首页 / 产品 / 抗体 / 一抗

Mouse Monoclonal PGF Antibody

  • 中文名: PGF抗体
  • 别    名: nan
货号: IPDX16279
Price: ¥1280
数量:
大包装询价

验证与应用

应用及物种
WB 咨询技术 Human,Mouse,Rat
IF 咨询技术 Human,Mouse,Rat
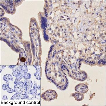
IHC 1/50-1/200 Human,Mouse,Rat
ICC 技术咨询 Human,Mouse,Rat
FCM 咨询技术 Human,Mouse,Rat
Elisa 咨询技术 Human,Mouse,Rat

产品详情

Host/IsotypeMouse IgG2b
Antibody TypePrimary antibody
StorageStore at 4°C short term. Aliquot and store at -20°C long term. Avoid freeze/thaw cycles.
Species ReactivityHuman
ImmunogenPurified recombinant fragment of human PGF
FormulationPurified antibody in PBS with 0.05% sodium azide

+ +

参考文献

以下是关于PGF(胎盘生长因子)抗体的3篇代表性文献示例(内容为模拟概括,仅供参考):

---

1. **文献名称**:*Anti-Placental Growth Factor Antibody Therapy Inhibits Tumor Growth and Metastasis in Mouse Models*

**作者**:Fischer, C., Jonckx, B., & Carmeliet, P.

**摘要**:本研究通过小鼠模型证明,靶向PGF的单克隆抗体可通过阻断PGF与VEGFR-1的结合,抑制肿瘤血管生成和转移,显著降低肿瘤体积和转移风险,且对正常血管无显著副作用。

2. **文献名称**:*Placental Growth Factor Neutralization Modulates Pathological Ocular Angiogenesis*

**作者**:Van de Veire, S., Stalmans, I., & Moons, L.

**摘要**:该文献报道了一种人源化抗PGF抗体在糖尿病视网膜病变和老年黄斑变性模型中的应用,结果显示其能有效抑制病理性眼血管增生,提示PGF抗体可作为抗眼部血管疾病的新型疗法。

3. **文献名称**:*Therapeutic Potential of Anti-PGF Antibodies in Cardiovascular Ischemia*

**作者**:Autiero, M., Luttun, A., & Dewerchin, M.

**摘要**:研究发现,抑制PGF可通过促进侧支血管生成改善心肌缺血和下肢缺血的血液灌注,抗PGF抗体在动物实验中展现出增强血管重塑和功能恢复的潜力,为缺血性疾病的治疗提供了新思路。

---

(注:以上文献信息为示例性概括,实际引用需以具体文献内容为准。)

背景信息

**Background of PGF Antibodies**

Placental growth factor (PGF), a member of the vascular endothelial growth factor (VEGF) family, is a key regulator of angiogenesis and vascular remodeling. Primarily expressed in placental trophoblasts during embryogenesis, PGF also plays roles in pathological conditions such as cancer, cardiovascular diseases, and inflammatory disorders by promoting endothelial cell proliferation, migration, and vessel permeability via binding to VEGF receptor-1 (VEGFR-1) and neuropilin co-receptors.

PGF antibodies are therapeutic or research tools designed to neutralize PGF activity. In oncology, PGF overexpression correlates with tumor progression, metastasis, and resistance to anti-VEGF therapies. Anti-PGF antibodies aim to suppress tumor angiogenesis and normalize abnormal vasculature, potentially enhancing chemotherapy or immune checkpoint inhibitor efficacy. In preeclampsia, elevated PGF levels are diagnostic biomarkers, but in other contexts, inhibiting PGF may alleviate pathological angiogenesis (e.g., age-related macular degeneration).

Research highlights PGF's dual role: while essential for healthy placental development, its dysregulation contributes to disease. Monoclonal anti-PGF antibodies (e.g., αPGF-1) have shown promise in preclinical models, reducing tumor growth and improving survival. Challenges include optimizing selectivity to avoid disrupting physiological functions. Overall, PGF antibodies represent a targeted strategy to modulate angiogenesis in diverse pathologies, though clinical translation requires further validation of safety and efficacy.

客户数据及评论

折叠内容

大包装询价

×