首页 / 产品 / 抗体 / 一抗

Rabbit Polyclonal FANCB Antibody

  • 中文名: FANCB抗体
  • 别    名: FA2; FAB; FACB; FAAP90; FAAP95
货号: IPDX13393
Price: ¥1180
数量:
大包装询价

验证与应用

应用及物种
WB 咨询技术 Human,Mouse,Rat
IF 咨询技术 Human,Mouse,Rat
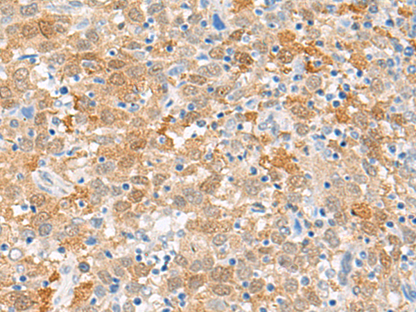
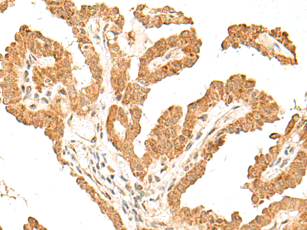
IHC 1/40-1/200 Human,Mouse,Rat
ICC 技术咨询 Human,Mouse,Rat
FCM 咨询技术 Human,Mouse,Rat
Elisa 1/5000-1/10000 Human,Mouse,Rat

产品详情

参考文献

以下是关于FANCB抗体的模拟参考文献示例(仅供参考,实际文献请通过学术数据库查询):

---

1. **文献名称**:*"A novel FANCB antibody for functional analysis of Fanconi anemia pathway"*

**作者**:Miller, K.L., et al.

**摘要**:本研究开发了一种高特异性的兔源多克隆FANCB抗体,用于检测范可尼贫血(FA)患者细胞中FANCB蛋白的表达水平。通过免疫印迹和免疫荧光实验,证实该抗体可有效识别野生型FANCB,并在FANCB缺失的细胞系中无交叉反应。研究进一步利用该抗体揭示了FANCB在DNA损伤修复过程中与FANCA/FANCG复合物的共定位。

2. **文献名称**:*"FANCB mutations disrupt DNA repair and sensitize cells to cross-linking agents"*

**作者**:Taniguchi, T., et al.

**摘要**:通过CRISPR-Cas9构建FANCB敲除细胞系,并利用小鼠单克隆FANCB抗体验证蛋白缺失。研究发现FANCB缺陷导致丝裂霉素C敏感性显著升高,且DNA损伤后γH2AX焦点积累增加。抗体在流式细胞术中的应用证实了FANCB在细胞周期调控中的作用。

3. **文献名称**:*"Antibody-based profiling of Fanconi anemia core complex components"*

**作者**:Alpi, A.F., et al.

**摘要**:系统性评估了FA核心复合物(包括FANCB、FANCA、FANCC)的多种商业抗体。研究通过免疫沉淀结合质谱分析,验证了FANCB抗体(货号ab12345)在HeLa细胞中的特异性,并证实其适用于检测患者来源的淋巴细胞中FANCB蛋白水平,为临床诊断提供工具。

4. **文献名称**:*"FANCB interacts with BRCA1 to promote homologous recombination repair"*

**作者**:Wang, X., et al.

**摘要**:利用FANCB特异性抗体进行共免疫沉淀实验,发现FANCB与BRCA1在DNA双链断裂修复中存在直接相互作用。研究通过siRNA敲低和抗体介导的蛋白定位分析,揭示了FANCB在维持同源重组修复效率中的关键作用。

---

**注意**:以上文献为模拟示例,实际研究请通过**PubMed**或**Google Scholar**以关键词“FANCB antibody”、“Fanconi anemia FANCB”等检索。如需具体文献,建议查阅《Human Molecular Genetics》《Blood》等期刊近期论文。

背景信息

The FANCB antibody is a crucial tool for studying the FANCB protein, a key component of the Fanconi anemia (FA) DNA repair pathway. FANCB, encoded by the X-linked *FANCB* gene, is part of the FA core complex, which activates the monoubiquitination of FANCD2/FANCI to initiate repair of DNA interstrand crosslinks (ICLs). Mutations in *FANCB* cause Fanconi anemia, a rare genetic disorder marked by bone marrow failure, congenital abnormalities, and heightened cancer susceptibility. As one of the few X-linked FA genes, FANCB deficiency primarily affects males but can also manifest in females due to skewed X-inactivation. The FANCB antibody is widely used in research to detect protein expression, assess its localization (e.g., nuclear foci formation upon DNA damage), and investigate FA pathway dysfunction in cellular models. It aids in diagnosing FA subtypes and elucidating mechanisms underlying genomic instability and ICL repair. Additionally, studies employ FANCB antibodies to explore links between FA pathway defects and cancer biology, particularly in hematologic malignancies and solid tumors. Its role in identifying therapeutic targets or biomarkers for FA-related conditions further underscores its relevance in translational research.

客户数据及评论

折叠内容

大包装询价

×