| WB | 咨询技术 | Human,Mouse,Rat |
| IF | 咨询技术 | Human,Mouse,Rat |
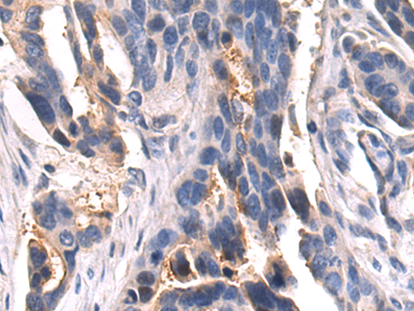
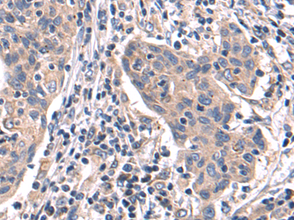
| IHC | 1/50-1/200 | Human,Mouse,Rat |
| ICC | 技术咨询 | Human,Mouse,Rat |
| FCM | 咨询技术 | Human,Mouse,Rat |
| Elisa | 1/5000-1/10000 | Human,Mouse,Rat |
| Aliases | FBP; FOLR; NCFTD; FRalpha |
| WB Predicted band size | 30 kDa |
| Host/Isotype | Rabbit IgG |
| Antibody Type | Primary antibody |
| Storage | Store at 4°C short term. Aliquot and store at -20°C long term. Avoid freeze/thaw cycles. |
| Species Reactivity | Human, Mouse |
| Immunogen | Synthetic peptide of human FOLR1 |
| Formulation | Purified antibody in PBS with 0.05% sodium azide and 50% glycerol. |
+ +
以下是3篇关于FOLR1抗体的代表性文献概览:
---
1. **标题**:*"Folate receptor alpha as a therapeutic target in ovarian cancer"*
**作者**:Kelemen LE, et al.
**摘要**:研究探讨了FOLR1在卵巢癌细胞中的高表达特性,并评估了靶向FOLR1的单克隆抗体在药物递送系统中的应用。结果显示,FOLR1抗体偶联药物可显著增强化疗药物的肿瘤靶向性,减少对正常组织的毒性。
---
2. **标题**:*"Autoantibodies to folate receptor alpha during early pregnancy and risk of miscarriage"*
**作者**:Rothenberg SP, et al.
**摘要**:该文献发现部分孕妇体内存在抗FOLR1的自身抗体,这些抗体会阻断叶酸转运至胎盘,导致胚胎发育异常。研究提示检测FOLR1抗体可能作为预测流产风险的生物标志物。
---
3. **标题**:*"Development of a novel ELISA for detection of folate receptor autoantibodies in cerebral folate deficiency syndrome"*
**作者**:Grapp M, et al.
**摘要**:研究开发了一种基于FOLR1蛋白的高灵敏度ELISA方法,用于检测脑脊液中的FOLR1自身抗体,为诊断儿童脑叶酸缺乏症提供了可靠的实验室工具。
---
**备注**:以上文献涉及FOLR1抗体在癌症靶向治疗、妊娠并发症及神经疾病中的不同应用场景,涵盖治疗开发、病理机制和诊断技术方向。如需具体文献来源,建议通过PubMed或Sci-Hub输入标题查询全文。
Folate receptor alpha (FOLR1), also known as folate binding protein, is a glycosylphosphatidylinositol (GPI)-anchored cell surface receptor that binds folate and reduced folate derivatives with high affinity. It plays a critical role in cellular folate uptake, particularly in tissues with high folate demand, such as the kidneys, placenta, and certain epithelial cells. FOLR1 is overexpressed in many cancers, including ovarian, lung, breast, and endometrial carcinomas, while showing limited expression in normal tissues. This selective overexpression makes it a promising therapeutic target and diagnostic marker for cancer.
FOLR1-targeting antibodies are designed to exploit this differential expression. In diagnostics, FOLR1 antibodies are used in immunohistochemistry (IHC) to detect FOLR1 levels in tumor biopsies, aiding in patient stratification for targeted therapies. Therapeutically, anti-FOLR1 antibodies are engineered as antibody-drug conjugates (ADCs) or bispecific molecules to deliver cytotoxic agents or immune-modulating therapies directly to cancer cells. For example, farletuzumab (a humanized anti-FOLR1 monoclonal antibody) and mirvetuximab soravtansine (an ADC) have shown clinical potential in treating FOLR1-high ovarian cancers. Research also explores FOLR1’s role in neurological disorders, as its dysfunction may impair folate transport to the brain, contributing to conditions like cerebral folate deficiency. Current challenges include optimizing antibody specificity and addressing heterogeneous FOLR1 expression in tumors.
×