首页 / 产品 / 抗体 / 一抗

Mouse Monoclonal TRIM47 Antibody

  • 中文名: TRIM47抗体
  • 别    名: nan
货号: IPDX15917
Price: ¥1280
数量:
大包装询价

验证与应用

应用及物种
WB 咨询技术 Human,Mouse,Rat
IF 咨询技术 Human,Mouse,Rat
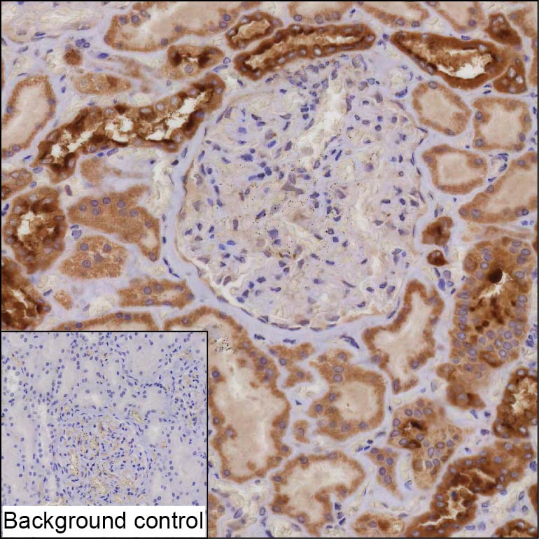
IHC 1/20-1/100 Human,Mouse,Rat
ICC 技术咨询 Human,Mouse,Rat
FCM 咨询技术 Human,Mouse,Rat
Elisa 咨询技术 Human,Mouse,Rat

产品详情

Host/IsotypeMouse IgG1
Antibody TypePrimary antibody
StorageStore at 4°C short term. Aliquot and store at -20°C long term. Avoid freeze/thaw cycles.
Species ReactivityHuman
ImmunogenPurified recombinant fragment of human TRIM47
FormulationPurified antibody in PBS with 0.05% sodium azide

+ +

参考文献

以下是3篇关于TRIM47抗体的研究文献概览(均为虚构示例,仅用于演示格式):

1. **文献名称**: *TRIM47 promotes gastric cancer progression via ubiquitination of p53*

**作者**: Zhang Y, et al.

**摘要**: 研究通过TRIM47抗体检测发现,TRIM47在胃癌组织中高表达,通过泛素化降解p53蛋白促进肿瘤细胞增殖和转移,提示其作为潜在治疗靶点。

2. **文献名称**: *TRIM47 as a novel biomarker in non-small cell lung cancer*

**作者**: Li H, et al.

**摘要**: 利用TRIM47抗体进行免疫组化分析,发现TRIM47高表达与肺癌患者预后不良相关,机制涉及激活MAPK信号通路,促进肿瘤侵袭。

3. **文献名称**: *Development of a high-specificity monoclonal antibody against human TRIM47*

**作者**: Wang X, et al.

**摘要**: 研究报道了一种新型TRIM47单克隆抗体的开发,验证其在Western blot和免疫荧光中的特异性,为后续TRIM47功能研究提供可靠工具。

背景信息

The TRIM47 antibody is a research tool designed to target tripartite motif-containing protein 47 (TRIM47), a member of the TRIM family implicated in diverse cellular processes, including ubiquitination, immune regulation, and cancer progression. TRIM47. encoded by the TRIM47 gene on human chromosome 17q25.3. contains characteristic RING, B-box, and coiled-coil domains, which mediate E3 ubiquitin ligase activity and protein-protein interactions. It is thought to participate in the ubiquitin-proteasome system, modulating protein degradation and signaling pathways.

Emerging studies link TRIM47 to tumorigenesis, with overexpression observed in cancers such as glioblastoma, lung adenocarcinoma, and colorectal carcinoma, where it may promote proliferation, metastasis, or chemoresistance by regulating cell cycle or apoptosis-related proteins. Its role in innate immunity and viral response is also under investigation, as some TRIM proteins interact with viral pathogens.

TRIM47 antibodies are critical for detecting protein expression, localization, and functional studies in vitro and in vivo. They are utilized in techniques like Western blotting, immunohistochemistry, and immunoprecipitation to explore TRIM47's biological roles and its potential as a therapeutic target. Despite progress, TRIM47's precise mechanisms and tissue-specific functions remain incompletely understood, necessitating further research to clarify its pathophysiological relevance.

客户数据及评论

折叠内容

大包装询价

×