首页 / 产品 / 抗体 / 一抗

Mouse Monoclonal ACE2 Antibody

  • 中文名: ACE2抗体
  • 别    名: nan
货号: IPDX15491
Price: ¥1280
数量:
大包装询价

验证与应用

应用及物种
WB 咨询技术 Human,Mouse,Rat
IF 咨询技术 Human,Mouse,Rat
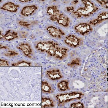
IHC 1/100-1/200 Human,Mouse,Rat
ICC 技术咨询 Human,Mouse,Rat
FCM 咨询技术 Human,Mouse,Rat
Elisa 咨询技术 Human,Mouse,Rat

产品详情

Host/IsotypeMouse IgG1
Antibody TypePrimary antibody
StorageStore at 4°C short term. Aliquot and store at -20°C long term. Avoid freeze/thaw cycles.
Species ReactivityHuman
ImmunogenPurified recombinant fragment of human ACE2
FormulationPurified antibody in PBS with 0.05% sodium azide

+ +

参考文献

以下是3篇关于ACE2抗体的代表性文献及其摘要概括:

---

1. **文献名称**:*A human monoclonal antibody blocking SARS-CoV-2 infection*

**作者**:Wang C, et al.

**摘要**:该研究筛选出了一种人源单克隆抗体(47D11),能通过结合ACE2受体阻断SARS-CoV-2刺突蛋白的附着,并在体外实验中显示中和病毒的能力,为治疗COVID-19提供了潜在候选抗体。

---

2. **文献名称**:*Structural basis for neutralization of SARS-CoV-2 and SARS-CoV by a potent therapeutic antibody*

**作者**:Hansen J, et al.

**摘要**:通过冷冻电镜技术解析了抗体S309与ACE2受体及病毒刺突蛋白的复合物结构,揭示了该抗体通过靶向刺突蛋白保守区域阻断病毒入侵的机制,并证实其对多种冠状病毒变体的广谱中和活性。

---

3. **文献名称**:*LY-CoV555. a potent neutralizing monoclonal antibody, protects against SARS-CoV-2 in non-human primates*

**作者**:Jones BE, et al.

**摘要**:评估了单克隆抗体LY-CoV555(Bamlanivimab)在非人灵长类动物模型中的疗效,结果显示其能显著降低病毒载量和肺部病理损伤,支持其作为COVID-19早期治疗的临床开发。

---

如需具体论文的DOI或全文链接,可进一步提供。

背景信息

Angiotensin-converting enzyme 2 (ACE2) is a transmembrane protein primarily expressed in the lungs, heart, kidneys, and intestines. It functions as a key regulator of the renin-angiotensin system (RAS), counterbalancing ACE by converting angiotensin II into angiotensin-(1-7), which exerts vasodilatory, anti-inflammatory, and cardioprotective effects. This enzymatic role makes ACE2 critical in maintaining cardiovascular and renal homeostasis.

ACE2 gained prominence as the entry receptor for SARS-CoV and SARS-CoV-2 viruses. The viral spike protein binds to ACE2. enabling host cell invasion. Consequently, ACE2-targeting antibodies have been explored for two primary purposes: (1) **therapeutic neutralization** of coronaviruses by blocking viral attachment, and (2) **research tools** to study ACE2-mediated physiological or pathological processes.

However, ACE2 antibody development faces challenges. Neutralizing antibodies must avoid interfering with ACE2's native enzymatic functions to prevent RAS dysregulation, which could exacerbate hypertension or organ damage. Additionally, soluble ACE2 or antibody-mediated ACE2 modulation has potential applications in treating COVID-19. hypertension, and diabetes, but requires careful evaluation of safety and specificity. Current research focuses on engineering bispecific antibodies or nanobodies that precisely target viral spike interactions without disrupting ACE2's physiological roles.

客户数据及评论

折叠内容

大包装询价

×