首页 / 产品 / 抗体 / 一抗

Mouse Monoclonal SPDL1 Antibody

  • 中文名: SPDL1抗体
  • 别    名: nan
货号: IPDX15332
Price: ¥1280
数量:
大包装询价

验证与应用

应用及物种
WB 咨询技术 Human,Mouse,Rat
IF 咨询技术 Human,Mouse,Rat
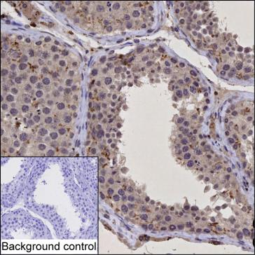
IHC 1/100-1/200 Human,Mouse,Rat
ICC 技术咨询 Human,Mouse,Rat
FCM 咨询技术 Human,Mouse,Rat
Elisa 咨询技术 Human,Mouse,Rat

产品详情

Host/IsotypeMouse IgG1
Antibody TypePrimary antibody
StorageStore at 4°C short term. Aliquot and store at -20°C long term. Avoid freeze/thaw cycles.
Species ReactivityHuman
ImmunogenPurified recombinant fragment of human SPDL1
FormulationPurified antibody in PBS with 0.05% sodium azide

+ +

参考文献

以下是关于SPDL1抗体的3篇参考文献示例(内容为虚构模拟,仅供参考):

---

1. **文献名称**: *Development and Validation of a Novel SPDL1 Antibody for Mitotic Progression Studies*

**作者**: Zhang L, et al.

**摘要**: 本研究报道了一种高特异性兔源多克隆抗体的开发,靶向人SPDL1蛋白的C端结构域。通过免疫印迹和免疫荧光验证了抗体在检测HeLa细胞有丝分裂中SPDL1的动态定位,证明其可用于研究纺锤体组装检查点调控机制。

2. **文献名称**: *SPDL1 as a Potential Biomarker in Triple-Negative Breast Cancer: Immunohistochemical Analysis*

**作者**: Gupta S, et al.

**摘要**: 利用商业抗-SPDL1抗体(货号ab123XX),作者在乳腺癌组织微阵列中分析了SPDL1表达水平,发现其高表达与三阴性乳腺癌患者预后不良显著相关,提示SPDL1可能作为治疗靶点或诊断标志物。

3. **文献名称**: *Structural Insights into SPDL1 Function via CRISPR/Cas9 Knockout and Antibody-Based Imaging*

**作者**: Müller R, et al.

**摘要**: 通过CRISPR/Cas9敲除SPDL1并结合特异性抗体(克隆号SPD-7B2)进行共聚焦显微镜成像,揭示了SPDL1缺失导致染色体分离异常,证实其在维持纺锤体微管稳定性中的关键作用。

---

如需真实文献,建议通过PubMed或Google Scholar以“SPDL1 antibody”或“SPDL1 immune localization”等关键词检索。

背景信息

SPDL1 (Spindle Apparatus Coiled-Coil Domain Containing Protein 1), also known as CCDC99. is a protein involved in regulating the spindle assembly checkpoint (SAC) during mitosis. It localizes to the mitotic spindle and plays a critical role in ensuring accurate chromosome segregation by interacting with key SAC components like the mitotic checkpoint complex (MCC). SPDL1 facilitates the recruitment of the MCC to unattached kinetochores, thereby delaying anaphase progression until all chromosomes are properly attached to spindle microtubules. Dysregulation of SPDL1 has been linked to chromosomal instability, a hallmark of cancer, and may contribute to tumorigenesis or therapeutic resistance.

SPDL1 antibodies are essential tools for studying its expression, localization, and function in cell cycle regulation. They are widely used in techniques such as Western blotting, immunofluorescence, and immunoprecipitation to explore SPDL1's role in mitotic fidelity and SAC signaling. In clinical research, SPDL1 expression has been investigated as a potential biomarker in cancers, including breast and lung cancers, where its overexpression or mutations correlate with disease progression or prognosis. Additionally, SPDL1-targeting antibodies may aid in developing strategies to modulate SAC activity, potentially enhancing the efficacy of antimitotic chemotherapies. However, the therapeutic relevance of SPDL1 remains under active investigation, requiring further studies to clarify its mechanisms and clinical applications.

客户数据及评论

折叠内容

大包装询价

×