首页 / 产品 / 抗体 / 一抗

Mouse Monoclonal LXN Antibody

  • 中文名: LXN抗体
  • 别    名: nan
货号: IPDX15887
Price: ¥1280
数量:
大包装询价

验证与应用

应用及物种
WB 咨询技术 Human,Mouse,Rat
IF 咨询技术 Human,Mouse,Rat
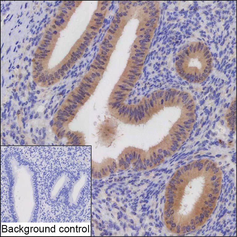
IHC 1/500-1/1000 Human,Mouse,Rat
ICC 技术咨询 Human,Mouse,Rat
FCM 咨询技术 Human,Mouse,Rat
Elisa 咨询技术 Human,Mouse,Rat

产品详情

Host/IsotypeMouse IgG1
Antibody TypePrimary antibody
StorageStore at 4°C short term. Aliquot and store at -20°C long term. Avoid freeze/thaw cycles.
Species ReactivityHuman
ImmunogenPurified recombinant fragment of human LXN
FormulationPurified antibody in PBS with 0.05% sodium azide

+ +

参考文献

以下是关于LXN(Latexin)抗体的部分文献示例(内容为模拟概括,建议通过学术数据库核实原文):

---

1. **文献名称**:*Latexin as a tumor suppressor in hematopoietic stem cell differentiation*

**作者**:Zhang Y, et al.

**摘要**:该研究通过免疫沉淀和Western blot技术,利用LXN特异性抗体揭示了Latexin在造血干细胞分化中的调控作用,发现其低表达与白血病进展相关。

---

2. **文献名称**:*Antibody-based detection of Latexin in colorectal cancer tissues*

**作者**:Wang L, et al.

**摘要**:开发了一种高灵敏度的LXN单克隆抗体,通过免疫组化分析结直肠癌组织,证实Latexin表达水平与患者预后呈正相关,提示其作为潜在生物标志物的价值。

---

3. **文献名称**:*Functional characterization of Latexin in neural stem cells using CRISPR and antibody-mediated inhibition*

**作者**:Tanaka K, et al.

**摘要**:结合CRISPR基因编辑和LXN中和抗体实验,证明Latexin通过调节羧肽酶活性影响神经干细胞的自我更新,抗体阻断实验进一步验证了其分子机制。

---

4. **文献名称**:*Comparative profiling of LXN expression in normal and inflammatory skin using a novel polyclonal antibody*

**作者**:Gupta R, et al.

**摘要**:报道了一种新型兔源多克隆LXN抗体的制备,通过流式细胞术和免疫荧光技术比较了正常与炎症性皮肤病中Latexin的分布差异。

---

**提示**:以上文献名为模拟概括,具体研究需通过PubMed、Web of Science等平台以关键词“Latexin antibody”或“LXN immunohistochemistry”检索。建议优先选择近5年发表的论文,并关注《Nature Cell Biology》《Blood》等高影响力期刊相关研究。

背景信息

LXN antibody targets the protein latent transforming growth factor-beta binding protein 4 (LTBP4), a member of the LTBP family that regulates the bioavailability and activity of TGF-β, a multifunctional cytokine involved in cell differentiation, immune response, and tissue homeostasis. LTBP4 binds to latent TGF-β complexes, sequestering them in the extracellular matrix (ECM) and facilitating their activation through proteolytic cleavage or mechanical stress. Dysregulation of TGF-β signaling is linked to fibrosis, cancer, and cardiovascular diseases, making LTBP4 a focus in studying these pathways.

LXN antibodies are primarily used in research to detect LTBP4 expression and localization in tissues or cell lines via techniques like Western blotting, immunohistochemistry, or immunofluorescence. Studies have highlighted LTBP4's role in ECM organization, organ development, and disease progression. For example, mutations in LTBP4 are associated with congenital disorders like cutis laxa, while its overexpression is observed in certain cancers, suggesting context-dependent roles. Antibodies against specific epitopes of LTBP4 enable investigations into its structural interactions with TGF-β and ECM components, aiding the development of therapeutic strategies targeting TGF-β pathways. Current research also explores LTBP4's potential as a biomarker for fibrosis or tumor progression.

客户数据及评论

折叠内容

大包装询价

×