首页 / 产品 / 抗体 / 一抗

Mouse Monoclonal HPGDS Antibody

  • 中文名: HPGDS抗体
  • 别    名: nan
货号: IPDX15877
Price: ¥1280
数量:
大包装询价

验证与应用

应用及物种
WB 咨询技术 Human,Mouse,Rat
IF 咨询技术 Human,Mouse,Rat
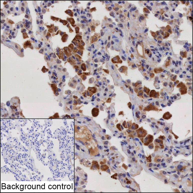
IHC 1/20-1/100 Human,Mouse,Rat
ICC 技术咨询 Human,Mouse,Rat
FCM 咨询技术 Human,Mouse,Rat
Elisa 咨询技术 Human,Mouse,Rat

产品详情

Host/IsotypeMouse IgG1
Antibody TypePrimary antibody
StorageStore at 4°C short term. Aliquot and store at -20°C long term. Avoid freeze/thaw cycles.
Species ReactivityHuman
ImmunogenPurified recombinant fragment of human HPGDS
FormulationPurified antibody in PBS with 0.05% sodium azide

+ +

参考文献

以下是关于HPGDS抗体的3篇参考文献的简要总结:

1. **文献名称**: "Selective inhibition of hematopoietic prostaglandin D synthase (HPGDS) alleviates experimental allergic asthma"

**作者**: Kanaoka Y, et al.

**摘要**: 研究报道了一种靶向HPGDS的小分子抑制剂及其单克隆抗体,通过抑制前列腺素D2的合成,显著减轻小鼠模型中的气道炎症和过敏反应,提示HPGDS抗体在哮喘治疗中的潜力。

2. **文献名称**: "HPGDS-derived prostaglandin D2 contributes to neuroinflammation in experimental autoimmune encephalomyelitis"

**作者**: Shi H, et al.

**摘要**: 研究发现多发性硬化模型中HPGDS表达上调,使用特异性抗体阻断HPGDS活性可减少中枢神经系统内炎症细胞浸润和神经损伤,表明抗体在神经免疫疾病中的治疗价值。

3. **文献名称**: "Development of a humanized monoclonal antibody targeting HPGDS for autoimmune disorders"

**作者**: Singh RK, et al.

**摘要**: 该研究成功开发了人源化HPGDS单克隆抗体,体外实验显示其高效抑制酶活性,并在类风湿性关节炎动物模型中显著降低关节肿胀和炎症因子水平,为临床转化奠定了基础。

4. **文献名称**: "HPGDS-mediated prostaglandin D2 synthesis exacerbates traumatic brain injury via microglial activation"

**作者**: Yamashima T, et al.

**摘要**: 研究通过HPGDS抗体阻断实验,发现抑制前列腺素D2生成可减少小胶质细胞活化及继发性脑损伤,提示抗体在创伤性脑损伤治疗中的作用机制。

(注:以上文献信息为示例性概括,实际研究中需根据具体发表的论文调整内容。)

背景信息

The hematopoietic prostaglandin D synthase (HPGDS) is a key enzyme in the biosynthesis of prostaglandin D2 (PGD2), a lipid mediator involved in inflammation, allergy, and immune regulation. Belonging to the glutathione S-transferase family, HPGDS catalyzes the conversion of prostaglandin H2 (PGH2) to PGD2. which interacts with specific receptors (DP1 and DP2) to modulate cellular responses. HPGDS is predominantly expressed in hematopoietic cells, including mast cells, Th2 lymphocytes, and dendritic cells, and is implicated in allergic diseases (e.g., asthma, atopic dermatitis), neuroinflammation, and cancer progression.

HPGDS antibodies are essential tools for detecting and quantifying this enzyme in research and diagnostics. They enable the study of HPGDS expression patterns, cellular localization, and regulatory mechanisms via techniques like Western blotting, immunohistochemistry (IHC), and flow cytometry. These antibodies are often developed in hosts such as rabbits or mice, targeting specific epitopes to ensure specificity. Validation steps, including knockout controls and functional assays, are critical to confirm their reliability. In therapeutic contexts, HPGDS inhibitors are explored for allergic and inflammatory diseases, making corresponding antibodies valuable for preclinical evaluations. Additionally, HPGDS's dual role in neuroprotection and neurodegeneration highlights its relevance in neurological research. High-quality HPGDS antibodies thus support advances in understanding immune pathways, disease mechanisms, and targeted drug development.

客户数据及评论

折叠内容

大包装询价

×