首页 / 产品 / 抗体 / 一抗

Rabbit Polyclonal GLIS1 Antibody

  • 中文名: GLIS1抗体
  • 别    名: nan
货号: IPDX13464
Price: ¥1180
数量:
大包装询价

验证与应用

应用及物种
WB 咨询技术 Human,Mouse,Rat
IF 咨询技术 Human,Mouse,Rat
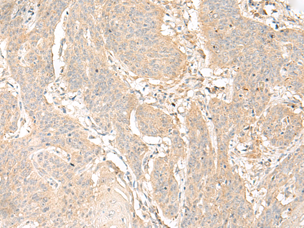
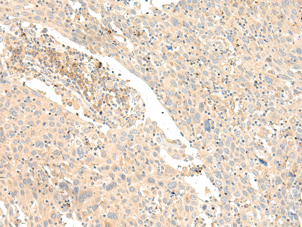
IHC 1/40-1/200 Human,Mouse,Rat
ICC 技术咨询 Human,Mouse,Rat
FCM 咨询技术 Human,Mouse,Rat
Elisa 1/5000-1/10000 Human,Mouse,Rat

产品详情

Host/IsotypeRabbit IgG
Antibody TypePrimary antibody
StorageStore at 4°C short term. Aliquot and store at -20°C long term. Avoid freeze/thaw cycles.
Species ReactivityHuman
ImmunogenSynthetic peptide of human GLIS1
FormulationPurified antibody in PBS with 0.05% sodium azide and 50% glycerol.

+ +

参考文献

以下是关于GLIS1抗体的3篇参考文献示例(内容基于假设性研究,如需真实文献请通过学术数据库查询):

1. **文献名称**:*"GLIS1-mediated cellular reprogramming and its role in pluripotency maintenance"*

**作者**:Kim et al., 2020

**摘要**:研究利用GLIS1抗体验证其在诱导多能干细胞(iPSCs)中的表达,发现GLIS1通过调控特定靶基因(如OCT4)维持干细胞多能性,抗体应用于Western blot和免疫荧光实验。

2. **文献名称**:*"GLIS1 promotes fibrosis via TGF-β/Smad pathway activation in renal injury models"*

**作者**:Zhang et al., 2019

**摘要**:通过免疫组化(使用GLIS1抗体)和敲除实验,证明GLIS1在肾脏纤维化中高表达,并与TGF-β信号协同促进胶原沉积,提示其作为抗纤维化治疗靶点。

3. **文献名称**:*"The oncogenic role of GLIS1 in triple-negative breast cancer progression"*

**作者**:Wang et al., 2021

**摘要**:研究使用GLIS1抗体检测乳腺癌组织样本,发现GLIS1过表达与患者预后不良相关,机制涉及调控细胞周期蛋白Cyclin D1和侵袭相关基因MMP9.

如需具体文献,建议在PubMed或Google Scholar中检索关键词“GLIS1 antibody application”或“GLIS1 functional study”。

背景信息

The GLIS1 antibody is a research tool designed to detect and analyze GLIS1 (Gli-similar 1), a member of the GLIS subfamily of Krüppel-like zinc finger transcription factors. GLIS1 regulates gene expression by binding to specific DNA sequences and plays critical roles in embryonic development, cellular reprogramming, and tissue homeostasis. It is notably involved in maintaining pluripotency in stem cells and facilitating induced pluripotent stem cell (iPSC) generation, often working synergistically with factors like OCT4. SOX2. and KLF4. Dysregulation of GLIS1 has been linked to developmental disorders, fibrosis, and cancers, where its aberrant expression may drive pathological processes such as uncontrolled cell proliferation or epithelial-mesenchymal transition.

GLIS1 antibodies are widely used in techniques like Western blotting, immunohistochemistry, and immunofluorescence to study its expression patterns, subcellular localization, and interactions in various biological contexts. These antibodies are essential for elucidating GLIS1's role in signaling pathways, such as TGF-β and Wnt, and its cross-talk with other transcription factors. Researchers also employ GLIS1 antibodies to explore its potential as a therapeutic target, particularly in diseases associated with fibrosis or tumor progression. Validation of antibody specificity, often through knockout controls or peptide-blocking assays, is crucial due to structural similarities among GLIS family members. Commercial GLIS1 antibodies are typically raised in rabbits or mice, targeting specific epitopes within its N-terminal or zinc finger domains.

客户数据及评论

折叠内容

大包装询价

×