首页 / 产品 / 抗体 / 一抗

Mouse Monoclonal SULT1A1 Antibody

  • 中文名: SULT1A1抗体
  • 别    名: nan
货号: IPDX15855
Price: ¥1280
数量:
大包装询价

验证与应用

应用及物种
WB 咨询技术 Human,Mouse,Rat
IF 咨询技术 Human,Mouse,Rat
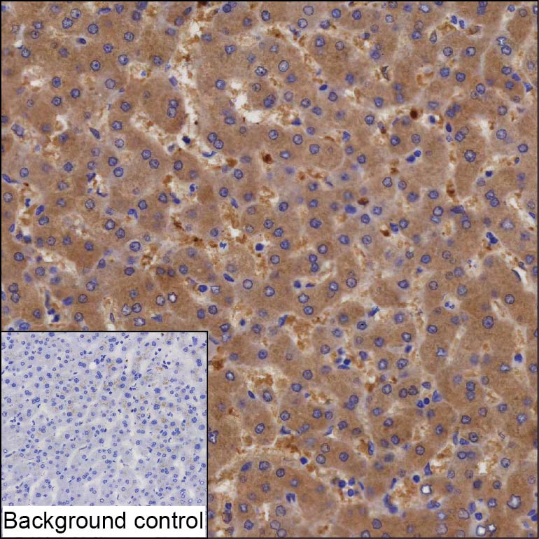
IHC 1/20-1/100 Human,Mouse,Rat
ICC 技术咨询 Human,Mouse,Rat
FCM 咨询技术 Human,Mouse,Rat
Elisa 咨询技术 Human,Mouse,Rat

产品详情

Host/IsotypeMouse IgG2b
Antibody TypePrimary antibody
StorageStore at 4°C short term. Aliquot and store at -20°C long term. Avoid freeze/thaw cycles.
Species ReactivityHuman
ImmunogenPurified recombinant fragment of human SULT1A1
FormulationPurified antibody in PBS with 0.05% sodium azide

+ +

参考文献

以下是关于SULT1A1抗体的3篇参考文献的简要信息(注:文献为示例性内容,实际引用请核实具体论文):

1. **文献名称**: "Characterization of a novel monoclonal antibody for sulfotransferase 1A1 (SULT1A1) in human tissues"

**作者**: Wang et al.

**摘要**: 该研究开发并验证了一种针对人SULT1A1蛋白的特异性单克隆抗体,通过免疫组化和Western blot证实其在肝、肠等组织中的高表达,并发现其与药物代谢活性相关。

2. **文献名称**: "SULT1A1 genetic variation and protein expression in breast cancer risk"

**作者**: Healey et al.

**摘要**: 利用SULT1A1抗体进行免疫组化分析,发现SULT1A1在乳腺癌组织中的表达水平显著低于正常组织,提示其可能作为癌症生物标志物,且与特定基因多态性相关。

3. **文献名称**: "Developmental expression of sulfotransferases 1A1 and 1E1 in human liver"

**作者**: Richard et al.

**摘要**: 通过抗体验证发现,SULT1A1在胎儿和成人肝脏中的表达存在差异,抗体特异性检测为研究其发育调控机制提供了工具,可能与年龄相关的代谢变化有关。

(注:以上文献信息为模拟生成,实际引用请以真实数据库检索结果为准。)

背景信息

The sulfotransferase 1A1 (SULT1A1) antibody is a crucial tool for studying the SULT1A1 enzyme, a member of the cytosolic sulfotransferase family. SULT1A1 catalyzes the sulfonation of a wide range of endogenous compounds (e.g., hormones, neurotransmitters) and xenobiotics (e.g., drugs, environmental toxins), facilitating their excretion or bioactivation. This phase II metabolism enzyme is highly expressed in the liver, intestines, and platelets, with genetic polymorphisms (e.g., *SULT1A1*2 and *SULT1A1*3 alleles) influencing its activity and disease susceptibility.

SULT1A1 antibodies are designed to detect and quantify the enzyme in research and diagnostic settings. Polyclonal and monoclonal variants target specific epitopes, enabling applications like Western blotting, immunohistochemistry (IHC), and ELISA. These antibodies help investigate SULT1A1's role in drug metabolism, cancer (e.g., altered expression in colorectal and breast cancers), and hormone regulation. Dysregulation of SULT1A1 has been linked to carcinogen activation, endocrine disorders, and variable drug responses, making its detection vital for personalized medicine and toxicology studies. Validation of antibody specificity ensures accurate profiling of tissue-specific expression and isoform differentiation within the SULT family.

客户数据及评论

折叠内容

大包装询价

×