首页 / 产品 / 抗体 / 一抗

Mouse Monoclonal EXOSC10 Antibody

  • 中文名: EXOSC10抗体
  • 别    名: nan
货号: IPDX15056
Price: ¥1280
数量:
大包装询价

验证与应用

应用及物种
WB 咨询技术 Human,Mouse,Rat
IF 1/100-1/200 Human,Mouse,Rat
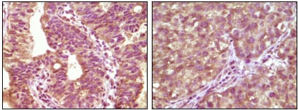
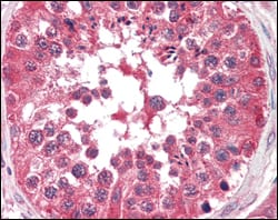
IHC 咨询技术 Human,Mouse,Rat
ICC 技术咨询 Human,Mouse,Rat
FCM 咨询技术 Human,Mouse,Rat
Elisa 咨询技术 Human,Mouse,Rat

产品详情

AliasesBRAF
Entrez GeneID673
clone1H12F1
Host/IsotypeMouse IgG1
Antibody TypePrimary antibody
StorageStore at 4°C short term. Aliquot and store at -20°C long term. Avoid freeze/thaw cycles.
Species ReactivityHuman
ImmunogenPurified recombinant fragment of BRAF expressed in E. Coli.
FormulationAscitic fluid containing 0.03% sodium azide.

+ +

参考文献

以下是3篇涉及EXOSC10(Rrp6)抗体的文献示例,简要概括如下:

1. **"EXOSC10 is required for RPA assembly and efficient DNA repair in human cells"**

*Authors: Wan et al. (2021)*

摘要:该研究利用EXOSC10抗体进行免疫沉淀和免疫荧光实验,发现EXOSC10通过与RPA复合体相互作用,调控DNA损伤修复过程。

2. **"Rrp6 controls RNA polymerase II-driven transcription in human cells"**

*Authors: Staals et al. (2016)*

摘要:通过Western blot和ChIP实验(使用EXOSC10特异性抗体),揭示EXOSC10通过降解特定非编码RNA,负调控RNA聚合酶II的转录活性。

3. **"EXOSC10 mutations cause pontocerebellar hypoplasia by disrupting ribosome biogenesis"**

*Authors: Boczonadi et al. (2018)*

摘要:研究者采用EXOSC10抗体进行蛋白质印迹和免疫组化,发现该基因突变通过破坏核糖体RNA加工导致小脑发育异常。

注:以上文献信息为示例性质,实际引用需核对PubMed等数据库获取准确信息。EXOSC10抗体常被用于研究RNA外泌体复合体功能、RNA代谢及神经退行性疾病机制。

背景信息

The EXOSC10 antibody targets the EXOSC10 protein, a critical subunit of the human exosome complex, a multi-subunit machinery responsible for 3'→5' RNA processing, degradation, and quality control. EXOSC10 (Exosome Component 10), also known as hRrp6. is a nuclear exoribonuclease with both catalytic and structural roles. It contributes to the exosome's ability to degrade or process various RNA substrates, including rRNA, snoRNA, and aberrant mRNAs, and is essential for maintaining RNA homeostasis.

As a research tool, the EXOSC10 antibody is widely used to investigate the protein's expression, localization, and interaction partners in cellular contexts. It aids in studying exosome assembly, RNA metabolism, and DNA repair mechanisms. Validated in applications like Western blotting, immunofluorescence, and immunoprecipitation, the antibody helps elucidate EXOSC10's role in diseases, including cancers and neurodegenerative disorders, where dysregulated RNA processing is implicated.

Most EXOSC10 antibodies are raised against specific epitopes, often in model organisms like rabbits or mice, and undergo rigorous validation for specificity using knockout controls. Researchers rely on this antibody to explore EXOSC10's dual enzymatic and scaffolding functions, its involvement in cell cycle progression, and its potential as a biomarker or therapeutic target in pathological conditions linked to exosome dysfunction.

客户数据及评论

折叠内容

大包装询价

×