| WB | 咨询技术 | Human,Mouse,Rat |
| IF | 1/50-1/100 | Human,Mouse,Rat |
| IHC | 1/100-1/500 | Human,Mouse,Rat |
| ICC | 1/100-1/500 | Human,Mouse,Rat |
| FCM | 咨询技术 | Human,Mouse,Rat |
| Elisa | 咨询技术 | Human,Mouse,Rat |
| Aliases | LMN; ADLD; LMN2; LMNB; Lamin B1;;Lamin B1 |
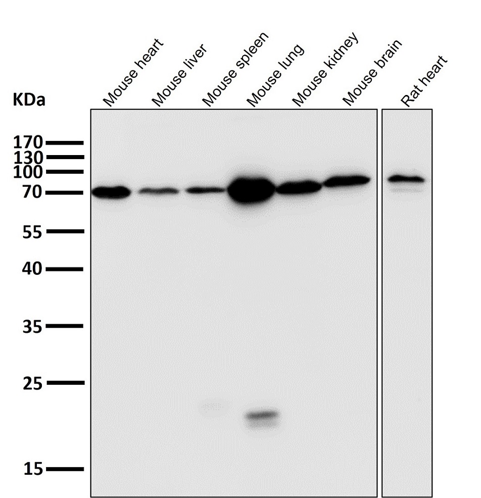
| WB Predicted band size | Calculated MW: 66 kDa ; Observed MW: 70 kDa |
| Host/Isotype | Rabbit IgG |
| Antibody Type | Primary antibody |
| Storage | Store at 4°C short term. Aliquot and store at -20°C long term. Avoid freeze/thaw cycles. |
| Species Reactivity | Human,Mouse,Rat |
| Immunogen | A synthesized peptide derived from human Lamin B1 |
| Formulation | Purified antibody in PBS with 0.05% sodium azide,0.05% BSA and 50% glycerol. |
+ +
以下是关于LaminB1抗体的3篇参考文献(简化版),包含文献名称、作者及摘要内容概括:
---
1. **文献名称**:*The role of lamin B1 in cell nuclear structure and function*
**作者**:Shimi T. et al. (2016)
**摘要**:研究通过免疫荧光和Western blot技术,利用LaminB1抗体验证其在维持细胞核形态和染色质组织中的关键作用,发现LaminB1缺失导致核膜异常和基因表达紊乱。
2. **文献名称**:*Lamin B1 depletion promotes cellular senescence in progeria models*
**作者**:Freude S. et al. (2009)
**摘要**:通过LaminB1抗体检测早衰症模型中蛋白表达水平,发现LaminB1减少与细胞衰老标志物(如p53)升高相关,提示其在衰老过程中的调控作用。
3. **文献名称**:*Lamin B1 loss in cancer associates with altered epigenetic regulation*
**作者**:Cohen M. et al. (2013)
**摘要**:利用LaminB1抗体分析多种癌症样本,发现其表达缺失与基因组不稳定性和异常DNA甲基化相关,可能作为癌症诊断标志物。
---
这些文献涵盖了LaminB1抗体在基础研究、衰老和癌症领域的应用,具体内容建议通过PubMed或Google Scholar检索原文获取详细信息。
Lamin B1 is a key structural protein component of the nuclear lamina, a mesh-like layer underlying the inner nuclear membrane. It belongs to the type B lamin family, which is expressed in most somatic cells and plays critical roles in maintaining nuclear integrity, chromatin organization, and gene regulation. Unlike A-type lamins, Lamin B1 is constitutively expressed throughout the cell cycle and is essential for proper nuclear envelope assembly during mitosis. Its dysregulation has been linked to cellular senescence, aging-related disorders, and diseases such as cancer, neurodegenerative conditions, and progeroid syndromes.
Antibodies targeting Lamin B1 are widely used as research tools to study its expression, localization, and functional roles. These antibodies enable detection via techniques like Western blotting, immunofluorescence, and immunohistochemistry, providing insights into nuclear morphology changes during apoptosis or senescence (e.g., Lamin B1 downregulation is a biomarker of senescence). They also help investigate pathological mechanisms, such as altered nuclear shape in laminopathies or cancer metastasis. Commercial Lamin B1 antibodies are typically raised against specific epitopes, often within the N-terminal or rod domains, with validation across species (human, mouse, rat). Researchers must verify antibody specificity using knockout controls, as cross-reactivity with other lamin isoforms (e.g., Lamin B2) may occur. Studies utilizing these antibodies have significantly advanced understanding of nuclear architecture and disease pathogenesis (Coates et al., 2013; Shimi et al., 2008).
×