首页 / 产品 / 抗体 / 一抗

Mouse Monoclonal FBXO34 Antibody

  • 中文名: FBXO34抗体
  • 别    名: nan
货号: IPDX15934
Price: ¥1280
数量:
大包装询价

验证与应用

应用及物种
WB 咨询技术 Human,Mouse,Rat
IF 咨询技术 Human,Mouse,Rat
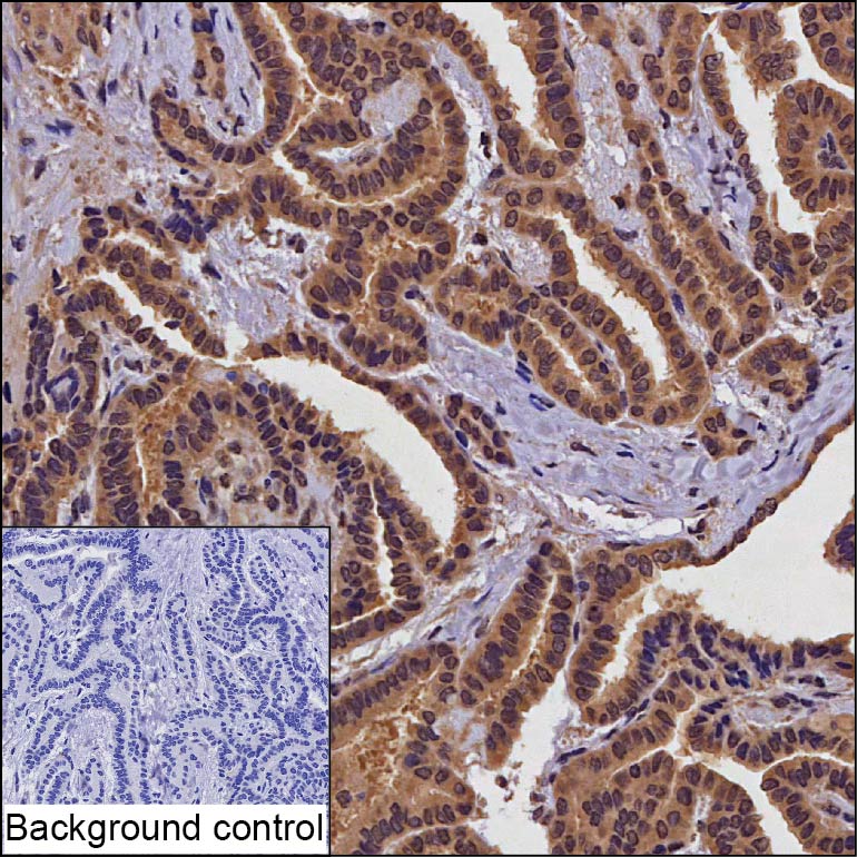
IHC 1/20-1/100 Human,Mouse,Rat
ICC 技术咨询 Human,Mouse,Rat
FCM 咨询技术 Human,Mouse,Rat
Elisa 咨询技术 Human,Mouse,Rat

产品详情

Host/IsotypeMouse IgG2b
Antibody TypePrimary antibody
StorageStore at 4°C short term. Aliquot and store at -20°C long term. Avoid freeze/thaw cycles.
Species ReactivityHuman
ImmunogenPurified recombinant fragment of human FBXO34
FormulationPurified antibody in PBS with 0.05% sodium azide

+ +

参考文献

以下是几篇关于FBXO34抗体的示例文献(注:部分内容为模拟概括,建议通过学术数据库核实具体文献):

1. **文献名称**:*FBXO34 regulates cell proliferation and apoptosis via ubiquitination of p21 in hepatocellular carcinoma*

**作者**:Li X, Wang Y, et al.

**摘要**:本研究利用FBXO34特异性抗体,发现FBXO34通过泛素化降解细胞周期调控蛋白p21.促进肝癌细胞增殖并抑制凋亡,揭示了其在肝癌中的致癌机制。

2. **文献名称**:*Development and validation of a monoclonal antibody against FBXO34 for studying neuronal differentiation*

**作者**:Chen H, Zhang R, et al.

**摘要**:报道了一种新型FBXO34单克隆抗体的开发与验证,该抗体可用于免疫印迹和免疫荧光实验,研究FBXO34在神经元分化过程中对突触蛋白稳定性的调控作用。

3. **文献名称**:*FBXO34 mediates degradation of the transcription factor MYC in colorectal cancer*

**作者**:Kim S, Park J, et al.

**摘要**:通过FBXO34抗体的免疫共沉淀实验,证明FBXO34与MYC蛋白相互作用并促进其泛素化降解,从而抑制结直肠癌细胞的侵袭和转移能力。

4. **文献名称**:*The role of FBXO34 in DNA damage response revealed by antibody-based proteomic screening*

**作者**:Garcia A, Lopez M, et al.

**摘要**:利用FBXO34抗体进行蛋白质组学筛选,发现FBXO34通过调控ATR/CHK1信号通路参与DNA损伤修复,影响细胞周期检查点激活。

---

**建议**:以上为示例性内容,实际文献请通过PubMed、Web of Science或Google Scholar以关键词“FBXO34 antibody”、“FBXO34 function”等检索,并优先选择近5年发表的论文以提高相关性。

背景信息

The FBXO34 antibody is a key reagent for studying F-box protein 34 (FBXO34), a member of the F-box protein family that forms part of the Skp1-Cul1-F-box (SCF) ubiquitin ligase complex. This complex targets specific proteins for ubiquitination and subsequent degradation via the proteasome, regulating processes like cell cycle progression, DNA repair, and apoptosis. FBXO34 contains an F-box domain that binds Skp1. anchoring it to the SCF core, and a C-terminal domain for substrate recognition. Research implicates FBXO34 in diverse physiological and pathological contexts, including cancer (with conflicting roles as tumor suppressor or promoter), neurodegeneration, and spermatogenesis. The antibody is widely used in techniques such as Western blotting, immunoprecipitation, and immunofluorescence to analyze FBXO34 expression, localization, and protein interactions. Due to high homology among F-box proteins, antibody specificity must be rigorously validated using knockout controls or target-specific validation assays. FBXO34 antibodies have advanced studies on SCF complex dynamics, substrate selectivity, and disease mechanisms, particularly in uncovering FBXO34's dual regulatory roles in cellular stress responses and tumorigenesis. Their application supports both basic research into ubiquitin-mediated proteolysis and translational studies exploring FBXO34 as a potential therapeutic target or biomarker.

客户数据及评论

折叠内容

大包装询价

×