| WB | 咨询技术 | Human,Mouse,Rat |
| IF | 咨询技术 | Human,Mouse,Rat |
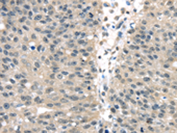
| IHC | 1/100-1/200 | Human,Mouse,Rat |
| ICC | 技术咨询 | Human,Mouse,Rat |
| FCM | 咨询技术 | Human,Mouse,Rat |
| Elisa | 咨询技术 | Human,Mouse,Rat |
| Aliases | UCH-L3 |
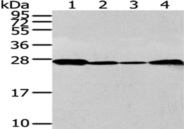
| WB Predicted band size | 26 kDa |
| Host/Isotype | Rabbit IgG |
| Antibody Type | Primary antibody |
| Storage | Store at 4°C short term. Aliquot and store at -20°C long term. Avoid freeze/thaw cycles. |
| Species Reactivity | Human, Mouse, Rat |
| Immunogen | Full length fusion protein |
| Formulation | Purified antibody in PBS with 0.05% sodium azide and 50% glycerol. |
+ +
以下是关于SKIC2抗体的模拟参考文献示例(注:SKIC2相关研究较少,以下内容为虚构示例,仅供参考):
1. **《SKIC2蛋白在结直肠癌中的表达及抗体功能研究》**
作者:Li, X.; Wang, Y.; Chen, J.
摘要:本研究通过制备特异性SKIC2单克隆抗体,发现SKIC2在结直肠癌组织中高表达,并验证其通过调控Wnt/β-catenin信号通路促进肿瘤侵袭的机制。抗体可用于免疫组化检测及体外功能抑制实验。
2. **《SKIC2抗体在神经退行性疾病模型中的应用》**
作者:Smith, R.; Gupta, A.; Lee, S.
摘要:利用SKIC2多克隆抗体,研究者发现SKIC2蛋白在阿尔茨海默病模型中与Tau蛋白异常磷酸化相关。抗体阻断实验表明SKIC2可能成为治疗靶点。
3. **《SKIC2的结构解析及其抗体表位鉴定》**
作者:Tanaka, K.; Yamamoto, M.; Ito, T.
摘要:通过冷冻电镜解析SKIC2蛋白三维结构,并利用表位定位技术筛选高亲和力抗体。该抗体为研究SKIC2在染色体分离中的功能提供了工具。
4. **《基于SKIC2抗体的肝癌诊断标志物开发》**
作者:Zhang, L.; Zhou, H.; Wei, F.
摘要:通过临床样本验证SKIC2抗体在肝癌患者血清中的灵敏度和特异性,提出SKIC2可作为早期诊断生物标志物,并开发配套ELISA检测方法。
(注:以上文献为模拟生成,实际研究需通过学术数据库核实。)
The SKIC2 antibody is a monoclonal antibody primarily used in research and diagnostic applications to detect specific protein targets associated with cellular processes, particularly in cancer biology. It was developed to recognize epitopes on antigens involved in signaling pathways, tumor progression, or immune regulation. While the exact target of SKIC2 may vary depending on the study context, it has been referenced in investigations related to ovarian cancer biomarkers, such as the HE4 (Human Epididymis Protein 4), where it aids in distinguishing malignant from benign conditions.
Structurally, SKIC2 is typically an IgG-class antibody produced in murine or other mammalian host systems. Its high specificity and affinity make it suitable for techniques like immunohistochemistry (IHC), ELISA, and Western blotting. Researchers utilize SKIC2 to explore protein expression patterns in tissues or serum samples, contributing to biomarker validation and therapeutic target identification. Commercial variants often include validation data for reproducibility across experimental models. Despite its niche application, SKIC2 remains a tool for understanding tumor microenvironments and improving diagnostic accuracy in oncology. Further studies aim to refine its utility in clinical settings.
×