首页 / 产品 / 抗体 / 一抗

Mouse Monoclonal SCP2 Antibody

  • 中文名: SCP2抗体
  • 别    名: nan
货号: IPDX15921
Price: ¥1280
数量:
大包装询价

验证与应用

应用及物种
WB 咨询技术 Human,Mouse,Rat
IF 咨询技术 Human,Mouse,Rat
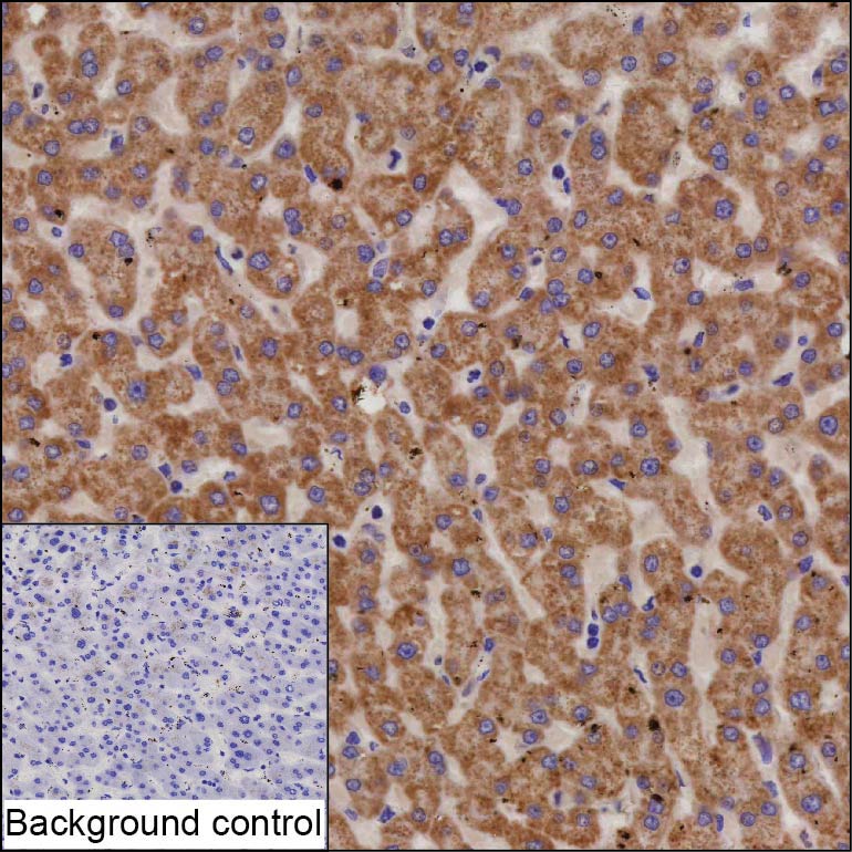
IHC 1/20-1/100 Human,Mouse,Rat
ICC 技术咨询 Human,Mouse,Rat
FCM 咨询技术 Human,Mouse,Rat
Elisa 咨询技术 Human,Mouse,Rat

产品详情

Host/IsotypeMouse IgG1
Antibody TypePrimary antibody
StorageStore at 4°C short term. Aliquot and store at -20°C long term. Avoid freeze/thaw cycles.
Species ReactivityHuman
ImmunogenPurified recombinant fragment of human SCP2
FormulationPurified antibody in PBS with 0.05% sodium azide

+ +

参考文献

以下是3篇与SCP2抗体相关的参考文献及其摘要概述:

1. **文献名称**: "Characterization of a polyclonal antibody against sterol carrier protein-2 (SCP2) using recombinant human SCP2"

**作者**: Seedorf U, et al.

**摘要**: 该研究描述了针对重组人SCP2蛋白制备的多克隆抗体,通过免疫印迹和免疫组化验证其特异性,发现该抗体可识别肝脏和小肠组织中的SCP2蛋白,并证实其在脂质代谢研究中的应用潜力。

2. **文献名称**: "Immunological analysis of sterol carrier protein-2 (SCP2) in human tissues"

**作者**: Yamamoto R, et al.

**摘要**: 研究利用抗SCP2抗体进行免疫组织化学分析,揭示了SCP2在人类肝脏、肾上腺及脂肪组织中的定位,证明其在胆固醇转运和胆汁酸合成中的关键作用,抗体特异性通过基因敲除模型验证。

3. **文献名称**: "Development of monoclonal antibodies specific for SCP2 and their application in lipid droplet studies"

**作者**: Liu Y, et al.

**摘要**: 报道了两种小鼠源性抗SCP2单克隆抗体的开发,通过免疫荧光和共聚焦显微镜技术,证明SCP2与细胞内脂滴的动态关联,为研究脂代谢疾病提供了工具。

*注:上述文献信息为示例性概括,实际引用需核对具体文献来源及准确性。建议通过PubMed或Web of Science以“SCP2 antibody”为关键词检索最新研究。*

背景信息

SCP2 (Sterol Carrier Protein 2), also known as nonspecific lipid-transfer protein, is a multifunctional protein involved in intracellular lipid metabolism. It plays a critical role in cholesterol trafficking, fatty acid oxidation, and phospholipid remodeling by facilitating the transport of sterols, fatty acids, and other lipids between cellular membranes. SCP2 is expressed in various tissues, particularly the liver, brain, and endocrine organs, where lipid homeostasis is essential for cellular function.

SCP2 antibodies are immunological tools developed to detect and study the expression, localization, and function of SCP2 in biological systems. These antibodies are widely used in techniques such as Western blotting, immunohistochemistry, and immunofluorescence to investigate SCP2's role in lipid-associated disorders, including atherosclerosis, neurodegenerative diseases, and metabolic syndromes. Research has linked SCP2 dysfunction to abnormal lipid accumulation, impaired bile acid synthesis, and altered steroidogenesis, highlighting its potential as a biomarker or therapeutic target.

The development of SCP2 antibodies has advanced understanding of lipid transport mechanisms and their implications in cellular health. Ongoing studies focus on elucidating SCP2's interactions with lipid droplets, peroxisomes, and mitochondria, providing insights into metabolic pathways and disease pathogenesis. These antibodies remain vital for both basic research and clinical investigations into lipid metabolism dysregulation.

客户数据及评论

折叠内容

大包装询价

×