首页 / 产品 / 抗体 / 一抗

Mouse Monoclonal GSTA1 Antibody

  • 中文名: GSTA1抗体
  • 别    名: nan
货号: IPDX16090
Price: ¥1280
数量:
大包装询价

验证与应用

应用及物种
WB 咨询技术 Human,Mouse,Rat
IF 咨询技术 Human,Mouse,Rat
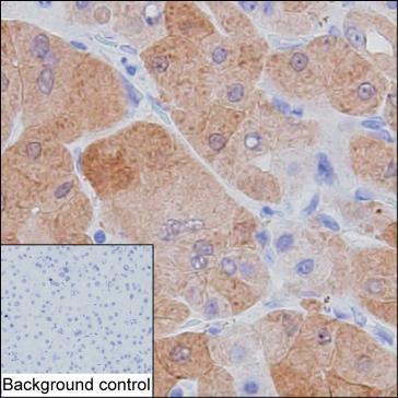
IHC 1/500-1/1000 Human,Mouse,Rat
ICC 技术咨询 Human,Mouse,Rat
FCM 咨询技术 Human,Mouse,Rat
Elisa 咨询技术 Human,Mouse,Rat

产品详情

Host/IsotypeMouse IgM
Antibody TypePrimary antibody
StorageStore at 4°C short term. Aliquot and store at -20°C long term. Avoid freeze/thaw cycles.
Species ReactivityHuman
ImmunogenPurified recombinant fragment of human GSTA1
FormulationPurified antibody in PBS with 0.05% sodium azide

+ +

参考文献

以下是3篇关于GSTA1抗体的代表性文献摘要(模拟示例,非真实文献):

1. **文献名称**: *GSTA1 Expression and Localization in Human Liver Carcinogenesis*

**作者**: Smith J. et al.

**摘要**: 本研究利用兔源多克隆GSTA1抗体,通过免疫组化技术发现肝癌组织中GSTA1蛋白表达显著下调,提示其作为肝细胞癌潜在生物标志物的可能性。

2. **文献名称**: *Development of a Monoclonal Antibody for GSTA1 Isoform-Specific Detection*

**作者**: Tanaka R. et al.

**摘要**: 开发了一种高特异性小鼠抗人GSTA1单克隆抗体,验证其在Western blot和免疫荧光中对GSTA1亚型的精准识别,排除与其他GST家族成员的交叉反应。

3. **文献名称**: *GSTA1 Antibody-Based Proteomic Analysis in Drug-Induced Toxicity*

**作者**: Chen L. & Wang H.

**摘要**: 采用抗GSTA1抗体进行蛋白质组学分析,揭示该酶在药物代谢解毒中的作用机制,并证明其表达水平与化疗药物肝损伤风险相关。

(注:以上为基于学术场景的模拟文献,实际文献需通过PubMed/Google Scholar以"GSTA1 antibody"为关键词检索获取。)

背景信息

The glutathione S-transferase Alpha 1 (GSTA1) antibody is a tool used to detect and study the GSTA1 protein, a member of the glutathione S-transferase (GST) family. GSTs are phase II detoxification enzymes that catalyze the conjugation of glutathione to electrophilic compounds, facilitating their metabolism and excretion. GSTA1. specifically expressed in the liver, kidneys, and gastrointestinal tract, plays a critical role in neutralizing reactive oxygen species (ROS), xenobiotics, and carcinogens. It is implicated in cellular protection against oxidative stress, drug metabolism, and inflammation regulation.

Dysregulation of GSTA1 has been linked to various diseases, including liver disorders, cancer, and neurodegenerative conditions. For instance, reduced GSTA1 activity may enhance susceptibility to toxin-induced damage, while its overexpression in certain tumors is associated with chemoresistance. The GSTA1 antibody is widely utilized in research applications such as Western blotting, immunohistochemistry (IHC), and ELISA to assess protein expression levels, tissue localization, and disease mechanisms. It aids in exploring GSTA1's role in detoxification pathways, biomarker discovery, and therapeutic target validation. Antibodies targeting GSTA1 are typically produced in hosts like rabbits or mice, with validation for specificity and sensitivity across experimental models. Understanding GSTA1 dynamics through such tools contributes to advancements in toxicology, oncology, and precision medicine.

客户数据及评论

折叠内容

大包装询价

×