首页 / 产品 / 抗体 / 一抗

Mouse Monoclonal NDUFAF2 Antibody

  • 中文名: NDUFAF2抗体
  • 别    名: nan
货号: IPDX15940
Price: ¥1280
数量:
大包装询价

验证与应用

应用及物种
WB 咨询技术 Human,Mouse,Rat
IF 咨询技术 Human,Mouse,Rat
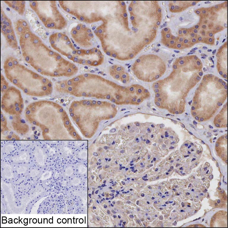
IHC 1/25-1/200 Human,Mouse,Rat
ICC 技术咨询 Human,Mouse,Rat
FCM 咨询技术 Human,Mouse,Rat
Elisa 咨询技术 Human,Mouse,Rat

产品详情

Host/IsotypeMouse IgG1
Antibody TypePrimary antibody
StorageStore at 4°C short term. Aliquot and store at -20°C long term. Avoid freeze/thaw cycles.
Species ReactivityHuman
ImmunogenPurified recombinant fragment of human NDUFAF2
FormulationPurified antibody in PBS with 0.05% sodium azide

+ +

参考文献

以下是关于NDUFAF2抗体的3篇参考文献及其简要摘要:

---

1. **文献名称**:*NDUFAF2 is required for complex I assembly and affects mitochondrial homeostasis in human cells*

**作者**:Ogilvie, I., Kennaway, N. G., & Shoubridge, E. A.

**摘要**:该研究通过siRNA敲低和NDUFAF2抗体检测,揭示了NDUFAF2在线粒体复合物I组装中的关键作用。实验表明,NDUFAF2缺失导致复合物I稳定性下降,并引发活性氧(ROS)水平升高,提示其与线粒体功能紊乱疾病的潜在关联。

2. **文献名称**:*Mutation screening of NDUFAF2 in Leigh syndrome patients identifies novel pathogenic variants*

**作者**:Hoefs, S. J., van Spronsen, F. J., & Smeitink, J. A. M.

**摘要**:本研究在Leigh综合征患者中鉴定出NDUFAF2基因的新型致病突变,并通过Western blot(使用NDUFAF2抗体)证实突变导致蛋白表达缺失,进一步支持NDUFAF2缺陷与线粒体能量代谢障碍的直接联系。

3. **文献名称**:*Characterization of a polyclonal antibody against human NDUFAF2 for mitochondrial complex I studies*

**作者**:Vogel, R. O., Janssen, R. J., & Nijtmans, L. G.

**摘要**:该文献报道了一种针对人NDUFAF2的多克隆抗体的开发与验证。通过免疫印迹和免疫荧光实验,证明该抗体能特异性识别内源性NDUFAF2蛋白,并成功应用于复合物I组装过程的动态分析。

---

这些文献涵盖了NDUFAF2的功能研究、疾病关联及抗体开发,均涉及抗体的实验应用。如需具体文献来源,建议通过PubMed或Sci-Hub等平台检索标题或作者信息。

背景信息

The NDUFAF2 antibody is a crucial tool for studying the role of NDUFAF2 (NADH:ubiquinone oxidoreductase complex assembly factor 2), a protein essential for the assembly and stability of mitochondrial Complex I (NADH dehydrogenase) in the electron transport chain. NDUFAF2. also known as NADH dehydrogenase [ubiquinone] 1 alpha subcomplex assembly factor 2. functions as a molecular chaperone during the early stages of Complex I biogenesis, ensuring proper subunit integration and structural integrity. Mutations in the NDUFAF2 gene are linked to mitochondrial disorders, particularly Leigh syndrome, a severe neurodegenerative condition characterized by impaired energy metabolism.

The antibody is widely used in research applications such as Western blotting, immunofluorescence, and immunoprecipitation to detect NDUFAF2 expression, localization, and interactions in cellular or tissue samples. It helps investigate mitochondrial dysfunction in diseases like neurodegenerative disorders, cardiomyopathies, and cancer, where Complex I deficiencies are implicated. Researchers also utilize this antibody to explore metabolic adaptations, oxidative stress responses, and apoptosis pathways influenced by NDUFAF2 activity.

Commercial NDUFAF2 antibodies are typically raised in rabbit or mouse hosts, targeting specific epitopes of human NDUFAF2. with cross-reactivity often validated in model organisms like mice and rats. Proper validation, including knockout controls, is critical to ensure specificity due to the protein’s low abundance and structural similarities with other assembly factors. This tool advances understanding of mitochondrial biology and therapeutic strategies for energy metabolism-related diseases.

客户数据及评论

折叠内容

大包装询价

×