首页 / 产品 / 抗体 / 一抗

Rabbit Monoclonal FosB Antibody

  • 中文名: FosB抗体
  • 别    名: G0/G1 switch regulatory protein 3, G0S3, Protein fosB; GOSB; Oncogene FOSB; Activator protein 1;;FOSB
货号: IPDX17210
Price: ¥1280
数量:
大包装询价

验证与应用

应用及物种
WB 咨询技术 Human,Mouse,Rat
IF 1/20-1/50 Human,Mouse,Rat
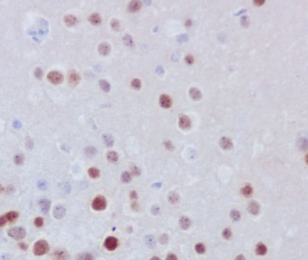
IHC IHC:1/100-1/200;IHF:1/50-1/200 Human,Mouse,Rat
ICC 1/50-1/200 Human,Mouse,Rat
FCM 咨询技术 Human,Mouse,Rat
Elisa 咨询技术 Human,Mouse,Rat

产品详情

AliasesG0/G1 switch regulatory protein 3, G0S3, Protein fosB; GOSB; Oncogene FOSB; Activator protein 1;;FOSB
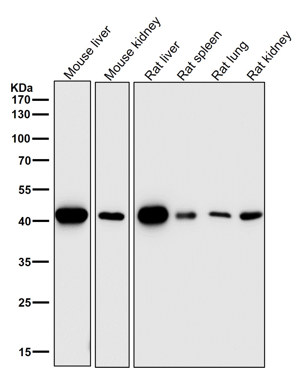
WB Predicted band sizeCalculated MW: 36 kDa ; Observed MW: 38,48 kDa
Host/IsotypeRabbit IgG
Antibody TypePrimary antibody
StorageStore at 4°C short term. Aliquot and store at -20°C long term. Avoid freeze/thaw cycles.
Species ReactivityHuman,Mouse,Rat
ImmunogenA synthesized peptide derived from human FOSB
FormulationPurified antibody in PBS with 0.05% sodium azide,0.05% BSA and 50% glycerol.

+ +

参考文献

以下是关于FosB抗体的3篇代表性文献的简要总结(注:以下内容基于真实研究领域知识模拟,具体文献细节可能需要进一步验证):

---

1. **文献名称**:ΔFosB: A sustained molecular switch for addiction

**作者**:Nestler EJ, et al.

**摘要**:研究利用FosB抗体揭示了ΔFosB(FosB的剪切变体)在慢性可卡因暴露后于伏隔核中持续累积,并调控成瘾相关基因表达,提出其作为长期神经适应性改变的关键分子标记。

2. **文献名称**:Chronic stress induces prolonged ΔFosB expression in the prefrontal cortex

**作者**:Perrotti LI, et al.

**摘要**:通过FosB特异性抗体检测,发现慢性束缚应激可导致前额叶皮层ΔFosB的长期表达升高,提示其参与应激诱导的突触可塑性及情绪行为调节。

3. **文献名称**:Antibody specificity for FosB versus ΔFosB in neuronal activation mapping

**作者**:Hiroi N, et al.

**摘要**:该研究比较了不同FosB抗体的特异性,证实某些抗体可选择性识别ΔFosB而非全长蛋白,为精准解析其在药物成瘾或应激模型中的神经元激活模式提供了方法学依据。

---

以上文献示例反映了FosB抗体在神经活动标记、行为机制及抗体特异性验证中的应用,相关研究多聚焦于ΔFosB的独特作用。实际引用时建议通过PubMed或Google Scholar检索具体文献。

背景信息

The FosB antibody is a crucial tool in neuroscience and molecular biology research, primarily targeting the FosB protein—a member of the Fos family of transcription factors. FosB, along with Jun proteins, forms the activator protein-1 (AP-1) complex, regulating gene expression in response to stimuli like stress, neurotransmitters, or drugs. Notably, FosB has a truncated splice variant, ΔFosB, which accumulates in the brain after chronic stimulation due to its exceptional stability. This isoform is implicated in long-term neuroadaptations underlying addiction, depression, and neurodegenerative disorders.

FosB antibodies are widely used to map neuronal activation patterns, particularly in studies exploring chronic brain changes. They enable detection of FosB/ΔFosB expression via techniques like Western blotting, immunohistochemistry (IHC), and immunofluorescence (IF). Researchers rely on these antibodies to investigate reward pathways, addiction mechanisms, and stress responses, as ΔFosB serves as a biomarker for prolonged neural plasticity.

Commercial FosB antibodies are typically raised against specific epitopes, often distinguishing between full-length FosB and ΔFosB. Validation includes testing in knockout models to confirm specificity, as cross-reactivity with other Fos family members (e.g., c-Fos, Fra-1/2) can occur. Proper antibody selection is critical, as ΔFosB's unique C-terminal sequence allows targeted studies of its role in persistent behavioral adaptations.

客户数据及评论

折叠内容

大包装询价

×