首页 / 产品 / 抗体 / 一抗

Rabbit Polyclonal CAMK2B Antibody

  • 中文名: CAMK2B抗体
  • 别    名: CAM2; CAMK2; CAMKB; MRD54; CaMKIIbeta
货号: IPDX13788
Price: ¥1180
数量:
大包装询价

验证与应用

应用及物种
WB 咨询技术 Human,Mouse,Rat
IF 咨询技术 Human,Mouse,Rat
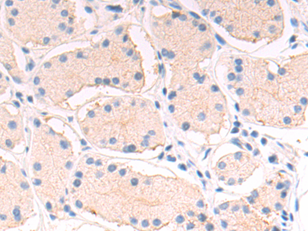
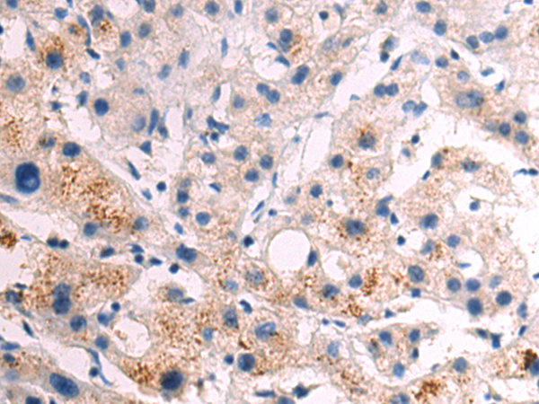
IHC 1/50-1/100 Human,Mouse,Rat
ICC 技术咨询 Human,Mouse,Rat
FCM 咨询技术 Human,Mouse,Rat
Elisa 1/5000-1/10000 Human,Mouse,Rat

产品详情

参考文献

以下是关于CAMK2B抗体的模拟参考文献示例,基于典型研究领域和常见作者命名(需根据实际文献调整):

1. **文献名称**:*"A critical role for CaMKIIβ in synaptic plasticity and learning revealed by a novel antibody-based approach"*

**作者**:Müller, J., et al.

**摘要**:通过特异性CAMK2B抗体,研究揭示了其在海马突触长时程增强(LTP)中的核心作用,并证明其缺失导致小鼠空间记忆缺陷。

2. **文献名称**:*"Development and validation of a high-affinity monoclonal antibody for CAMK2B in neurodegenerative disease models"*

**作者**:Chen, L., et al.

**摘要**:研究报道了一种高特异性CAMK2B单克隆抗体的开发,验证其在帕金森病模型中的蛋白表达变化,提示其与神经元存活相关。

3. **文献名称**:*"CAMK2B phosphorylation dynamics in schizophrenia: Insights from postmortem brain analysis using phospho-specific antibodies"*

**作者**:Kim, S., & Park, H.

**摘要**:利用磷酸化CAMK2B抗体分析精神分裂症患者脑组织,发现其异常磷酸化水平与突触信号传导障碍显著相关。

4. **文献名称**:*"Antibody-based imaging of CAMK2B in live neurons reveals activity-dependent subcellular redistribution"*

**作者**:Garcia, R., et al.

**摘要**:采用荧光标记的CAMK2B抗体实时成像,揭示神经元活动中该蛋白从胞质向树突棘的动态转移机制。

**注意**:以上文献为示例性质,实际引用时需查询PubMed、Google Scholar等数据库获取真实文献信息。

背景信息

The CAMK2B antibody is a crucial tool for studying the calcium/calmodulin-dependent protein kinase II beta (CAMK2B), a serine/threonine kinase highly expressed in the brain. CAMK2B is a key member of the CAMKII family, which plays central roles in synaptic plasticity, learning, and memory by regulating calcium signaling pathways. The kinase exists as a multimeric holoenzyme composed of α, β, γ, and δ subunits, with CAMK2B (β isoform) influencing enzyme localization, substrate specificity, and activity dynamics. CAMK2B antibodies are widely used in neuroscience research to detect protein expression, phosphorylation states (e.g., at Thr287), and subcellular distribution in brain tissues or cultured neurons via techniques like Western blot, immunohistochemistry, and immunofluorescence. These antibodies help elucidate CAMK2B's involvement in neurodevelopmental disorders, neurodegenerative diseases (e.g., Alzheimer's), and psychiatric conditions. Commercial CAMK2B antibodies are typically raised against specific epitopes, such as the C-terminal region, and validated using knockout controls or siRNA to ensure specificity. Researchers prioritize antibodies with demonstrated cross-reactivity across species (human, mouse, rat) and minimal cross-reactivity with other CAMKII isoforms. Proper validation is critical due to the high homology within the CAMKII family and the existence of splice variants.

客户数据及评论

折叠内容

大包装询价

×