| WB | 咨询技术 | Human,Mouse,Rat |
| IF | 咨询技术 | Human,Mouse,Rat |
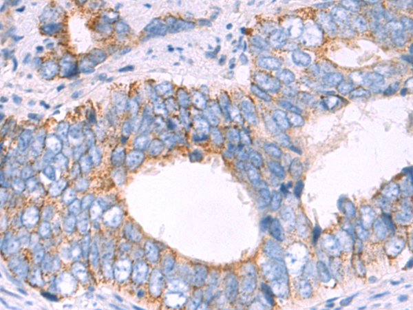
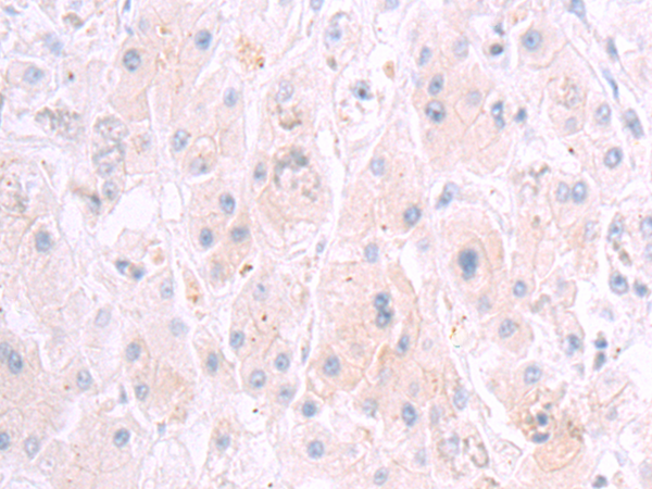
| IHC | 1/50-1/200 | Human,Mouse,Rat |
| ICC | 技术咨询 | Human,Mouse,Rat |
| FCM | 咨询技术 | Human,Mouse,Rat |
| Elisa | 1/5000-1/10000 | Human,Mouse,Rat |
| WB Predicted band size | 55 kDa |
| Host/Isotype | Rabbit IgG |
| Antibody Type | Primary antibody |
| Storage | Store at 4°C short term. Aliquot and store at -20°C long term. Avoid freeze/thaw cycles. |
| Species Reactivity | Human, Mouse, Rat |
| Immunogen | Synthetic peptide of human GABRA3 |
| Formulation | Purified antibody in PBS with 0.05% sodium azide and 50% glycerol. |
+ +
以下是3篇关于GABRA3抗体的代表性文献及其摘要概括:
---
1. **文献名称**: *"Selective alterations in GABAA receptor subtypes in human temporal lobe epilepsy"*
**作者**: Loup F. et al.
**摘要**: 该研究使用GABRA3特异性抗体进行免疫组化分析,发现颞叶癫痫患者海马区GABAA受体α3亚基表达显著下调,提示其在癫痫病理中的调节作用可能与抑制性神经传递异常相关。
---
2. **文献名称**: *"GABRA3 expression promotes glioblastoma cell migration and invasion"*
**作者**: Yang L. et al.
**摘要**: 通过Western blot和免疫荧光技术结合GABRA3抗体,研究发现胶质母细胞瘤细胞中GABRA3高表达可通过激活PI3K/AKT通路促进肿瘤细胞迁移和侵袭,为靶向治疗提供潜在靶点。
---
3. **文献名称**: *"Developmental regulation of GABAergic gene expression in the prefrontal cortex"*
**作者**: Duncan CE. et al.
**摘要**: 利用GABRA3抗体对小鼠前额叶皮层进行发育阶段分析,发现α3亚基在出生后早期表达逐渐增加,与突触可塑性关键期相关,提示其在神经发育障碍中的潜在作用。
---
4. **文献名称**: *"Antibody validation for GABA receptor subunits in primate brain"*
**作者**: Jansen LAB. et al.
**摘要**: 该文献系统验证了GABRA3抗体在灵长类脑组织中的特异性,通过免疫沉淀和质谱分析确认其结合靶点,为后续神经科学研究提供可靠的抗体使用依据。
---
这些文献涵盖了GABRA3抗体在疾病机制研究(癫痫、肿瘤)、神经发育及抗体特异性验证中的典型应用。如需具体文献链接或补充,可进一步说明。
The GABAA receptor alpha-3 subunit (GABRA3) is a critical component of GABAA receptors, ligand-gated chloride channels mediating fast inhibitory neurotransmission in the central nervous system. Encoded by the *GABRA3* gene, this subunit assembles with other subunits (e.g., β, γ) to form functional receptors with distinct pharmacological and electrophysiological properties. GABRA3 is predominantly expressed during early brain development and in specific regions like the thalamus, brainstem, and spinal cord, influencing neuronal excitability, synaptic plasticity, and network oscillations.
Antibodies targeting GABRA3 are essential tools for studying receptor localization, expression patterns, and functional roles. They are widely used in techniques such as immunohistochemistry, Western blotting, and immunofluorescence to map receptor distribution in tissues or assess changes in protein levels under pathological conditions. Dysregulation of GABRA3 has been implicated in neurodevelopmental disorders (e.g., autism spectrum disorders), epilepsy, and chronic pain syndromes, making these antibodies valuable for exploring disease mechanisms. Additionally, research links GABRA3 polymorphisms to altered receptor function and drug responses, highlighting its therapeutic relevance. However, antibody specificity remains a challenge due to structural similarities among GABAA receptor subunits, necessitating rigorous validation. Overall, GABRA3 antibodies facilitate advances in understanding inhibitory signaling and its implications in health and disease.
×