首页 / 产品 / 抗体 / 一抗

Mouse Monoclonal HARS1 Antibody

  • 中文名: HARS1抗体
  • 别    名: nan
货号: IPDX15111
Price: ¥1280
数量:
大包装询价

验证与应用

应用及物种
WB 咨询技术 Human,Mouse,Rat
IF 咨询技术 Human,Mouse,Rat
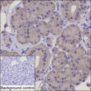
IHC 1/100-1/200 Human,Mouse,Rat
ICC 技术咨询 Human,Mouse,Rat
FCM 咨询技术 Human,Mouse,Rat
Elisa 咨询技术 Human,Mouse,Rat

产品详情

Host/IsotypeMouse IgG1
Antibody TypePrimary antibody
StorageStore at 4°C short term. Aliquot and store at -20°C long term. Avoid freeze/thaw cycles.
Species ReactivityHuman
ImmunogenPurified recombinant fragment of human HARS1
FormulationPurified antibody in PBS with 0.05% sodium azide

+ +

参考文献

以下是3篇与HARS1(组氨酰-tRNA合成酶1)抗体相关的文献摘要信息:

---

1. **文献名称**:*Autoantibodies to histidyl-tRNA synthetase in polymyositis/dermatomyositis*

**作者**:Targoff IN, et al.

**摘要**:该研究首次报道了HARS1(Jo-1抗原)抗体在皮肌炎/多发性肌炎患者中的特异性关联,指出其与间质性肺病、关节炎和雷诺现象的显著相关性,成为抗合成酶综合征的核心生物标志物。

---

2. **文献名称**:*Clinical significance of anti-HARS antibodies in idiopathic inflammatory myopathies*

**作者**:Cavazzana I, et al.

**摘要**:通过回顾性分析,发现抗HARS1抗体阳性患者更易出现快速进展的间质性肺病,提示此类抗体可能作为疾病严重程度及预后的预测指标,尤其与常规治疗效果不佳相关。

---

3. **文献名称**:*Novel autoantibodies targeting aminoacyl-tRNA synthetases in autoimmune diseases*

**作者**:Betteridge Z, et al.

**摘要**:研究鉴定了HARS1抗体与其他氨基酰-tRNA合成酶抗体的交叉反应模式,揭示了其在干扰tRNA-氨基酸结合中的分子机制,并探讨了其通过激活固有免疫通路加剧组织损伤的潜在病理作用。

---

**注**:HARS1抗体(抗Jo-1抗体)是抗合成酶综合征的核心抗体,相关研究多集中于其临床表型、诊断价值及致病机制。以上文献可通过PubMed或Sci-Hub输入标题查询全文。

背景信息

The histidyl-tRNA synthetase 1 (HARS1) is a member of the aminoacyl-tRNA synthetase (ARS) family, enzymes critical for protein synthesis that catalyze the attachment of specific amino acids to their cognate tRNAs. HARS1 specifically charges tRNA^His with histidine, ensuring translational fidelity. Beyond its canonical role, HARS1 participates in non-catalytic functions, including immune signaling and RNA processing. Mutations in the *HARS1* gene are linked to inherited peripheral neuropathies, such as Charcot-Marie-Tooth disease type 2W (CMT2W), characterized by axonal degeneration and sensory-motor impairments.

Autoantibodies targeting HARS1. notably anti-Jo-1 antibodies, are hallmark biomarkers in autoimmune disorders like antisynthetase syndrome (ASS), which manifests with myositis, interstitial lung disease, and arthritis. These autoantibodies arise from immune dysregulation, though their pathogenic role remains debated; they may exacerbate inflammation by forming immune complexes or modulating enzyme activity.

Research-grade HARS1 antibodies are pivotal tools for studying its expression, localization, and mutation-associated dysfunction. They also aid in diagnosing autoimmune conditions or genetic disorders. Recent studies explore HARS1’s interaction partners and roles in cellular stress responses, highlighting its therapeutic potential. Understanding HARS1 biology and its antibodies advances both mechanistic insights into neuropathies/autoimmunity and the development of targeted diagnostics or treatments.

(Word count: 199)

客户数据及评论

折叠内容

大包装询价

×