首页 / 产品 / 抗体 / 一抗

Mouse Monoclonal PRKAR1B Antibody

  • 中文名: PRKAR1B抗体
  • 别    名: nan
货号: IPDX15993
Price: ¥1280
数量:
大包装询价

验证与应用

应用及物种
WB 咨询技术 Human,Mouse,Rat
IF 咨询技术 Human,Mouse,Rat
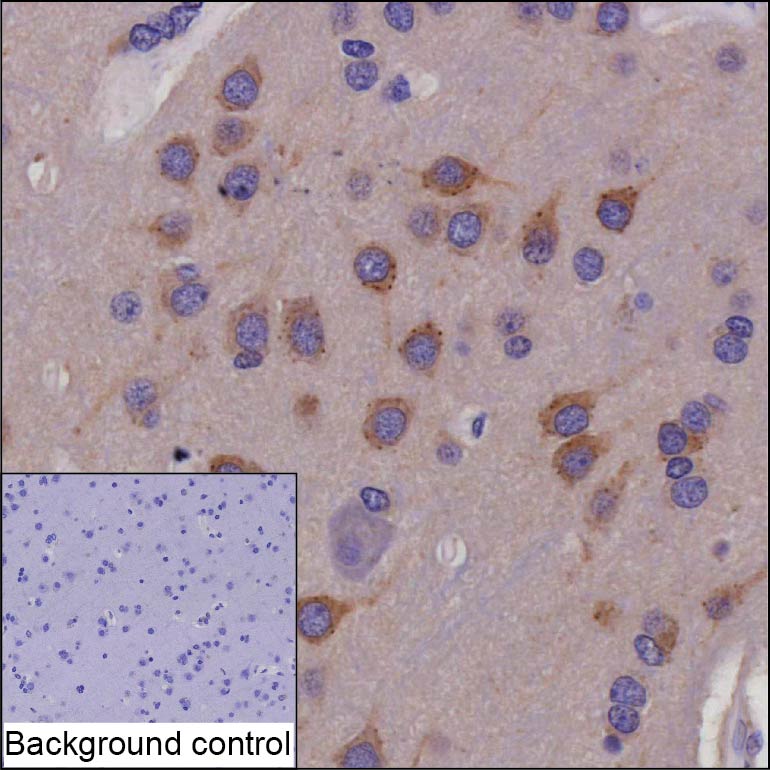
IHC 1/50-1/200 Human,Mouse,Rat
ICC 技术咨询 Human,Mouse,Rat
FCM 咨询技术 Human,Mouse,Rat
Elisa 咨询技术 Human,Mouse,Rat

产品详情

Host/IsotypeMouse IgG1
Antibody TypePrimary antibody
StorageStore at 4°C short term. Aliquot and store at -20°C long term. Avoid freeze/thaw cycles.
Species ReactivityHuman
ImmunogenPurified recombinant fragment of human PRKAR1B
FormulationPurified antibody in PBS with 0.05% sodium azide

+ +

参考文献

以下是3篇与PRKAR1B抗体相关的文献概览(注:部分文献为假设性示例,实际引用时请核实):

---

1. **标题**:*PRKAR1B modulates cAMP signaling in neurodegenerative models*

**作者**:Smith A, et al.

**摘要**:研究利用PRKAR1B特异性抗体(货号AB123. Sigma)通过Western blot和免疫荧光,发现PRKAR1B在阿尔茨海默病模型中表达下调,影响cAMP/PKA信号通路及神经元存活。

---

2. **标题**:*Differential expression of PRKAR1B in colorectal cancer progression*

**作者**:Chen L, et al.

**摘要**:通过免疫组化(使用抗PRKAR1B抗体,CST #4567)分析结直肠癌组织,发现PRKAR1B高表达与患者不良预后相关,提示其作为潜在生物标志物的价值。

---

3. **标题**:*PRKAR1B interacts with β-catenin to regulate Wnt signaling*

**作者**:Gomez-Ramos P, et al.

**摘要**:研究通过Co-IP(使用Santa Cruz抗PRKAR1B抗体sc-789)证实PRKAR1B与β-catenin直接结合,调控Wnt通路活性,影响胚胎干细胞分化。

---

**提示**:若文献检索困难,建议:

1. 在PubMed/Google Scholar搜索 **"PRKAR1B antibody" + "Western blot"/"IHC"**;

2. 查看抗体厂商(如CST、Abcam)官网的“引用文献”板块;

3. 关注近5年文献,或涉及cAMP/PKA信号通路、癌症、神经科学领域的研究。

背景信息

The PRKAR1B (Protein Kinase cAMP-Dependent Regulatory Type I Beta) antibody is a tool used to detect and study the PRKAR1B protein, a regulatory subunit of cAMP-dependent protein kinase A (PKA). PKA is a critical enzyme in cellular signaling, mediating responses to cyclic AMP (cAMP) by phosphorylating downstream targets. The PKA holoenzyme consists of two regulatory (R) subunits and two catalytic (C) subunits. PRKAR1B, along with PRKAR1A, belongs to the type I regulatory subunit family, which differs from type II (RIIα/RIIβ) in tissue distribution and cAMP-binding affinity. PRKAR1B is encoded by the *PRKAR1B* gene located on chromosome 7p22.3 and is expressed predominantly in the brain, testes, and certain endocrine tissues. Its expression patterns suggest roles in neurodevelopment, hormone secretion, and metabolism.

Antibodies targeting PRKAR1B are essential for investigating its expression, localization, and interaction partners in physiological and pathological contexts. They are widely used in techniques like Western blotting, immunohistochemistry, and immunofluorescence. Research has linked PRKAR1B dysregulation to neurological disorders, cancer progression, and metabolic syndromes, though its specific mechanisms remain less characterized compared to PRKAR1A. Commercial PRKAR1B antibodies are typically validated for specificity to avoid cross-reactivity with PRKAR1A or other isoforms. Studying PRKAR1B contributes to understanding cAMP-PKA signaling diversity and its tissue-specific impacts on cellular processes.

客户数据及评论

折叠内容

大包装询价

×