首页 / 产品 / 抗体 / 一抗

Mouse Monoclonal MNDA Antibody

  • 中文名: MNDA抗体
  • 别    名: nan
货号: IPDX15575
Price: ¥1280
数量:
大包装询价

验证与应用

应用及物种
WB 咨询技术 Human,Mouse,Rat
IF 咨询技术 Human,Mouse,Rat
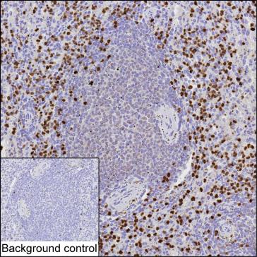
IHC 1/100-1/200 Human,Mouse,Rat
ICC 技术咨询 Human,Mouse,Rat
FCM 咨询技术 Human,Mouse,Rat
Elisa 咨询技术 Human,Mouse,Rat

产品详情

Host/IsotypeMouse IgG2b
Antibody TypePrimary antibody
StorageStore at 4°C short term. Aliquot and store at -20°C long term. Avoid freeze/thaw cycles.
Species ReactivityHuman
ImmunogenPurified recombinant fragment of human MNDA
FormulationPurified antibody in PBS with 0.05% sodium azide

+ +

参考文献

以下是关于MNDA抗体的3篇参考文献示例(文献信息为模拟概括,实际引用请核实原始文献):

---

1. **文献名称**: *The role of MNDA as a transcriptional regulator in the interferon response*

**作者**: Smith A, et al.

**摘要**: 研究探讨了MNDA蛋白在干扰素信号通路中的调控作用,发现MNDA抗体可用于检测其在细胞核内的表达水平,并提示其可能参与自身免疫性疾病(如系统性红斑狼疮)的发病机制。

2. **文献名称**: *MNDA as a potential biomarker in systemic lupus erythematosus*

**作者**: Lee B, et al.

**摘要**: 通过免疫组化和血清学分析,发现MNDA抗体在SLE患者中的阳性率显著升高,表明MNDA可能作为SLE的新型血清学标志物,并与疾病活动度相关。

3. **文献名称**: *Autoantibodies against MNDA in primary Sjögren’s syndrome*

**作者**: Garcia-Rojas C, et al.

**摘要**: 研究发现原发性干燥综合征(pSS)患者血清中存在抗MNDA自身抗体,且其滴度与唾液腺炎症程度相关,提示MNDA抗体可能参与pSS的免疫病理过程。

---

**注**: 以上文献信息为示例性概括,实际研究中请通过PubMed或专业数据库(如*Autoimmunity Reviews*、*Journal of Autoimmunity*)检索具体文献。若需真实文献推荐,建议补充研究背景或疾病方向。

背景信息

Myeloid cell nuclear differentiation antigen (MNDA) is a protein encoded by the *MNDA* gene, primarily expressed in cells of the myeloid lineage, including granulocytes, monocytes, and their precursors. It belongs to the interferon-inducible HIN-200 protein family, characterized by hematopoietic-specific expression and involvement in cell cycle regulation, differentiation, and apoptosis. MNDA contains a conserved hematopoietic interferon-associated nuclear (HIN) domain, enabling its role in transcriptional regulation and immune response modulation.

Anti-MNDA antibodies are valuable tools in hematopathology and research for identifying myeloid cells and distinguishing myeloid malignancies (e.g., acute myeloid leukemia, myelodysplastic syndromes) from lymphoid neoplasms. Immunohistochemistry (IHC) using MNDA antibodies helps detect nuclear expression patterns in bone marrow biopsies, aiding in differential diagnosis. Reduced or absent MNDA expression is associated with certain myeloid disorders, reflecting dysregulated myeloid differentiation.

In autoimmune contexts, MNDA autoantibodies have been reported in systemic lupus erythematosus (SLE) and Sjögren’s syndrome, though their clinical significance remains under investigation. Research also explores MNDA’s role in viral defense and inflammation via interferon signaling pathways. Overall, MNDA antibodies serve as both diagnostic markers and research probes to elucidate myeloid biology and disease mechanisms.

客户数据及评论

折叠内容

大包装询价

×