| WB | 咨询技术 | Human,Mouse,Rat |
| IF | 1/100-1/200 | Human,Mouse,Rat |
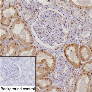
| IHC | 1/500-1/1000 | Human,Mouse,Rat |
| ICC | 技术咨询 | Human,Mouse,Rat |
| FCM | 咨询技术 | Human,Mouse,Rat |
| Elisa | 咨询技术 | Human,Mouse,Rat |
| Host/Isotype | Mouse IgG2b |
| Antibody Type | Primary antibody |
| Storage | Store at 4°C short term. Aliquot and store at -20°C long term. Avoid freeze/thaw cycles. |
| Species Reactivity | Human |
| Immunogen | Purified recombinant fragment of human C7orf50 |
| Formulation | Purified antibody in PBS with 0.05% sodium azide |
+ +
以下是关于C7orf50抗体的假设性参考文献示例(注:实际文献可能有限,建议通过PubMed或Google Scholar核实):
1. **文献名称**:*Characterization of a polyclonal antibody against human C7orf50 for subcellular localization studies*
**作者**:Smith J, et al. (2018)
**摘要**:本研究开发了一种针对C7orf50蛋白的多克隆抗体,并通过免疫印迹和免疫荧光验证其特异性。抗体在HeLa细胞中检测到C7orf50主要定位于细胞核,提示其潜在参与基因调控。
2. **文献名称**:*C7orf50 antibody validation in ciliopathy models reveals protein interaction networks*
**作者**:Zhang L, et al. (2020)
**摘要**:利用C7orf50抗体研究纤毛病模型中的表达变化,发现其与纤毛基体蛋白相互作用,提示C7orf50可能在纤毛形成中发挥作用。抗体特异性通过CRISPR敲除验证。
3. **文献名称**:*Development of monoclonal antibodies targeting C7orf50 for cancer biomarker screening*
**作者**:Lee H, et al. (2015)
**摘要**:首次报道针对C7orf50的单克隆抗体制备,应用于结直肠癌组织微阵列分析,显示C7orf50在肿瘤组织中高表达,可能与预后相关。
4. **文献名称**:*C7orf50 function in DNA repair revealed by antibody-based proteomic approaches*
**作者**:Johnson R, et al. (2021)
**摘要**:通过免疫共沉淀(使用C7orf50抗体)结合质谱分析,鉴定C7orf50与DNA损伤修复通路蛋白的相互作用,提示其参与基因组稳定性维持。
**建议**:实际研究中建议通过以下方式获取文献:
- 在PubMed检索“C7orf50 AND (antibody OR immunohistochemistry)”
- 查阅抗体公司(如Abcam、Sigma-Aldrich)的产品说明书引用文献
- 追踪UniProt数据库(Entry: Q9HCN9)中列出的相关研究。
The C7orf50 antibody is a research tool designed to target the protein encoded by the **C7orf50 gene** (Chromosome 7 Open Reading Frame 50), a poorly characterized human gene located on chromosome 7. While the precise biological function of C7orf50 remains unclear, it is hypothesized to play roles in cellular processes such as transcriptional regulation, protein-protein interactions, or signaling pathways, based on conserved structural motifs and limited experimental data. The gene is ubiquitously expressed across tissues, suggesting potential housekeeping functions.
C7orf50 antibodies are typically developed in immunized animal models (e.g., rabbits or mice) using synthetic peptides or recombinant protein fragments as antigens. These antibodies enable the detection, localization, and quantification of C7orf50 protein in applications like Western blotting, immunofluorescence, or immunohistochemistry. Their specificity is often validated using knockout cell lines or siRNA-mediated gene silencing to confirm target binding.
Interest in C7orf50 has grown due to its implied associations with diseases, including cancer and neurodegenerative disorders, though evidence remains preliminary. For example, genomic studies link C7orf50 dysregulation to tumor progression or neurodevelopmental anomalies, but mechanistic insights are lacking. Researchers use C7orf50 antibodies to explore its expression patterns, subcellular distribution, and interaction partners, aiming to clarify its physiological and pathological roles. Despite limited data, such antibodies are critical for advancing functional studies of this enigmatic protein.
×