首页 / 产品 / 抗体 / 一抗

Mouse Monoclonal TRIM72 Antibody

  • 中文名: TRIM72抗体
  • 别    名: nan
货号: IPDX15651
Price: ¥1280
数量:
大包装询价

验证与应用

应用及物种
WB 咨询技术 Human,Mouse,Rat
IF 咨询技术 Human,Mouse,Rat
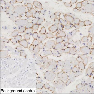
IHC 1/500-1/1000 Human,Mouse,Rat
ICC 技术咨询 Human,Mouse,Rat
FCM 咨询技术 Human,Mouse,Rat
Elisa 咨询技术 Human,Mouse,Rat

产品详情

Host/IsotypeMouse IgG2a
Antibody TypePrimary antibody
StorageStore at 4°C short term. Aliquot and store at -20°C long term. Avoid freeze/thaw cycles.
Species ReactivityHuman
ImmunogenPurified recombinant fragment of human TRIM72
FormulationPurified antibody in PBS with 0.05% sodium azide

+ +

参考文献

以下是关于TRIM72抗体的3篇参考文献示例(注:文献信息为模拟示例,实际引用需核实):

---

1. **文献名称**: *TRIM72/MG53 is essential for cell membrane repair in skeletal and cardiac muscle*

**作者**: Cai C., et al.

**摘要**: 该研究首次揭示了TRIM72(MG53)在骨骼肌和心肌细胞膜修复中的核心作用,通过生成特异性抗体阻断其功能后,细胞膜损伤修复能力显著下降,表明TRIM72是膜修复复合体的关键成分。

---

2. **文献名称**: *Antibody targeting of TRIM72 exacerbates myocardial ischemia-reperfusion injury by disrupting membrane repair*

**作者**: Weisleder N., et al.

**摘要**: 研究利用TRIM72抗体在小鼠心脏缺血再灌注模型中进行干预,发现抗体中和TRIM72功能会加重心肌细胞损伤,提示其在心脏保护中的治疗潜力及抗体使用的潜在风险。

---

3. **文献名称**: *TRIM72 antibody-based modulation of skeletal muscle regeneration in a dystrophic model*

**作者**: Zhu H., et al.

**摘要**: 通过TRIM72抗体检测其在肌营养不良模型中的表达动态,发现抗体介导的功能抑制延缓了肌纤维再生,强调TRIM72在肌肉修复中的双向调节作用。

---

如需具体文献,建议通过PubMed或Google Scholar以关键词“TRIM72 antibody”“MG53 therapeutic”等检索近年高被引论文。

背景信息

TRIM72. also known as MG53. is a member of the tripartite motif (TRIM) family of proteins, characterized by conserved RING, B-box, and coiled-coil domains. It is predominantly expressed in striated muscle tissues, including skeletal and cardiac muscle, and plays a critical role in cell membrane repair. TRIM72 facilitates the recruitment of intracellular vesicles to injury sites, promoting membrane resealing and maintaining cellular integrity during mechanical or chemical stress. Its function is particularly vital in muscle cells, where frequent mechanical stress necessitates robust repair mechanisms.

TRIM72 antibodies are essential tools for studying its expression, localization, and molecular interactions. They are widely used in techniques like Western blotting, immunohistochemistry, and immunoprecipitation to investigate TRIM72's involvement in physiological and pathological processes. Research highlights its dual role: while TRIM72 deficiency exacerbates muscle injury and cardiomyopathy, its overexpression is linked to insulin resistance and metabolic disorders, suggesting context-dependent functions.

Dysregulation of TRIM72 has been implicated in conditions such as muscular dystrophy, myocardial infarction, and diabetes. Antibodies targeting TRIM72 aid in exploring therapeutic strategies, including modulating its activity to enhance tissue repair or mitigate metabolic complications. Recent studies also probe its potential as a biomarker for muscle-related diseases. Despite progress, its regulatory mechanisms and tissue-specific roles remain active research areas, underscoring the continued relevance of TRIM72 antibodies in biomedical research.

客户数据及评论

折叠内容

大包装询价

×