| WB | 咨询技术 | Human,Mouse,Rat |
| IF | 咨询技术 | Human,Mouse,Rat |
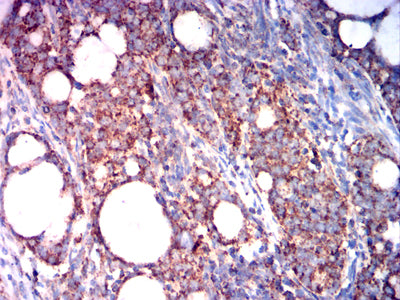
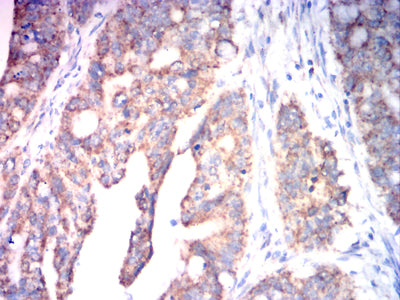
| IHC | 1/50-1/200 | Human,Mouse,Rat |
| ICC | 技术咨询 | Human,Mouse,Rat |
| FCM | 咨询技术 | Human,Mouse,Rat |
| Elisa | 1/5000-1/10000 | Human,Mouse,Rat |
| Aliases | EMA; GA2; MADD |
| Entrez GeneID | 2108 |
| clone | 2F8A5 |
| WB Predicted band size | 35kDa |
| Host/Isotype | Mouse IgG2a |
| Antibody Type | Primary antibody |
| Storage | Store at 4°C short term. Aliquot and store at -20°C long term. Avoid freeze/thaw cycles. |
| Species Reactivity | Human |
| Immunogen | Purified recombinant fragment of human ETFA (AA: 134-333) expressed in E. Coli. |
| Formulation | Purified antibody in PBS with 0.05% sodium azide |
+ +
以下是关于ANGPTL2抗体的3篇代表性文献摘要:
---
1. **文献名称**:*ANGPTL2 promotes adipose tissue macrophage and T lymphocyte accumulation and accelerates atherosclerotic plaque development*
**作者**:Endo, M., et al.
**摘要**:该研究利用ANGPTL2特异性单克隆抗体,在小鼠模型中证实ANGPTL2通过招募巨噬细胞和T细胞加剧动脉粥样硬化斑块形成,抗体阻断可显著抑制炎症反应和斑块进展。
2. **文献名称**:*ANGPTL2 is a critical mediator of inflammation in chronic tissue repair and tumorigenesis*
**作者**:Tabata, M., et al.
**摘要**:研究发现ANGPTL2在慢性炎症和肿瘤微环境中高表达,使用中和抗体抑制其活性可减少炎症因子释放并抑制肿瘤血管生成,提示其作为治疗靶点的潜力。
3. **文献名称**:*Neutralizing antibody against ANGPTL2 improves glucose metabolism and attenuates adipose tissue inflammation in obese mice*
**作者**:Hata, S., et al.
**摘要**:通过注射抗ANGPTL2抗体阻断其信号通路,显著改善高脂饮食诱导的肥胖小鼠胰岛素抵抗和脂肪组织炎症,证明其在代谢疾病中的治疗价值。
---
以上文献涵盖了ANGPTL2抗体在动脉粥样硬化、肿瘤及代谢疾病中的机制研究和治疗应用。如需具体期刊信息或发表年份,可进一步补充。
ANGPTL2 (angiopoietin-like protein 2) is a secreted glycoprotein belonging to the angiopoietin-like family, initially identified for its role in angiogenesis and inflammation. It regulates vascular integrity, lipid metabolism, and tissue remodeling by interacting with integrin receptors and modulating downstream signaling pathways, including NF-κB and mTOR. Elevated ANGPTL2 expression is associated with chronic inflammatory diseases, metabolic disorders, cancer progression, and cardiovascular pathologies, where it promotes inflammation, fibrosis, and cellular senescence.
ANGPTL2 antibodies are tools developed to detect, quantify, or inhibit the protein’s activity in research and therapeutic contexts. In research, these antibodies enable the study of ANGPTL2’s spatial expression and mechanistic roles in disease models via techniques like Western blot, immunohistochemistry, and ELISA. Therapeutically, neutralizing ANGPTL2 antibodies are explored for their potential to block pathological interactions, such as tumor microenvironment modulation or atherosclerotic plaque formation. Preclinical studies suggest that targeting ANGPTL2 could mitigate inflammation-driven tissue damage and cancer metastasis. However, clinical applications remain under investigation, with challenges including optimizing specificity and delivery. Overall, ANGPTL2 antibodies serve as critical reagents for unraveling the protein’s biology and advancing targeted therapies for conditions linked to its dysregulation.
×