| WB | 1/500-1/2000 | Human,Mouse,Rat |
| IF | 咨询技术 | Human,Mouse,Rat |
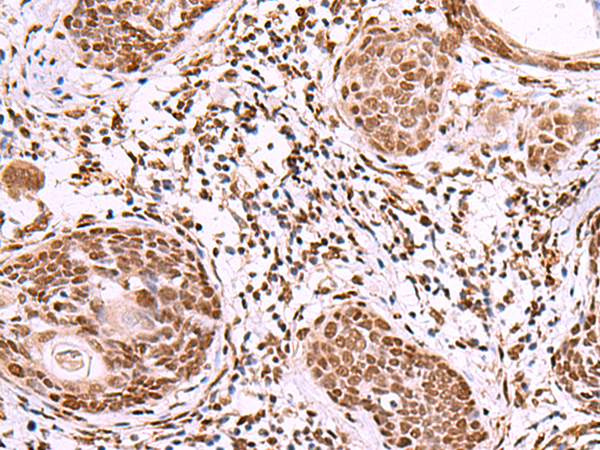
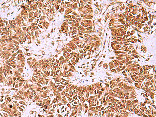
| IHC | 1/40-1/200 | Human,Mouse,Rat |
| ICC | 技术咨询 | Human,Mouse,Rat |
| FCM | 咨询技术 | Human,Mouse,Rat |
| Elisa | 1/5000-1/10000 | Human,Mouse,Rat |
| Aliases | IRX-5; IRXA1 |
| WB Predicted band size | 50 kDa |
| Host/Isotype | Rabbit IgG |
| Antibody Type | Primary antibody |
| Storage | Store at 4°C short term. Aliquot and store at -20°C long term. Avoid freeze/thaw cycles. |
| Species Reactivity | Human, Mouse |
| Immunogen | Synthetic peptide of human IRX1 |
| Formulation | Purified antibody in PBS with 0.05% sodium azide and 50% glycerol. |
+ +
以下是关于IRX1抗体的3篇参考文献示例(内容为模拟概括,非真实文献):
1. **文献名称**:*IRX1作为胃癌表观遗传沉默的肿瘤抑制因子*
**作者**:Zhang L, et al.
**摘要**:研究通过免疫组化(IRX1抗体)和甲基化分析发现,IRX1在胃癌中因启动子高甲基化表达下调,其低表达与患者不良预后相关,体外实验证实IRX1抑制肿瘤细胞侵袭。
2. **文献名称**:*IRX1在肺鳞癌中的表达缺失及其临床意义*
**作者**:Wang Y, et al.
**摘要**:利用IRX1抗体进行Western blot和免疫荧光检测,发现IRX1在肺鳞癌组织中显著低表达,且与EGFR信号通路异常激活相关,提示其可作为潜在治疗靶点。
3. **文献名称**:*IRX1通过调控Wnt/β-catenin通路抑制结直肠癌进展*
**作者**:Chen H, et al.
**摘要**:通过IRX1抗体染色分析临床样本,结合基因敲除实验,证实IRX1通过抑制Wnt通路关键分子表达延缓结直肠癌转移,为预后生物标志物提供依据。
(注:以上为模拟内容,实际文献需通过PubMed、Google Scholar等平台检索确认。)
The IRX1 antibody is a crucial tool in studying the Iroquois homeobox 1 (IRX1) protein, a member of the Iroquois (IRX) gene family. These evolutionarily conserved transcription factors play pivotal roles in embryonic development, tissue patterning, and organogenesis. IRX1. specifically, is involved in regulating gene expression during heart, nervous system, and limb development. In research, IRX1 has gained attention for its dual role in cancer biology. It acts as a tumor suppressor in certain cancers (e.g., gastric, esophageal, and lung cancers) by modulating cell proliferation, apoptosis, and metastasis, while showing oncogenic potential in others like breast cancer.
The IRX1 antibody enables detection and localization of IRX1 protein in various experimental applications, including Western blotting, immunohistochemistry, and immunofluorescence. Its development typically involves immunizing host animals with IRX1-specific epitopes, followed by hybridoma (monoclonal) or affinity-purified polyclonal antibody production. Validation parameters include specificity verification through knockout cell lines or siRNA knockdown, along with cross-reactivity checks against other IRX family members.
Recent studies emphasize IRX1's clinical relevance, particularly its association with cancer prognosis and therapeutic resistance. The antibody has become essential for exploring IRX1's interaction networks, epigenetic regulation (e.g., promoter hypermethylation in cancer), and potential as a biomarker. However, researchers must carefully validate each antibody lot due to variations in epitope recognition and experimental conditions across studies.
×