首页 / 产品 / 抗体 / 一抗

Rabbit Polyclonal CD52 Antibody

  • 中文名: CD52抗体
  • 别    名: HE5; CDW52; EDDM5
货号: IPDX13778
Price: ¥1180
数量:
大包装询价

验证与应用

应用及物种
WB 咨询技术 Human,Mouse,Rat
IF 咨询技术 Human,Mouse,Rat
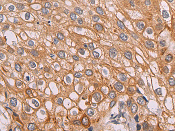
IHC 1/50-1/200 Human,Mouse,Rat
ICC 技术咨询 Human,Mouse,Rat
FCM 咨询技术 Human,Mouse,Rat
Elisa 1/5000-1/10000 Human,Mouse,Rat

产品详情

AliasesHE5; CDW52; EDDM5
Host/IsotypeRabbit IgG
Antibody TypePrimary antibody
StorageStore at 4°C short term. Aliquot and store at -20°C long term. Avoid freeze/thaw cycles.
Species ReactivityHuman
ImmunogenSynthetic peptide of human CD52
FormulationPurified antibody in PBS with 0.05% sodium azide and 50% glycerol.

+ +

参考文献

以下是关于CD52抗体的3篇经典文献及其简要摘要:

---

1. **文献名称**: *Campath-1H, a humanized monoclonal antibody (alemtuzumab) for the treatment of lymphoid malignancies*

**作者**: Hale, G., et al.

**摘要**: 本文介绍了Campath-1H(阿伦单抗)的开发及早期临床应用,这是一种人源化抗CD52单克隆抗体。研究显示其对难治性慢性淋巴细胞白血病(CLL)患者具有显著疗效,通过靶向CD52高表达的淋巴细胞诱导细胞溶解。

---

2. **文献名称**: *Alemtuzumab vs. interferon beta-1a in early multiple sclerosis*

**作者**: Coles, A.J., et al.

**摘要**: 该III期临床试验比较了阿伦单抗与干扰素β-1a治疗早期复发性多发性硬化症(MS)的效果。结果显示,阿伦单抗显著降低疾病复发率和残疾进展风险,但伴随自身免疫副作用(如甲状腺疾病)。

---

3. **文献名称**: *CD52 is a novel costimulatory molecule for regulation of T cell function*

**作者**: Watanabe, T., et al.

**摘要**: 本文揭示了CD52分子的新功能,发现其可通过与Siglec-10受体相互作用抑制T细胞活化。抗CD52抗体(如阿伦单抗)可能通过清除调节性T细胞和增强效应T细胞功能发挥治疗作用,解释了其在自身免疫病中的疗效。

---

如需扩展阅读,可参考《Blood》和《NEJM》相关临床研究。建议通过PubMed或Google Scholar获取全文。

背景信息

CD52 is a small, glycosylphosphatidylinositol (GPI)-anchored cell surface glycoprotein (21–28 kDa) expressed abundantly on immune cells, including T and B lymphocytes, monocytes, macrophages, and eosinophils. Initially identified in the 1980s, its exact physiological role remains unclear, though it may modulate cell signaling and adhesion. CD52 became a therapeutic target due to its dense expression on malignant lymphocytes in chronic lymphocytic leukemia (CLL) and certain lymphomas.

The anti-CD52 antibody alemtuzumab (Campath-1H), a humanized monoclonal antibody, was developed in the 1990s. It binds CD52. triggering antibody-dependent cellular cytotoxicity (ADCC) and complement-mediated lysis, depleting target cells. Approved in 2001 for CLL, alemtuzumab later gained attention for treating relapsing-remitting multiple sclerosis (MS) by resetting the immune system through transient lymphocyte depletion.

Despite efficacy, alemtuzumab’s use is limited by significant side effects, including increased infection risk and secondary autoimmune disorders (e.g., thyroid dysfunction). Research continues to explore CD52’s role in immune regulation, including its soluble form and interactions with innate immune cells. Recent studies also investigate repurposing CD52-targeting antibodies in transplantation and autoimmune diseases, balancing therapeutic benefits with immune modulation risks.

客户数据及评论

折叠内容

大包装询价

×