首页 / 产品 / 抗体 / 一抗

Mouse Monoclonal ING1 Antibody

  • 中文名: ING1抗体
  • 别    名: nan
货号: IPDX15052
Price: ¥1280
数量:
大包装询价

验证与应用

应用及物种
WB 咨询技术 Human,Mouse,Rat
IF 咨询技术 Human,Mouse,Rat
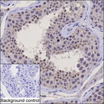
IHC 1/100-1/200 Human,Mouse,Rat
ICC 技术咨询 Human,Mouse,Rat
FCM 咨询技术 Human,Mouse,Rat
Elisa 咨询技术 Human,Mouse,Rat

产品详情

Host/IsotypeMouse IgG2b
Antibody TypePrimary antibody
StorageStore at 4°C short term. Aliquot and store at -20°C long term. Avoid freeze/thaw cycles.
Species ReactivityHuman
ImmunogenPurified recombinant fragment of human ING1
FormulationPurified antibody in PBS with 0.05% sodium azide

+ +

参考文献

以下是关于 **ING1抗体** 的3篇参考文献及其摘要内容的简要概括:

---

1. **文献名称**:*A candidate tumor suppressor gene at human chromosome 13q14.3*

**作者**:Garkavtsev, I., et al.

**摘要**:该研究克隆了 **p33ING1**(ING1的一种亚型),发现其表达缺失与多种肿瘤相关。通过免疫组化(使用ING1抗体)证实,ING1在正常组织中高表达,而在肿瘤组织中显著下调,提示其作为肿瘤抑制基因的功能。

2. **文献名称**:*ING1 regulates cell cycle via targeting p21 and cyclin D1*

**作者**:Toyama, T., et al.

**摘要**:通过Western blot(使用ING1抗体)和免疫共沉淀实验,研究发现ING1通过调控p21和cyclin D1的表达参与细胞周期停滞,并依赖p53通路抑制肿瘤细胞增殖。

3. **文献名称**:*Loss of ING1 expression correlates with poor prognosis in gastric cancer*

**作者**:Kumamoto, K., et al.

**摘要**:利用ING1抗体对胃癌组织进行免疫组化分析,发现ING1低表达与肿瘤侵袭性、转移及患者生存率下降显著相关,提示ING1作为胃癌预后的潜在标志物。

---

以上文献均涉及ING1抗体在分子机制或临床研究中的应用,涵盖功能验证、信号通路及临床相关性分析。如需具体年份或期刊信息可进一步补充。

背景信息

The ING1 (Inhibitor of Growth 1) antibody is a research tool used to detect and study the ING1 protein, a tumor suppressor involved in epigenetic regulation, cell cycle control, and apoptosis. Discovered in 1996. ING1 belongs to the ING family of proteins that interact with histone-modifying complexes, such as histone acetyltransferases (HATs) and histone deacetylases (HDACs), to modulate chromatin structure and gene expression. ING1 exists in multiple isoforms, with p33ING1 and p47ING1 being the most studied, differing in subcellular localization and function. Dysregulation of ING1 is linked to cancer progression, neurodegenerative diseases, and aging. Reduced ING1 expression correlates with poor prognosis in various cancers, including breast, colon, and lymphoid malignancies, due to its role in promoting apoptosis and maintaining genomic stability via p53-dependent and independent pathways. ING1 antibodies are widely used in techniques like Western blotting, immunohistochemistry (IHC), and immunofluorescence (IF) to assess protein expression levels, subcellular distribution, and interactions in experimental models. They aid in elucidating ING1's involvement in DNA repair, senescence, and chromatin remodeling. However, some studies report conflicting roles (tumor-suppressive vs. oncogenic), highlighting context-dependent regulatory mechanisms. Commercially available ING1 antibodies vary in specificity, targeting different isoforms or post-translational modifications, requiring careful validation for experimental accuracy.

客户数据及评论

折叠内容

大包装询价

×