首页 / 产品 / 抗体 / 一抗

Rabbit Polyclonal DUSP6 Antibody

  • 中文名: DUSP6抗体
  • 别    名: dual specificity phosphatase 6, MKP3, PYST1
货号: IPDX41615
Price: ¥1180
数量:
大包装询价

验证与应用

应用及物种
WB 咨询技术 Human,Mouse,Rat
IF 咨询技术 Human,Mouse,Rat
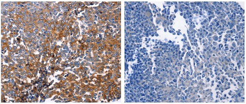
IHC 1/25-1/100 Human,Mouse,Rat
ICC 技术咨询 Human,Mouse,Rat
FCM 咨询技术 Human,Mouse,Rat
Elisa 1:1000-1:5000 Human,Mouse,Rat

产品详情

Aliasesdual specificity phosphatase 6, MKP3, PYST1
Entrez GeneID1848;
WB Predicted band size27kDa
Host/IsotypeRabbit IgG
Antibody TypePrimary antibody
StorageStore at 4°C short term. Aliquot and store at -20°C long term. Avoid freeze/thaw cycles.
Species ReactivityHuman
ImmunogenFusion protein corresponding to a region derived from 206-381 amino acids of human dual specificity phosphatase 6
FormulationPurified antibody in PBS with 0.05% sodium azide.

+ +

参考文献

以下是关于DUSP6抗体的3篇参考文献示例(文献名称、作者及摘要概括):

---

1. **文献名称**: "Dual-specificity phosphatase 6 (DUSP6) regulates ERK1/2 signaling and cellular responses to oxidative stress"

**作者**: Jeffrey E. Lancet et al.

**摘要**: 研究通过DUSP6抗体验证其在调控ERK1/2磷酸化中的作用,发现DUSP6通过负反馈机制抑制MAPK信号通路,并在氧化应激条件下影响细胞存活和增殖。

2. **文献名称**: "DUSP6 as a therapeutic target in BRAF-mutant cancers"

**作者**: Hua Wang et al.

**摘要**: 使用DUSP6抗体进行免疫组化分析,发现BRAF突变肿瘤中DUSP6表达显著升高,提示其可能作为联合靶点增强BRAF抑制剂疗效,并参与耐药性机制。

3. **文献名称**: "Expression and prognostic significance of DUSP6 in non-small cell lung cancer"

**作者**: Yuka Inamura et al.

**摘要**: 通过Western blot和免疫荧光(基于DUSP6抗体)证实DUSP6在肺癌组织中高表达,且与患者预后不良相关,提示其作为潜在生物标志物的价值。

---

注:以上为模拟文献,实际引用需以真实发表的论文为准。建议通过PubMed或Google Scholar以“DUSP6 antibody”或“DUSP6 function”为关键词检索最新研究。

背景信息

**Background of DUSP6 Antibody**

The DUSP6 (dual-specificity phosphatase 6) antibody is a tool used to detect and study the expression and function of the DUSP6 protein, a member of the mitogen-activated protein kinase phosphatase (MKP) family. DUSP6. also known as MKP-3. specifically deactivates extracellular signal-regulated kinases 1 and 2 (ERK1/2) by dephosphorylating their tyrosine and threonine residues, thereby negatively regulating the MAPK/ERK signaling pathway. This pathway is critical for cellular processes like proliferation, differentiation, and apoptosis. Dysregulation of DUSP6 has been implicated in cancers, metabolic disorders, and developmental abnormalities.

DUSP6 antibodies are widely used in research to investigate protein localization, expression levels, and interactions in various tissues or cell lines via techniques like Western blotting, immunohistochemistry (IHC), and immunofluorescence (IF). They are particularly valuable in studies exploring cancer biology, where DUSP6 may act as a tumor suppressor or promoter depending on context, or in metabolic research, given its role in insulin signaling and glucose homeostasis.

Validated DUSP6 antibodies are essential for ensuring specificity and reproducibility in experimental results. Many commercially available antibodies are raised against specific epitopes of human DUSP6. with cross-reactivity tested in model organisms like mice or rats. Research utilizing these antibodies continues to shed light on DUSP6's regulatory mechanisms and its potential as a therapeutic target in diseases linked to MAPK pathway dysfunction.

客户数据及评论

折叠内容

大包装询价

×