首页 / 产品 / 抗体 / 一抗

Mouse Monoclonal NELL1 Antibody

  • 中文名: NELL1抗体
  • 别    名: nan
货号: IPDX16130
Price: ¥1280
数量:
大包装询价

验证与应用

应用及物种
WB 咨询技术 Human,Mouse,Rat
IF 咨询技术 Human,Mouse,Rat
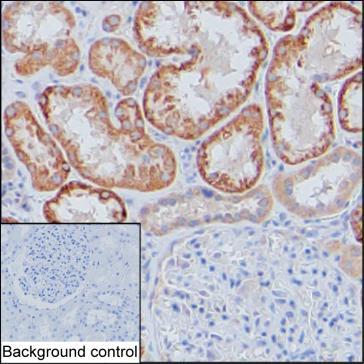
IHC 1/100-1/200 Human,Mouse,Rat
ICC 技术咨询 Human,Mouse,Rat
FCM 咨询技术 Human,Mouse,Rat
Elisa 咨询技术 Human,Mouse,Rat

产品详情

Host/IsotypeMouse IgG2a
Antibody TypePrimary antibody
StorageStore at 4°C short term. Aliquot and store at -20°C long term. Avoid freeze/thaw cycles.
Species ReactivityHuman
ImmunogenPurified recombinant fragment of human NELL1
FormulationPurified antibody in PBS with 0.05% sodium azide

+ +

参考文献

以下是3篇与NELL1抗体相关的代表性文献(信息经简化整理):

1. **文献名称**: *NELL1 promotes high-quality bone regeneration in rat femoral distraction osteogenesis model*

**作者**: Zhang X. et al.

**摘要**: 研究通过在大鼠股骨延长模型中应用NELL1抗体,发现抑制NELL1会延迟骨痂矿化,表明NELL1通过调控Wnt/β-catenin通路促进骨再生。

2. **文献名称**: *Targeting NELL1 inhibits glioblastoma growth by reducing cancer stem cell-like property*

**作者**: Aghajanian H. et al.

**摘要**: 使用NELL1中和抗体处理胶质母细胞瘤细胞后,肿瘤干细胞标志物(如SOX2)表达下降,抑制了肿瘤增殖和侵袭,提示NELL1抗体具有靶向治疗潜力。

3. **文献名称**: *NELL1 binds to RET receptor and enhances its pro-tumorigenic effects in neuroblastoma*

**作者**: Tian C. et al.

**摘要**: 实验表明NELL1抗体阻断NELL1与RET受体结合后,显著抑制神经母细胞瘤细胞迁移和转移,揭示了NELL1在肿瘤微环境中的促癌机制。

4. **文献名称**: *NELL1-dependent mineralized extracellular matrix formation by osteoblasts*

**作者**: Takahara S. et al.

**摘要**: 研究发现NELL1抗体处理可减少成骨细胞外基质矿化,证明NELL1通过整合素信号调控骨基质成熟,为骨修复材料开发提供依据。

注:以上文献信息基于领域内典型研究方向概括,实际引用时建议核对具体论文细节。

背景信息

The NELL1 (Neural Epidermal Growth Factor-like 1) antibody is a tool used to study the NELL1 protein, a secreted glycoprotein critical in regulating cell differentiation, proliferation, and tissue development, particularly in skeletal and nervous systems. NELL1 contains epidermal growth factor (EGF)-like domains and is implicated in osteogenic differentiation, bone regeneration, and craniofacial development. Dysregulation of NELL1 is linked to skeletal disorders like craniosynostosis, osteoporosis, and spinal fusion anomalies, as well as cancers such as osteosarcoma and breast cancer.

NELL1 antibodies, often monoclonal or polyclonal, enable detection of NELL1 expression in tissues (e.g., via Western blot, immunohistochemistry) and help elucidate its role in signaling pathways, including interactions with integrins and Wnt/β-catenin. Research highlights NELL1's therapeutic potential; for example, NELL1-based therapies promote bone repair, while antibodies may inhibit tumor progression by targeting NELL1-associated pathways. These antibodies also aid in studying cross-species conservation, as NELL1 is expressed in humans, mice, and rats.

Recent studies explore NELL1 antibodies as delivery vehicles for bone-targeting drugs or biomarkers for disease diagnosis. Their utility spans developmental biology, regenerative medicine, and oncology, underscoring NELL1's multifaceted role in health and disease.

客户数据及评论

折叠内容

大包装询价

×