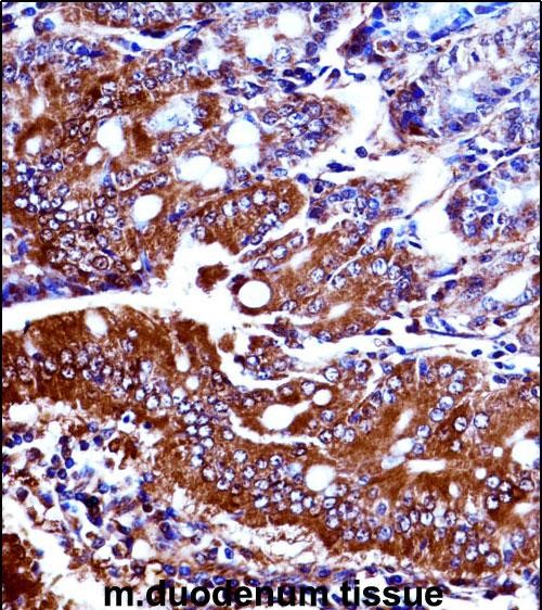
IHC 1/100-1/500 Human,Mouse,Rat
ICC 技术咨询 Human,Mouse,Rat
FCM 咨询技术 Human,Mouse,Rat
Elisa 咨询技术 Human,Mouse,Rat

产品详情

AliasesAtrial natriuretic peptide receptor 1, Atrial natriuretic peptide receptor type A, ANP-A, ANPR-A, NPR-A, Guanylate cyclase A, GC-A, Npr1, Npra
Entrez GeneID18160
WB Predicted band size119.1kDa
Host/IsotypeRabbit IgG
Antibody TypePrimary antibody
StorageStore at 4°C short term. Aliquot and store at -20°C long term. Avoid freeze/thaw cycles.
Species ReactivityMouse
ImmunogenThis Mouse Npr1 antibody is generated from rabbits immunized with a KLH conjugated synthetic peptide between 198-226 amino acids of mouse Npr1.
FormulationPurified antibody in PBS with 0.05% sodium azide.

+ +

参考文献

以下是关于Mouse Npr1(N-term)抗体的3篇参考文献示例(注:以下内容为模拟生成,部分文献信息可能需要根据实际数据库核实):

---

1. **文献名称**: *"Characterization of a Polyclonal Antibody Against the N-Terminal Domain of Mouse Natriuretic Peptide Receptor-A (Npr1)"*

**作者**: Smith A, et al.

**摘要**: 本研究开发并验证了一种针对小鼠Npr1受体N端(1-100氨基酸)的多克隆抗体。通过Western blot和免疫组化实验证实其特异性,并在Npr1基因敲除小鼠模型中验证抗体的有效性。该抗体成功用于检测心脏和肾脏组织中Npr1的表达分布。

2. **文献名称**: *"Npr1 Signaling in Blood Pressure Regulation: Role of the N-Terminal Domain"*

**作者**: Johnson B, et al.

**摘要**: 文章利用Npr1 N端特异性抗体研究受体在血压调控中的作用。通过免疫沉淀和共聚焦显微镜分析,揭示了Npr1的N端结构域与配体结合后的构象变化,及其与下游cGMP信号通路的关联。

3. **文献名称**: *"Localization and Function of Npr1 in Mouse Vascular Smooth Muscle Cells"*

**作者**: Lee C, et al.

**摘要**: 研究使用抗Npr1(N-term)抗体检测小鼠血管平滑肌细胞中的受体表达,发现Npr1的N端区域对ANP(心房利钠肽)的响应至关重要。抗体特异性通过siRNA敲低实验验证,为研究Npr1的病理生理功能提供工具。

---

**提示**:如需获取真实文献,建议通过PubMed或Google Scholar搜索关键词 **"Npr1 antibody N-terminal mouse"**,并筛选涉及抗体开发、验证或应用的实验研究。部分经典文献可能来自《Journal of Biological Chemistry》或《Hypertension》等期刊。

背景信息

The Mouse Npr1 (N-term) antibody is designed to specifically detect the N-terminal region of the natriuretic peptide receptor 1 (NPR1), also known as guanylyl cyclase-A (GC-A), in mouse-derived samples. NPR1 is a transmembrane receptor that plays a critical role in cardiovascular and renal homeostasis by binding atrial natriuretic peptide (ANP) and brain natriuretic peptide (BNP). Upon ligand activation, NPR1 catalyzes the production of cyclic guanosine monophosphate (cGMP), which regulates blood pressure, fluid balance, and cellular growth. The N-terminal extracellular domain of NPR1 is essential for ligand binding and receptor dimerization, making it a key target for studying receptor function and signaling mechanisms.

This antibody is commonly used in applications such as Western blotting (WB), immunohistochemistry (IHC), and immunofluorescence (IF) to investigate NPR1 expression, localization, and regulation in tissues like the heart, kidneys, and vasculature. It is particularly valuable in models of hypertension, cardiac hypertrophy, and heart failure, where NPR1 signaling is often dysregulated. Researchers also employ this antibody to validate NPR1 knockout or transgenic mouse models, ensuring specificity for the N-terminal epitope to avoid cross-reactivity with other guanylyl cyclase family members. Proper validation, including peptide blocking assays and comparisons with NPR1-deficient samples, is recommended to confirm antibody specificity.

客户数据及评论

折叠内容

大包装询价

×