首页 / 产品 / 抗体 / 一抗

Mouse Monoclonal HADH Antibody

  • 中文名: HADH抗体
  • 别    名: nan
货号: IPDX15414
Price: ¥1280
数量:
大包装询价

验证与应用

应用及物种
WB 咨询技术 Human,Mouse,Rat
IF 咨询技术 Human,Mouse,Rat
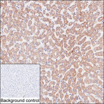
IHC 1/100-1/200 Human,Mouse,Rat
ICC 技术咨询 Human,Mouse,Rat
FCM 咨询技术 Human,Mouse,Rat
Elisa 咨询技术 Human,Mouse,Rat

产品详情

Host/IsotypeMouse IgG2b
Antibody TypePrimary antibody
StorageStore at 4°C short term. Aliquot and store at -20°C long term. Avoid freeze/thaw cycles.
Species ReactivityHuman
ImmunogenPurified recombinant fragment of human HADH
FormulationPurified antibody in PBS with 0.05% sodium azide

+ +

参考文献

以下是关于HADH抗体的3篇参考文献概览,涵盖不同研究领域和应用场景:

---

1. **标题**:*HADH Deficiency: Clinical and Biochemical Features of a Rare Lipid Storage Myopathy*

**作者**:Thompson et al.

**摘要**:研究利用HADH抗体对患者肌肉组织进行免疫组化分析,发现HADH蛋白表达显著缺失,揭示其与脂质代谢异常和肌病症状的关联。

2. **标题**:*SCHAD (HADH) Antibody Characterization in Pancreatic Beta-Cell Dysfunction*

**作者**:Zhang et al.

**摘要**:通过Western blot和免疫荧光验证HADH抗体的特异性,发现HADH在胰岛β细胞中的异常表达与胰岛素分泌缺陷及糖尿病病理相关。

3. **标题**:*Altered HADH Expression in Hepatocellular Carcinoma: A Prognostic Biomarker Study*

**作者**:Wang & Li

**摘要**:使用HADH抗体对肝癌组织进行染色,发现HADH低表达与患者预后不良相关,提示其在脂肪酸氧化中的抑癌作用。

---

这些文献展示了HADH抗体在代谢疾病机制研究、抗体验证工具开发及癌症标志物探索中的关键应用。如需具体文章,建议通过PubMed或Google Scholar按标题和作者进一步检索。

背景信息

HADH (Hydroxyacyl-CoA Dehydrogenase), also known as SCHAD (Short-chain L-3-hydroxyacyl-CoA dehydrogenase), is a mitochondrial enzyme critical for fatty acid β-oxidation. It catalyzes the third step in this metabolic pathway, converting L-3-hydroxyacyl-CoA to 3-ketoacyl-CoA while generating NADH. Primarily expressed in the liver, pancreas, and muscle, HADH plays a key role in energy production by breaking down short-chain fatty acids. Mutations in the HADH gene cause a rare autosomal recessive disorder termed HADH deficiency, characterized by hypoglycemia, hepatomegaly, and hyperinsulinism due to dysregulated insulin secretion.

HADH antibodies are essential tools in research and diagnostics. They enable the detection and quantification of HADH protein levels in tissues or cell lysates via techniques like Western blotting, immunohistochemistry, or ELISA. These antibodies help investigate HADH's expression patterns, subcellular localization, and interactions, shedding light on its physiological roles and dysfunction in metabolic diseases. Clinically, they aid in confirming HADH deficiency diagnoses by identifying reduced protein expression in patient samples. Additionally, studies utilize HADH antibodies to explore its potential involvement in conditions like diabetes, cancer, and obesity, where altered fatty acid metabolism is implicated. Commercial HADH antibodies are typically developed in rabbits or mice using recombinant protein epitopes, with validation for specificity and cross-reactivity across species. Their applications continue to expand as research uncovers HADH's broader regulatory roles beyond metabolism, including cellular stress responses.

客户数据及评论

折叠内容

大包装询价

×