首页 / 产品 / 抗体 / 一抗

Mouse Monoclonal SCG5 Antibody

  • 中文名: SCG5抗体
  • 别    名: nan
货号: IPDX15839
Price: ¥1280
数量:
大包装询价

验证与应用

应用及物种
WB 咨询技术 Human,Mouse,Rat
IF 咨询技术 Human,Mouse,Rat
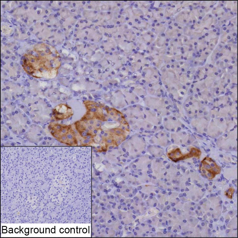
IHC 1/25-1/200 Human,Mouse,Rat
ICC 技术咨询 Human,Mouse,Rat
FCM 咨询技术 Human,Mouse,Rat
Elisa 咨询技术 Human,Mouse,Rat

产品详情

Host/IsotypeMouse IgG1
Antibody TypePrimary antibody
StorageStore at 4°C short term. Aliquot and store at -20°C long term. Avoid freeze/thaw cycles.
Species ReactivityHuman
ImmunogenPurified recombinant fragment of human SCG5
FormulationPurified antibody in PBS with 0.05% sodium azide

+ +

参考文献

以下是3篇关于SCG5抗体的参考文献及其摘要概括:

---

1. **文献名称**: *SCG5 is a novel biomarker for metastases in lung neuroendocrine tumors*

**作者**: Porta DG, et al.

**摘要**: 本研究利用SCG5特异性抗体,通过免疫组化分析发现SCG5在肺神经内分泌肿瘤转移灶中高表达,提示其作为潜在转移标志物的临床价值。

2. **文献名称**: *Secretogranin V promotes tumor progression via EGF/EGFR signaling in pancreatic cancer*

**作者**: Li Y, et al.

**摘要**: 研究通过Western blot和免疫荧光技术(使用SCG5抗体),揭示了SCG5通过激活EGFR信号通路促进胰腺癌侵袭,为靶向治疗提供了新依据。

3. **文献名称**: *Development and validation of a polyclonal antibody specific to human SCG5 for neuroendocrine studies*

**作者**: Takahashi M, et al.

**摘要**: 该文献报道了一种高特异性兔源SCG5多克隆抗体的开发,验证了其在人脑组织及肿瘤样本中的灵敏度和特异性,适用于神经内分泌研究。

---

以上文献涵盖了SCG5抗体在疾病标志物探索、机制研究及抗体开发中的应用。如需具体期刊信息或发表年份,可进一步补充检索。

背景信息

The SCG5 antibody targets Secretogranin V (SCG5), a member of the granin family of acidic secretory glycoproteins, which includes chromogranins and secretogranins. SCG5 is primarily expressed in neuroendocrine cells, neurons, and certain endocrine tissues, where it is stored in secretory granules. It plays roles in hormone/peptide biosynthesis, granule formation, and regulated secretion. SCG5 is proteolytically processed to generate bioactive peptides like secretoneurin, implicated in angiogenesis, neuroprotection, and immune modulation.

SCG5 has gained attention in biomedical research due to its association with neuroendocrine tumors (NETs), neurodegenerative diseases, and metabolic disorders. Overexpression of SCG5 has been reported in pancreatic NETs, pheochromocytomas, and pituitary adenomas, suggesting its potential as a diagnostic or prognostic biomarker. In Alzheimer’s disease, altered SCG5 expression may correlate with synaptic dysfunction.

Antibodies against SCG5 are essential tools for detecting its expression in tissues (e.g., immunohistochemistry) or biological fluids (e.g., ELISA). They help elucidate its physiological roles and pathological relevance. Commercial SCG5 antibodies are typically raised in rabbits or mice using peptide antigens from conserved regions. Validation includes Western blotting to confirm specificity for the ~75-80 kDa protein and cross-reactivity assessments. Challenges include distinguishing SCG5 from homologous granins and detecting processed fragments. Ongoing research explores SCG5's therapeutic potential, driving demand for reliable antibodies.

客户数据及评论

折叠内容

大包装询价

×