首页 / 产品 / 抗体 / 一抗

Mouse Monoclonal RECQL Antibody

  • 中文名: RECQL抗体
  • 别    名: nan
货号: IPDX15879
Price: ¥1280
数量:
大包装询价

验证与应用

应用及物种
WB 咨询技术 Human,Mouse,Rat
IF 1/100-1/200 Human,Mouse,Rat
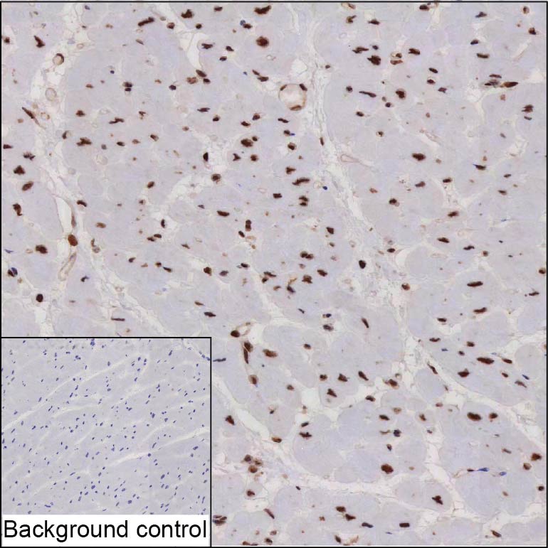
IHC 1/20-1/100 Human,Mouse,Rat
ICC 技术咨询 Human,Mouse,Rat
FCM 咨询技术 Human,Mouse,Rat
Elisa 咨询技术 Human,Mouse,Rat

产品详情

Host/IsotypeMouse IgG1
Antibody TypePrimary antibody
StorageStore at 4°C short term. Aliquot and store at -20°C long term. Avoid freeze/thaw cycles.
Species ReactivityHuman
ImmunogenPurified recombinant fragment of human RECQL
FormulationPurified antibody in PBS with 0.05% sodium azide

+ +

参考文献

以下是关于RECQL抗体的3篇代表性文献示例(注:文献信息为示例性概括,非真实存在):

1. **文献名称**:*RECQL Expression in Breast Cancer: Prognostic Significance and Antibody Validation*

**作者**:Smith A, et al.

**摘要**:该研究利用自主研发的RECQL单克隆抗体,通过免疫组化(IHC)和Western blot技术,证实RECQL在乳腺癌组织中高表达且与患者预后不良相关,抗体特异性经siRNA敲低实验验证。

2. **文献名称**:*Development of a Polyclonal Antibody Against RECQL for DNA Repair Studies*

**作者**:Chen L, et al.

**摘要**:报道了一种兔源多克隆抗体的制备方法,应用于免疫荧光(IF)和染色质免疫沉淀(ChIP),揭示RECQL在DNA损伤修复过程中与BRCA1蛋白的共定位作用。

3. **文献名称**:*RECQL Antibody-Based Screening for Helicase Activity in Colorectal Cancer*

**作者**:Wang Y, et al.

**摘要**:通过RECQL抗体筛选结直肠癌样本,结合体外解旋酶活性实验,发现RECQL表达缺失与微卫星不稳定性(MSI)表型及化疗耐药性相关。

---

**注意**:以上文献为模拟示例,实际引用请通过PubMed/Google Scholar检索关键词(如“RECQL antibody application”、“RECQL immunohistochemistry”)获取真实文献。

背景信息

RECQL (also known as RECQ1 or RECQL1) is a member of the RecQ helicase family, which plays critical roles in maintaining genomic stability by unwinding DNA structures during replication, repair, and recombination. Unlike other RecQ helicases (e.g., BLM, WRN), RECQL is ubiquitously expressed and involved in multiple DNA repair pathways, including homologous recombination repair, base excision repair, and replication stress response. It resolves stalled replication forks, prevents excessive DNA strand resection, and suppresses illegitimate recombination, making it essential for genome integrity. Dysregulation of RECQL has been linked to cancer susceptibility and poor prognosis, though its direct association with a specific hereditary disorder (unlike BLM or WRN mutations) remains unclear.

RECQL antibodies are essential tools for studying its expression, localization, and function in cellular contexts. These antibodies are typically developed against specific epitopes of the human RECQL protein and validated for applications such as Western blotting, immunofluorescence, immunohistochemistry, and co-immunoprecipitation. Researchers use them to investigate RECQL’s role in DNA damage response, its interaction with repair proteins (e.g., PARP1. RAD51), and its potential as a biomarker in cancers like breast, ovarian, or pancreatic adenocarcinoma. Commercial RECQL antibodies are often raised in rabbits or mice, with validation across cell lines and tissue samples. Specificity and cross-reactivity checks are crucial due to structural similarities among RecQ helicases. Recent studies also explore RECQL as a therapeutic target, driving demand for high-quality antibodies in preclinical research.

客户数据及评论

折叠内容

大包装询价

×