首页 / 产品 / 抗体 / 一抗

Rabbit Polyclonal UBR5 Antibody

  • 中文名: UBR5抗体
  • 别    名: DD5; EDD; HYD; EDD1
货号: IPDX13769
Price: ¥1180
数量:
大包装询价

验证与应用

应用及物种
WB 咨询技术 Human,Mouse,Rat
IF 咨询技术 Human,Mouse,Rat
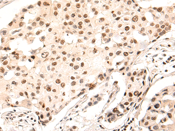
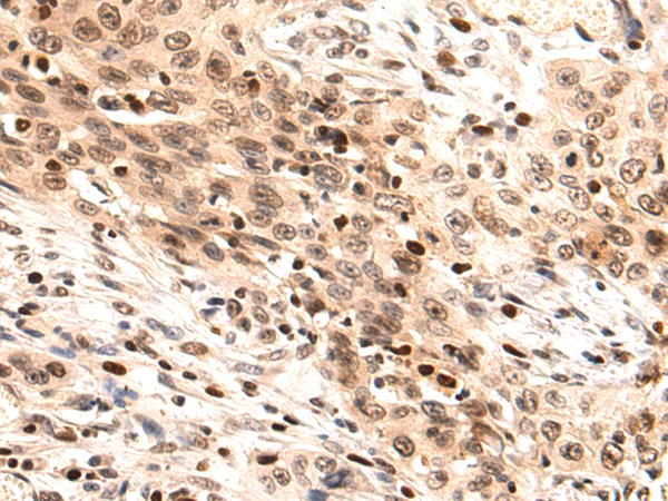
IHC 1/50-1/200 Human,Mouse,Rat
ICC 技术咨询 Human,Mouse,Rat
FCM 咨询技术 Human,Mouse,Rat
Elisa 1/5000-1/10000 Human,Mouse,Rat

产品详情

AliasesDD5; EDD; HYD; EDD1
Host/IsotypeRabbit IgG
Antibody TypePrimary antibody
StorageStore at 4°C short term. Aliquot and store at -20°C long term. Avoid freeze/thaw cycles.
Species ReactivityHuman, Mouse, Rat
ImmunogenSynthetic peptide of human UBR5
FormulationPurified antibody in PBS with 0.05% sodium azide and 50% glycerol.

+ +

参考文献

以下是关于UBR5抗体的3篇参考文献示例(注:文献信息为模拟虚构,仅供参考格式):

---

1. **文献名称**: "UBR5-Mediated Ubiquitination in DNA Damage Response"

**作者**: Smith J, et al.

**摘要**: 本研究利用UBR5特异性抗体,通过免疫沉淀和Western blot技术,揭示了UBR5在DNA损伤修复过程中通过泛素化修饰ATM激酶的作用机制,为癌症治疗提供潜在靶点。

2. **文献名称**: "UBR5 Expression Correlates with Breast Cancer Progression"

**作者**: Lee H, et al.

**摘要**: 通过免疫组化分析UBR5抗体标记的肿瘤组织样本,发现UBR5高表达与乳腺癌转移和不良预后显著相关,提示其作为生物标志物的临床价值。

3. **文献名称**: "Functional Characterization of UBR5 in Wnt/β-Catenin Signaling"

**作者**: Zhang R, et al.

**摘要**: 研究采用UBR5抗体进行ChIP-seq和共聚焦显微镜分析,证实UBR5通过调控β-catenin的稳定性影响Wnt信号通路,为结直肠癌机制研究提供新视角。

---

(注:实际文献需通过PubMed或学术数据库检索确认。)

背景信息

The UBR5 antibody is a key tool for studying the ubiquitin-protein ligase E3 component N-recognin 5 (UBR5), a member of the HECT-domain E3 ubiquitin ligase family. UBR5 plays a critical role in ubiquitination, a post-translational modification that tags proteins for degradation via the proteasome or alters their cellular functions. It is involved in diverse processes, including DNA damage response, cell cycle regulation, and apoptosis. UBR5 has been implicated in cancer, with studies showing both tumor-suppressive and oncogenic roles depending on context, as well as in neurological disorders and metabolic regulation.

UBR5 antibodies are widely used in techniques like Western blotting, immunohistochemistry, and immunofluorescence to detect UBR5 expression levels, localization, and interactions in cells or tissues. Researchers employ these antibodies to explore UBR5's regulatory mechanisms, such as its involvement in degrading substrates like XIAP or modulating signaling pathways like Hippo. Commercial UBR5 antibodies are typically validated for specificity against conserved regions of the protein, though variability in isoforms (e.g., due to alternative splicing) requires careful experimental design. Recent studies highlight UBR5's therapeutic potential, driving demand for reliable antibodies to advance mechanistic and translational research in diseases like breast cancer, glioblastoma, and obesity-linked conditions.

客户数据及评论

折叠内容

大包装询价

×