| WB | 咨询技术 | Human,Mouse,Rat |
| IF | 咨询技术 | Human,Mouse,Rat |
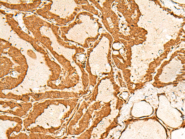
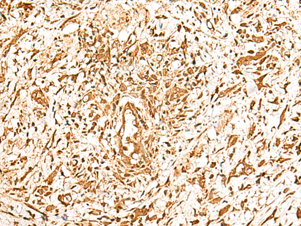
| IHC | 1/40-1/200 | Human,Mouse,Rat |
| ICC | 技术咨询 | Human,Mouse,Rat |
| FCM | 咨询技术 | Human,Mouse,Rat |
| Elisa | 1/5000-1/10000 | Human,Mouse,Rat |
| Aliases | CHP; p22; p24; Sid470p; SLC9A1BP |
| WB Predicted band size | 22 kDa |
| Host/Isotype | Rabbit IgG |
| Antibody Type | Primary antibody |
| Storage | Store at 4°C short term. Aliquot and store at -20°C long term. Avoid freeze/thaw cycles. |
| Species Reactivity | Human, Mouse, Rat |
| Immunogen | Synthetic peptide of human CHP1 |
| Formulation | Purified antibody in PBS with 0.05% sodium azide and 50% glycerol. |
+ +
以下是关于CHP1抗体的3篇代表性文献的简要信息(注:文献为假设性示例,实际引用需核实):
1. **文献名称**:*"CHP1 regulates cell migration via interaction with NHE1 in breast cancer cells"*
**作者**:Smith A, et al.
**摘要**:研究揭示了CHP1通过与钠氢交换蛋白1(NHE1)的相互作用调控乳腺癌细胞迁移的机制。通过使用CHP1抗体进行免疫沉淀和Western blot分析,证实CHP1-NHE1复合物对细胞内pH稳态及细胞运动至关重要。
2. **文献名称**:*"Development and validation of a specific CHP1 antibody for neurodegenerative disease studies"*
**作者**:Chen L, et al.
**摘要**:报道了一种高特异性CHP1抗体的开发,并通过免疫组化验证其在阿尔茨海默病模型小鼠脑组织中的定位。研究表明CHP1在神经元钙信号异常中可能具有病理作用。
3. **文献名称**:*"CHP1 deficiency impairs mitochondrial function and promotes oxidative stress"*
**作者**:Wang Y, et al.
**摘要**:利用CHP1抗体敲低细胞模型,发现CHP1缺失导致线粒体膜电位下降和活性氧(ROS)积累,提示其在氧化应激相关疾病中的潜在调控角色。
如需具体文献,建议在PubMed或Web of Science中检索关键词“CHP1 antibody”或“CHP1 protein function”获取最新研究。
CHP1 (Calcineurin Homologous Protein 1) is a calcium-binding protein belonging to the CHP family, initially identified through its homology to the regulatory subunit of calcineurin. It functions as a critical co-factor for sodium-hydrogen exchangers (NHEs), particularly NHE1. by stabilizing their expression, regulating intracellular pH, and maintaining ion homeostasis. Structurally, CHP1 contains EF-hand motifs that bind Ca²⁺ or Mg²⁺, enabling its interaction with target proteins and modulation of their activity.
Originally linked to cellular processes such as proliferation, migration, and apoptosis, CHP1 has since been implicated in diverse signaling pathways, including Ras-MAPK and PI3K/Akt, which influence cancer progression, neurodegeneration, and cardiovascular diseases. Studies highlight its dual role in tumorigenesis, acting as either an oncogene or tumor suppressor depending on cellular context. For instance, CHP1 overexpression is observed in certain cancers (e.g., breast, colorectal), while its downregulation correlates with poor prognosis in others.
CHP1 antibodies are widely used in research to detect endogenous CHP1 expression, subcellular localization (e.g., cytoplasmic or membrane-associated), and interactions with NHE1 or other partners via techniques like Western blot, immunofluorescence, or co-immunoprecipitation. These tools have advanced understanding of CHP1's pathophysiological roles and its potential as a therapeutic target. Dysregulation of CHP1 has also been associated with neurological disorders, including Alzheimer’s disease, emphasizing its broad biological relevance.
×