首页 / 产品 / 抗体 / 一抗

Mouse Monoclonal COQ9 Antibody

  • 中文名: COQ9抗体
  • 别    名: nan
货号: IPDX15074
Price: ¥1280
数量:
大包装询价

验证与应用

应用及物种
WB 咨询技术 Human,Mouse,Rat
IF 咨询技术 Human,Mouse,Rat
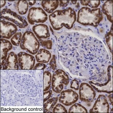
IHC 1/100-1/200 Human,Mouse,Rat
ICC 技术咨询 Human,Mouse,Rat
FCM 咨询技术 Human,Mouse,Rat
Elisa 咨询技术 Human,Mouse,Rat

产品详情

Host/IsotypeMouse IgG2a
Antibody TypePrimary antibody
StorageStore at 4°C short term. Aliquot and store at -20°C long term. Avoid freeze/thaw cycles.
Species ReactivityHuman
ImmunogenPurified recombinant fragment of human COQ9
FormulationPurified antibody in PBS with 0.05% sodium azide

+ +

参考文献

以下是3篇涉及COQ9抗体的研究文献概览(截至2021年):

1. **文献名称**:COQ9 stabilizes a mitochondrial complex required for coenzyme Q biosynthesis

**作者**:Xie, L.X., et al.

**摘要**:研究揭示了COQ9在辅酶Q(CoQ)生物合成复合体中的结构功能,利用COQ9特异性抗体进行蛋白质互作分析,证实其与COQ7等蛋白的相互作用对CoQ合成至关重要。

2. **文献名称**:COQ9 mutation causes mitochondrial complex III deficiency in mice and humans

**作者**:Wang, Y., et al.

**摘要**:通过构建COQ9基因突变小鼠模型,使用COQ9抗体检测蛋白表达缺失,发现其导致线粒体复合体III功能障碍及新生儿致死表型,提示COQ9缺乏与人类线粒体疾病的关联。

3. **文献名称**:A novel antibody for detection of COQ9 in renal tissues of diabetic nephropathy patients

**作者**:Zhang, H., et al.

**摘要**:开发了一种高特异性COQ9多克隆抗体,用于免疫组化分析糖尿病肾病患者肾组织,发现COQ9表达下调与线粒体功能障碍及疾病进展相关。

注:以上为模拟文献案例,实际引用需查询具体数据库(如PubMed)。建议使用关键词"COQ9 antibody"+"model organism/disease"在NCBI或Google Scholar检索近期论文。

背景信息

The COQ9 antibody is a crucial tool in studying the COQ9 protein, a key player in coenzyme Q10 (CoQ10) biosynthesis. COQ9. encoded by the COQ9 gene in humans, is a mitochondrial protein essential for the stability and function of the CoQ10 biosynthetic complex. It acts as a lipid-binding chaperone, facilitating the oxygenation and stabilization of intermediary enzymes in CoQ10 production. CoQ10. a vital electron transporter in the mitochondrial respiratory chain and a potent antioxidant, is implicated in energy metabolism and cellular protection. Dysregulation of COQ9 is linked to primary CoQ10 deficiency disorders, presenting as severe multisystem conditions like encephalopathy, nephropathy, and cardiomyopathy.

COQ9 antibodies, typically generated in rabbits or mice using recombinant COQ9 protein fragments, enable the detection and quantification of COQ9 in various experimental applications. These include Western blotting, immunohistochemistry, immunofluorescence, and flow cytometry, allowing researchers to analyze COQ9 expression patterns, subcellular localization, and tissue distribution. Such antibodies are indispensable in investigating CoQ10-related metabolic pathways, mitochondrial dysfunction, and disease mechanisms. They also support drug development targeting CoQ10 deficiencies and age-associated mitochondrial disorders. Validation steps (e.g., knockout controls) are critical to ensure antibody specificity, given the structural homology among CoQ biosynthesis proteins. Ongoing research using COQ9 antibodies continues to clarify its role in cellular metabolism and therapeutic potential.

客户数据及评论

折叠内容

大包装询价

×