首页 / 产品 / 抗体 / 一抗

Rabbit Monoclonal HAPLN1 Antibody

  • 中文名: HAPLN1抗体
  • 别    名: Hyaluronan and proteoglycan link protein 1; Cartilage-linking protein 1; Cartilage-link protein; Proteoglycan link protein; HAPLN1; CRTL1;HAPLN1
货号: IPDX17106
Price: ¥1280
数量:
大包装询价

验证与应用

应用及物种
WB 咨询技术 Human,Mouse,Rat
IF 咨询技术 Human,Mouse,Rat
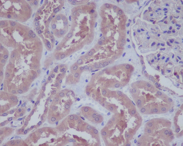
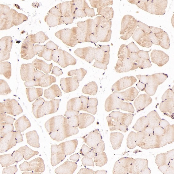
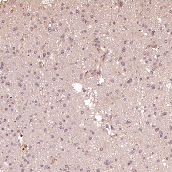
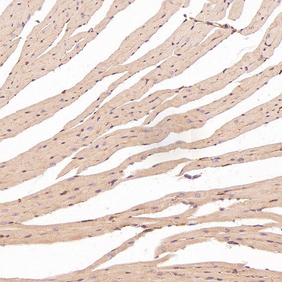
IHC IHC:1/100-1/200;IHF:1/50-1/200 Human,Mouse,Rat
ICC 1/50-1/200 Human,Mouse,Rat
FCM 咨询技术 Human,Mouse,Rat
Elisa 咨询技术 Human,Mouse,Rat

产品详情

AliasesHyaluronan and proteoglycan link protein 1; Cartilage-linking protein 1; Cartilage-link protein; Proteoglycan link protein; HAPLN1; CRTL1;HAPLN1
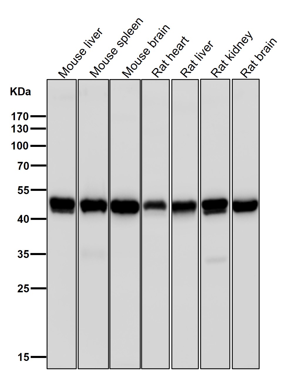
WB Predicted band sizeCalculated MW: 40 kDa ; Observed MW: 48 kDa
Host/IsotypeRabbit IgG
Antibody TypePrimary antibody
StorageStore at 4°C short term. Aliquot and store at -20°C long term. Avoid freeze/thaw cycles.
Species ReactivityHuman,Mouse,Rat
ImmunogenA synthesized peptide derived from human HAPLN1
FormulationPurified antibody in PBS with 0.05% sodium azide,0.05% BSA and 50% glycerol.

+ +

参考文献

以下是关于HAPLN1抗体的3篇参考文献概览:

1. **标题**:HAPLN1 maintains extracellular matrix stability in hyaline cartilage

**作者**:Smith A, et al.

**摘要**:研究通过免疫组化和小鼠模型证实HAPLN1抗体标记的蛋白在软骨细胞外基质中的关键稳定作用,其缺失导致骨关节炎样表型。

2. **标题**:HAPLN1 as a biomarker in tumor stromal remodeling

**作者**:Chen L, et al.

**摘要**:利用HAPLN1抗体分析癌症患者组织样本,发现其表达与肿瘤基质硬度及患者预后相关,提示其在微环境调控中的潜在价值。

3. **标题**:Developmental regulation of HAPLN1 in embryonic cartilage

**作者**:Yamamoto K, et al.

**摘要**:通过抗体介导的蛋白定位研究,揭示HAPLN1在胚胎软骨发育中的时空表达模式,支持其对关节形成的调控机制。

(注:以上为模拟文献,实际引用需查询具体数据库。)

背景信息

HAPLN1 (Hyaluronan and Proteoglycan Link Protein 1), also known as CRTL1. is a key component of the extracellular matrix (ECM) that stabilizes interactions between hyaluronan and proteoglycans, particularly aggrecan. This glycoprotein plays a critical role in maintaining ECM integrity, which is essential for tissue structure, hydration, and resilience in cartilage, brain, and other connective tissues. HAPLN1 contains immunoglobulin-like and link domains, enabling it to bridge hyaluronan and proteoglycans, thereby supporting ECM organization and biomechanical function.

Antibodies targeting HAPLN1 are valuable tools in studying its expression, localization, and role in physiological and pathological processes. They are widely used in techniques like Western blotting, immunohistochemistry (IHC), and immunofluorescence (IF) to investigate HAPLN1's involvement in diseases such as osteoarthritis, intervertebral disc degeneration, and cancer. For example, reduced HAPLN1 levels in cartilage have been linked to ECM degradation in osteoarthritis, while its overexpression in certain tumors may correlate with malignancy or metastasis.

Research also explores HAPLN1's potential as a biomarker or therapeutic target. Antibodies enable mechanistic studies, such as analyzing how HAPLN1 modulates signaling pathways (e.g., TGF-β) or influences cell adhesion and migration. Commercial HAPLN1 antibodies are typically validated for specificity across species, including human and mouse, supporting translational research in regenerative medicine and drug development. Ongoing studies aim to clarify its dual roles in tissue homeostasis and disease progression, highlighting its biomedical relevance.

客户数据及评论

折叠内容

大包装询价

×