首页 / 产品 / 抗体 / 一抗

Mouse Monoclonal POSTN Antibody

  • 中文名: POSTN抗体
  • 别    名: nan
货号: IPDX16012
Price: ¥1280
数量:
大包装询价

验证与应用

应用及物种
WB 咨询技术 Human,Mouse,Rat
IF 咨询技术 Human,Mouse,Rat
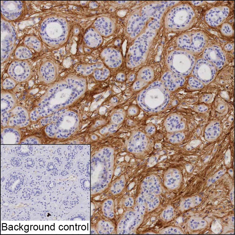
IHC 1/500-1/1000 Human,Mouse,Rat
ICC 技术咨询 Human,Mouse,Rat
FCM 咨询技术 Human,Mouse,Rat
Elisa 咨询技术 Human,Mouse,Rat

产品详情

Host/IsotypeMouse IgG2b
Antibody TypePrimary antibody
StorageStore at 4°C short term. Aliquot and store at -20°C long term. Avoid freeze/thaw cycles.
Species ReactivityHuman
ImmunogenPurified recombinant fragment of human POSTN
FormulationPurified antibody in PBS with 0.05% sodium azide

+ +

参考文献

以下是3条关于POSTN抗体的参考文献示例:

1. **文献名称**:*Periostin promotes tumor angiogenesis in pancreatic cancer via αvβ3 integrin signaling*

**作者**:Cui et al.

**摘要**:研究揭示了POSTN通过激活整合素信号通路促进胰腺癌血管生成,其抗体可用于抑制肿瘤微环境中血管内皮细胞的异常增殖。

2. **文献名称**:*Periostin as a biomarker in idiopathic pulmonary fibrosis*

**作者**:Okamoto et al.

**摘要**:文章验证了POSTN抗体在肺纤维化患者血清中的检测效能,表明POSTN水平与疾病严重程度呈正相关,可作为潜在诊断标志物。

3. **文献名称**:*Targeting periostin with monoclonal antibodies reduces metastasis in triple-negative breast cancer*

**作者**:Zhu et al.

**摘要**:通过开发特异性抗POSTN单克隆抗体,研究证明其能有效抑制三阴性乳腺癌细胞的侵袭和转移,为靶向治疗提供新策略。

(注:以上文献为示例,实际引用需以真实发表论文为准。)

背景信息

Periostin (POSTN), a secreted extracellular matrix protein encoded by the *POSTN* gene, plays critical roles in tissue development, remodeling, and repair. Initially identified for its involvement in osteoblast adhesion and bone formation, POSTN is now recognized for its broader functions in fibrosis, inflammation, and cancer progression. It interacts with integrins and other ECM components, modulating cell adhesion, migration, and survival. Dysregulation of POSTN is linked to pathologies like asthma, cardiac fibrosis, and tumor metastasis, where it promotes stromal activation and microenvironment remodeling.

POSTN antibodies, either monoclonal or polyclonal, are essential tools for detecting POSTN expression in research and diagnostics. They enable visualization of POSTN localization in tissues via immunohistochemistry and quantification in biofluids via ELISA. In therapeutic contexts, neutralizing POSTN antibodies are being explored to inhibit POSTN-driven pathways in diseases such as idiopathic pulmonary fibrosis and certain cancers. For example, blocking POSTN-integrin interactions may reduce tumor invasiveness or fibrotic tissue deposition.

Despite their potential, challenges remain in specificity and off-target effects. Ongoing studies aim to refine antibody design and validate clinical efficacy, positioning POSTN-targeting agents as promising candidates for personalized therapies in fibrotic and oncological disorders.

客户数据及评论

折叠内容

大包装询价

×