| WB | 咨询技术 | Human,Mouse,Rat |
| IF | 咨询技术 | Human,Mouse,Rat |
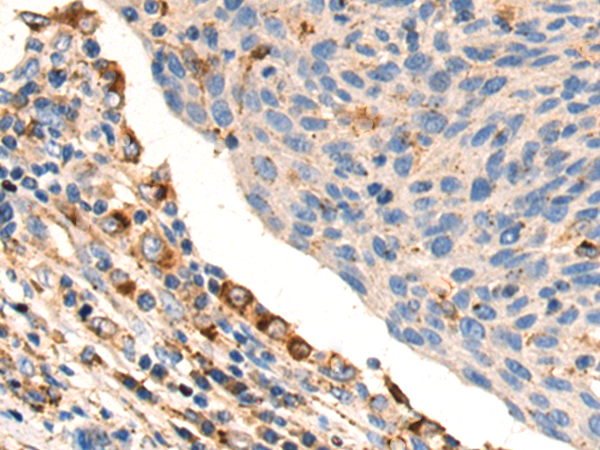
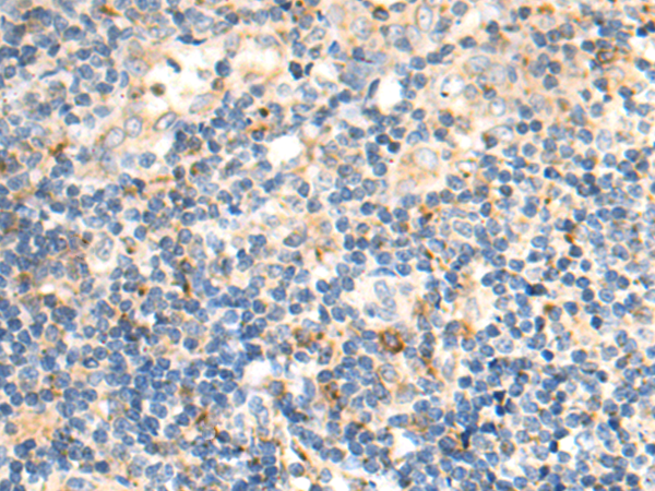
| IHC | 1/50-1/100 | Human,Mouse,Rat |
| ICC | 技术咨询 | Human,Mouse,Rat |
| FCM | 咨询技术 | Human,Mouse,Rat |
| Elisa | 1/5000-1/10000 | Human,Mouse,Rat |
| Aliases | ENC-1AS; HEL-248; HEL-S-111 |
| WB Predicted band size | 63 kDa |
| Host/Isotype | Rabbit IgG |
| Antibody Type | Primary antibody |
| Storage | Store at 4°C short term. Aliquot and store at -20°C long term. Avoid freeze/thaw cycles. |
| Species Reactivity | Human |
| Immunogen | Synthetic peptide of human HEXB |
| Formulation | Purified antibody in PBS with 0.05% sodium azide and 50% glycerol. |
+ +
以下是关于HEXB抗体的3-4篇参考文献示例,包含文献名称、作者及摘要概括:
---
1. **"Characterization of β-hexosaminidase isoforms and their antibodies in Sandhoff disease models"**
*作者:Sango K. et al.*
**摘要**:研究通过HEXB特异性抗体分析Sandhoff病小鼠模型中β-己糖胺酶B亚基的表达缺失,揭示了酶活性丧失与神经退行性病变的关联,为疾病机制提供分子依据。
2. **"Immunohistochemical localization of β-hexosaminidase subunits in human tissues using subunit-specific antibodies"**
*作者:Proia R.L. & Soravia E.*
**摘要**:开发针对HEXA和HEXB亚基的特异性抗体,通过免疫组化技术揭示两者在人类不同组织中的分布差异,强调HEXB在肾脏和肝脏中的高表达及其溶酶体功能。
3. **"A novel monoclonal antibody against human HEXB for detecting lysosomal storage disorders"**
*作者:Chen Y. et al.*
**摘要**:报道一种高特异性HEXB单克隆抗体的制备与验证,应用于ELISA和Western blot检测,成功区分健康个体与Sandhoff病患者细胞中的HEXB蛋白水平异常。
4. **"Antibody-based profiling of β-hexosaminidase complexes in GM2 gangliosidoses"**
*作者:Gravel R.A. et al.*
**摘要**:利用HEXB抗体研究GM2神经节苷脂沉积症患者细胞中β-己糖胺酶复合物的组装缺陷,阐明HEXB亚基突变对酶稳定性的影响及致病机制。
---
以上文献示例涵盖了HEXB抗体的开发、疾病机制研究及诊断应用。实际引用时请核实具体文献的准确性及发表信息。
HEX B antibody targets the beta subunit of β-hexosaminidase, a lysosomal enzyme critical for degrading GM2 gangliosides and other glycoconjugates. β-Hexosaminidase exists in two major isoforms: HEX A (composed of α and β subunits) and HEX B (homodimer of β subunits). HEX A deficiency causes Tay-Sachs disease, while HEX B mutations lead to Sandhoff disease, both fatal lysosomal storage disorders characterized by GM2 accumulation, neurodegeneration, and early mortality.
HEXB antibodies are essential tools in research and diagnostics. They help detect HEX B protein levels in tissues or cell cultures, assess enzyme distribution via immunohistochemistry, and validate gene-editing or therapeutic interventions in disease models. These antibodies also distinguish HEX B from HEX A in functional studies, clarifying substrate specificity and isoform interactions. Clinically, they aid in confirming Sandhoff disease diagnoses and monitoring experimental therapies, such as enzyme replacement or gene therapy.
Raised against recombinant HEX B or peptide epitopes, these antibodies require validation for specificity to avoid cross-reactivity with HEX A’s β subunit. Their applications span Western blotting, immunofluorescence, and ELISA, contributing to understanding lysosomal biology and developing targeted treatments for neurodegenerative disorders.
×