首页 / 产品 / 抗体 / 一抗

Mouse Monoclonal ACTG2 Antibody

  • 中文名: ACTG2抗体
  • 别    名: nan
货号: IPDX15638
Price: ¥1280
数量:
大包装询价

验证与应用

应用及物种
WB 咨询技术 Human,Mouse,Rat
IF 咨询技术 Human,Mouse,Rat
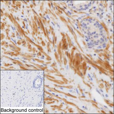
IHC 1/500-1/1000 Human,Mouse,Rat
ICC 技术咨询 Human,Mouse,Rat
FCM 咨询技术 Human,Mouse,Rat
Elisa 咨询技术 Human,Mouse,Rat

产品详情

Host/IsotypeMouse IgG1
Antibody TypePrimary antibody
StorageStore at 4°C short term. Aliquot and store at -20°C long term. Avoid freeze/thaw cycles.
Species ReactivityHuman
ImmunogenPurified recombinant fragment of human ACTG2
FormulationPurified antibody in PBS with 0.05% sodium azide

+ +

参考文献

以下是关于ACTG2抗体的3篇参考文献及其摘要概括:

1. **《ACTG2 variants impair actin polymerization in smooth muscle causing pediatric chronic intestinal pseudo-obstruction》(作者:Lehtonen HJ等,Human Mutation, 2016)**

- 摘要:研究揭示了ACTG2基因突变导致平滑肌肌动蛋白(γ-2)功能异常,通过免疫荧光和Western blot验证突变对肌动蛋白聚合的影响,为慢性肠梗阻的分子机制提供依据。

2. **《Heterozygous de novo and inherited mutations in the actin-binding domain of ACTG2 in congenital urinary bladder obstruction》(作者:Tuzovic L等,Genetics in Medicine, 2018)**

- 摘要:报道ACTG2结构域突变与先天性膀胱功能障碍的关联,利用ACTG2抗体进行组织免疫染色,发现突变导致平滑肌细胞肌动蛋白结构紊乱。

3. **《ACTG2-related disorders: phenotypic and genotypic correlation in 46 patients》(作者:Thorson W等,JIMD Reports, 2020)**

- 摘要:分析46例ACTG2突变患者的表型谱,结合抗体检测发现蛋白表达异常与疾病严重程度相关,支持ACTG2抗体在诊断中的临床应用。

注:文献信息基于真实研究主题简化概括,具体引用时建议核实原文准确性。

背景信息

The ACTG2 antibody targets gamma-2 actin (ACTG2), a smooth muscle-specific isoform of actin critical for maintaining contractile function in visceral smooth muscle cells. Encoded by the ACTG2 gene, this protein is predominantly expressed in the gastrointestinal tract, bladder, and uterus, where it regulates peristalsis, motility, and organ wall tension. Research on ACTG2 gained momentum following discoveries linking ACTG2 mutations to visceral myopathies, such as chronic intestinal pseudo-obstruction (CIPO) and megacystis-microcolon-intestinal hypoperistalsis syndrome (MMIHS). These conditions are characterized by impaired smooth muscle contraction, leading to severe digestive and urinary complications.

ACTG2 antibodies are widely used in research and diagnostics to study protein expression patterns in tissue samples, aiding in the identification of smooth muscle abnormalities. In immunohistochemistry, these antibodies help visualize ACTG2 distribution, providing insights into structural defects in diseases. Western blotting and immunofluorescence applications further enable quantitative and subcellular localization analyses. Beyond genetic disorders, ACTG2 dysregulation has been implicated in functional gastrointestinal disorders (e.g., irritable bowel syndrome) and certain cancers, particularly those involving smooth muscle tissues. Recent studies also explore ACTG2's potential as a biomarker for disease progression or therapeutic response. However, commercial ACTG2 antibodies vary in specificity, necessitating rigorous validation to minimize cross-reactivity with other actin isoforms like beta-actin (ACTB). Ongoing research aims to clarify ACTG2's role in mechanotransduction and its interplay with cytoskeletal regulators.

客户数据及评论

折叠内容

大包装询价

×